![]() |
![]() |
![]() |
![]() |
![]() |
![]() |
![]() |
|
![]() |
![]() |
![]() |
|
![]() |
|||
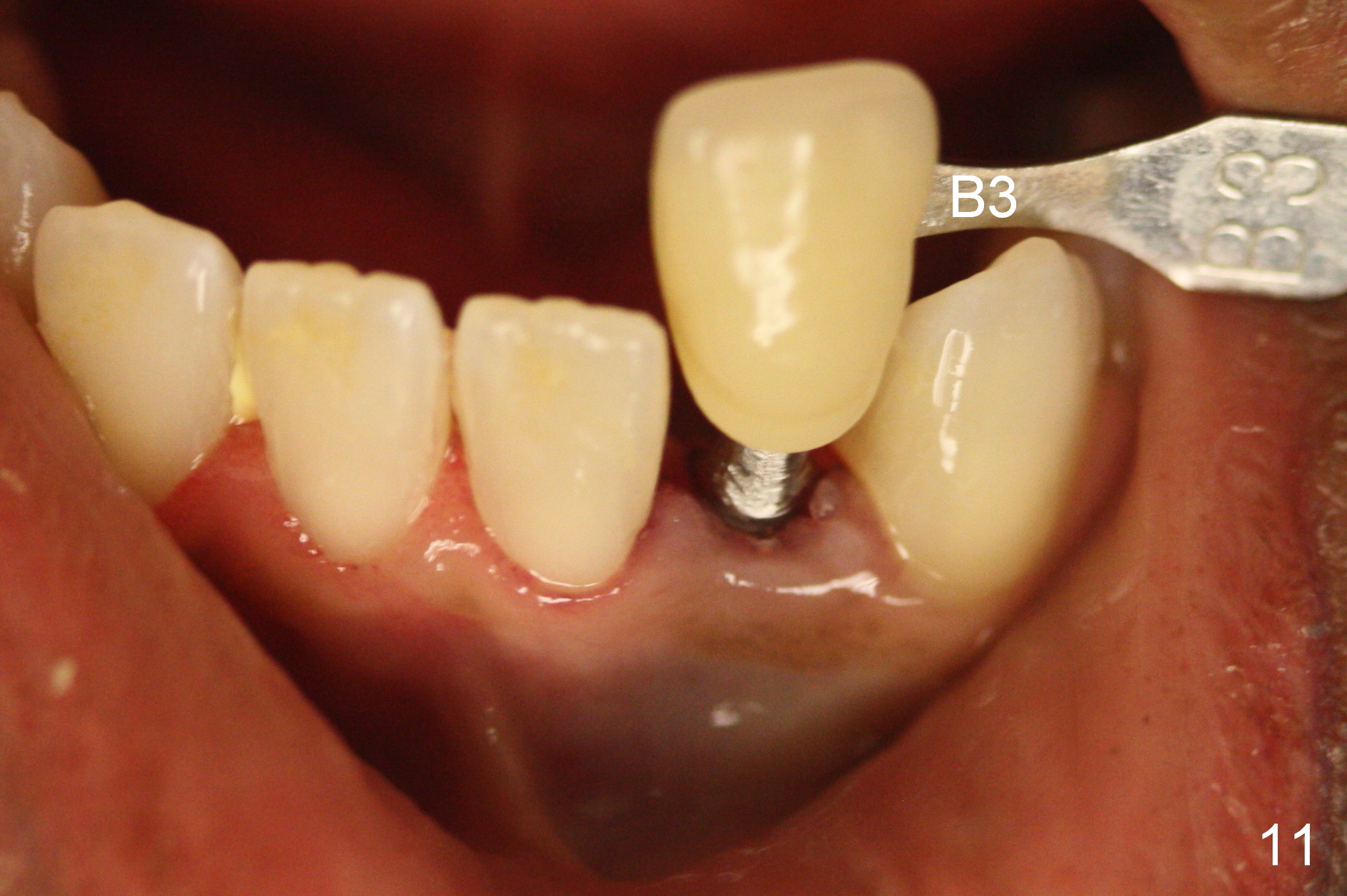
Suggestions for #23 implant crown redo (Fig.1, 2)
Make a new crown less transparent than the previous one (Fig.3). Can you block inside the crown to take care of the metal shade of the abutment/implant?
