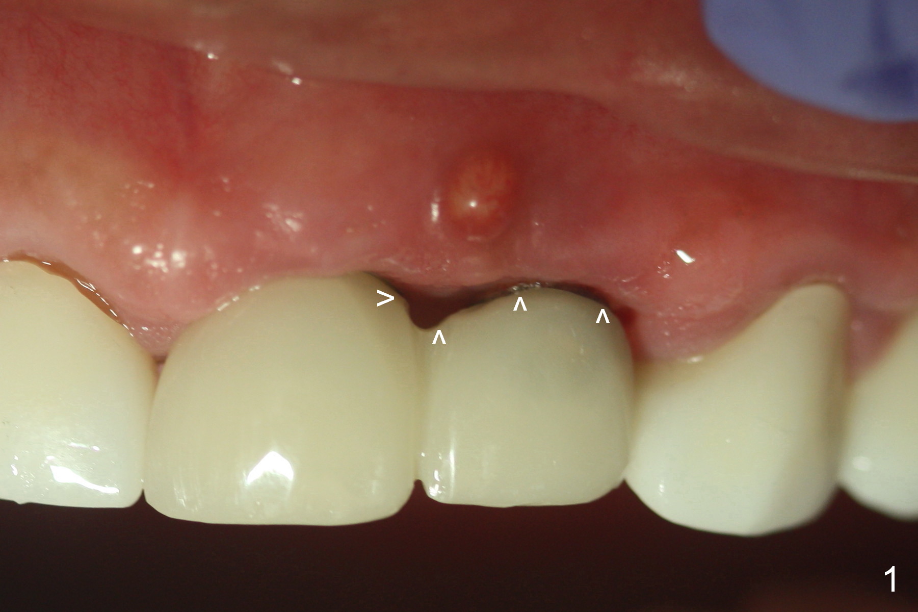
Close Gingival Embrasure (Gap)

Either with white or pink porcelain (Fig.1 arrowheads).

Technicians

Xin Wei, DDS, PhD, MS 1st edition 04/14/2016, last revision 04/14/2016