![]() |
![]() |
![]() |
![]() |
![]() |
Discoloration and Stump Shade
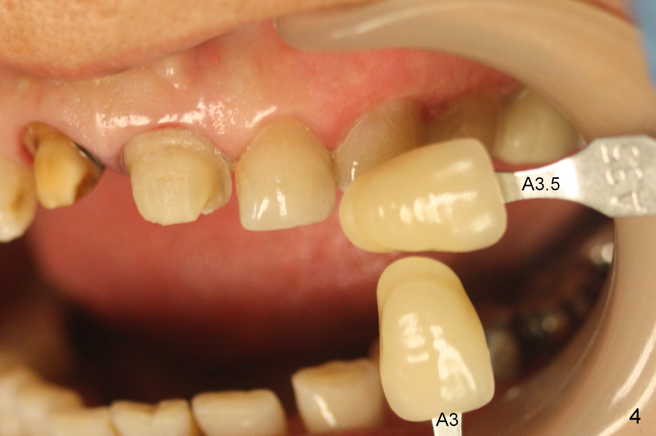
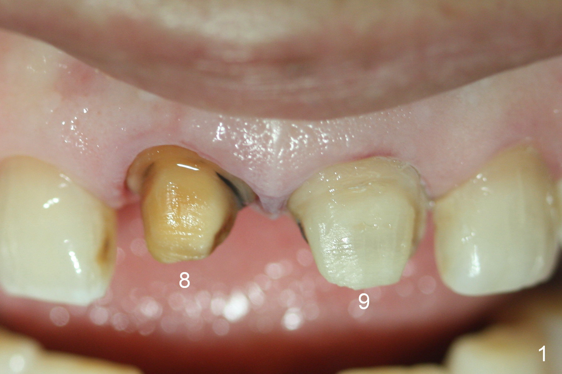
A 54-year-old lady (CL) has a discolored central incisor (#8, Fig.1). Stump shade is shown in Fig.2. Other reference shades are shown in Fig.3-5.
To improve photograph, please go to the most recent case.
Return to
Technicians
Xin Wei, DDS, PhD, MS 1st edition 11/21/2015, last revision 11/21/2015