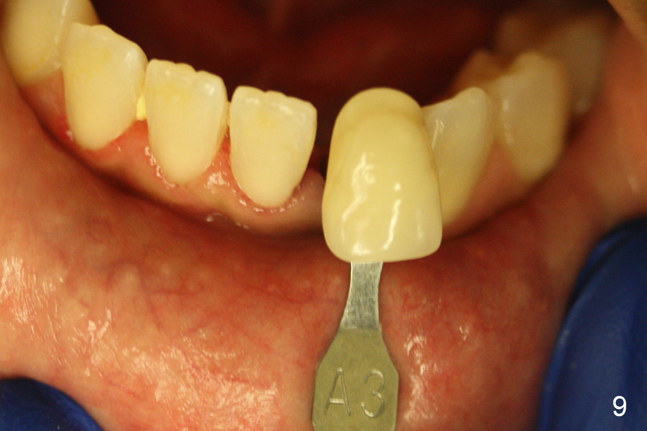
The original shade is A 2.5 (enclosed in the case).
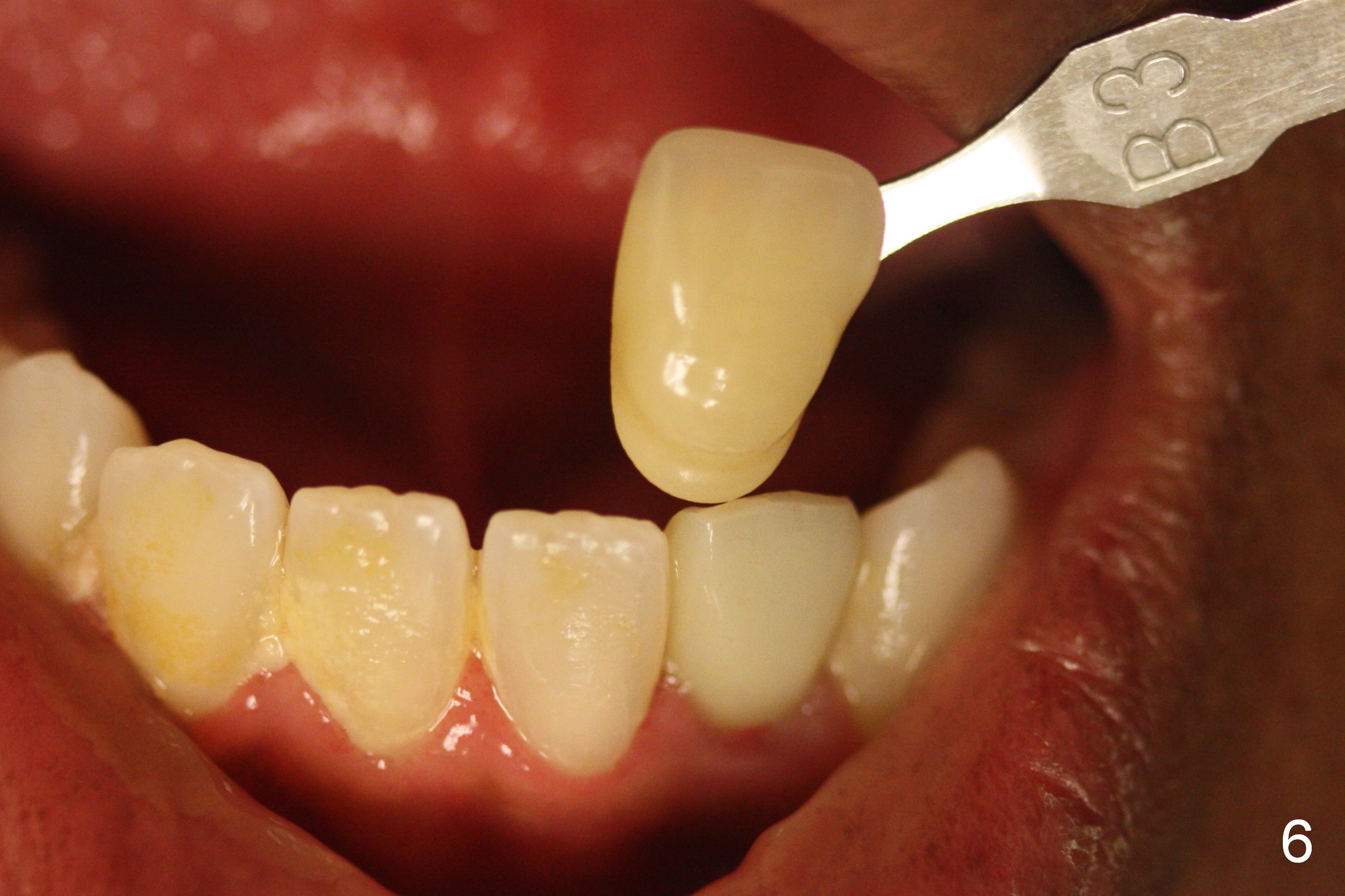
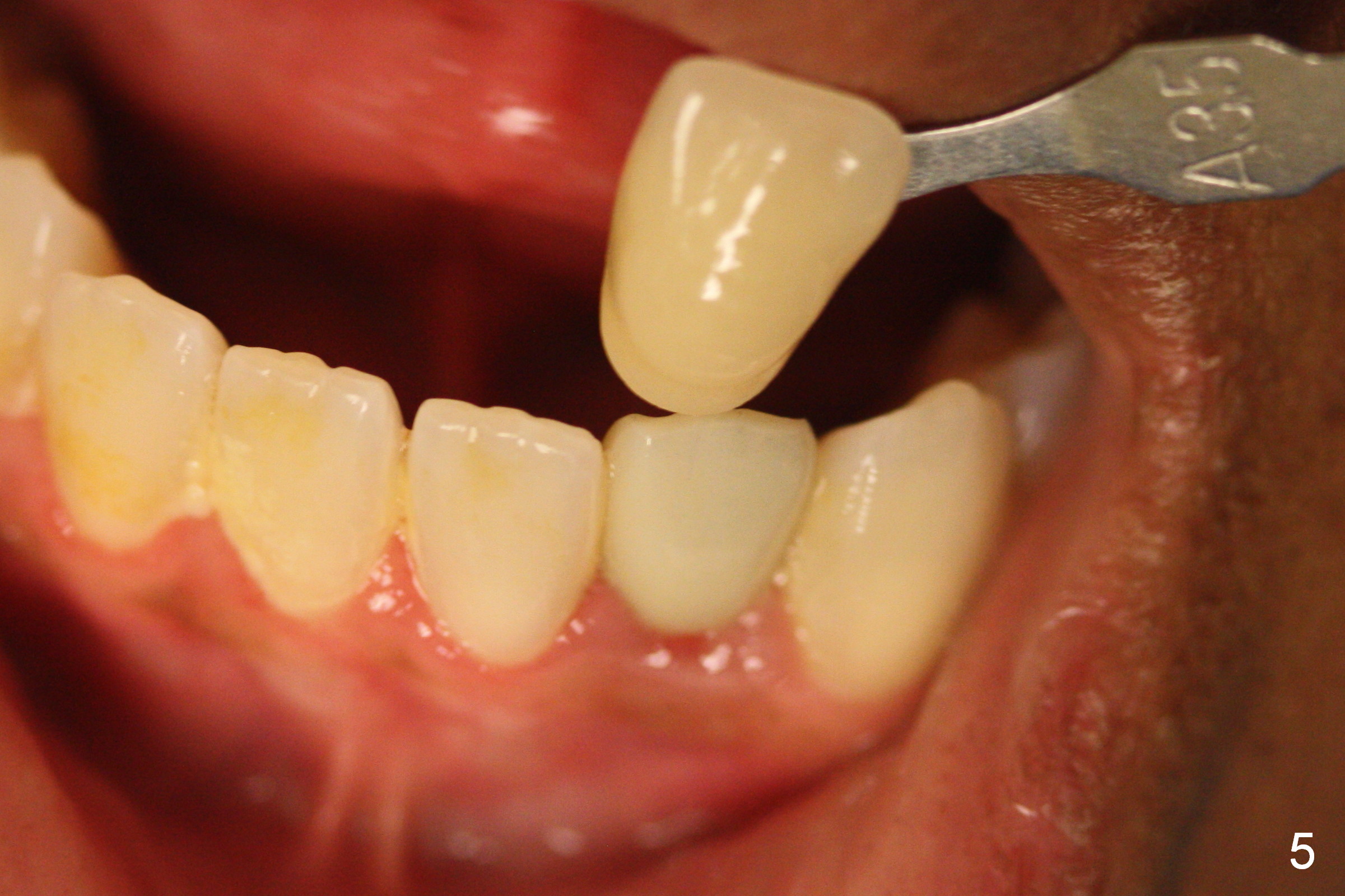
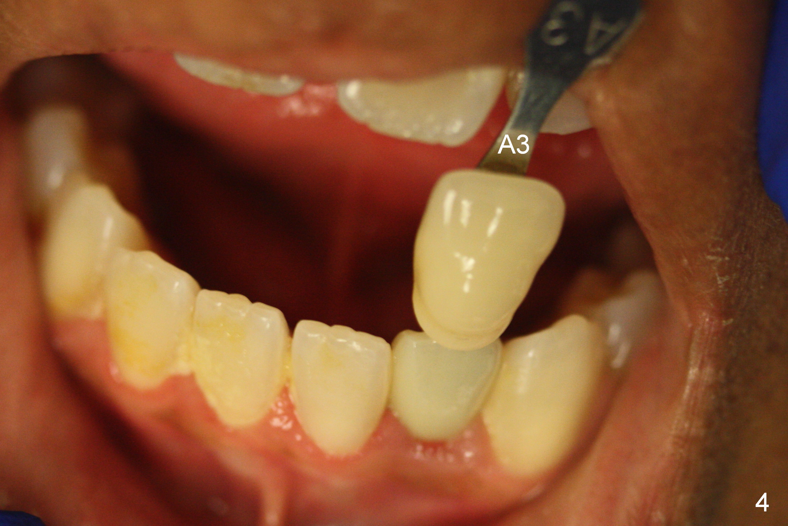
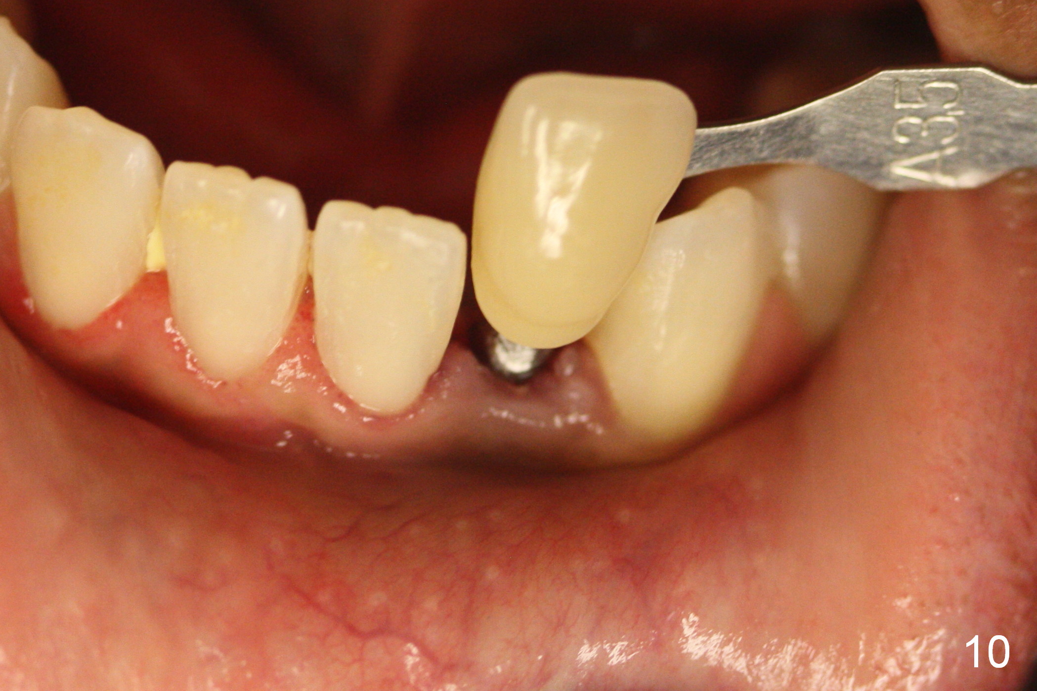
Choose a shade a little darker and more yellowish (Fig.4-7 before
cleaning; Fig.9-11 after cleaning). It
appears that there is a change in shade of crown over the time.
The patient is sure that the original shade was alright, but over the
time the shade changes. I wonder
whether it is due to stain/paint to the crown in the lab.
Can you choose a Zirconia block that has the closest shade?
Do not stain or paint the crown.
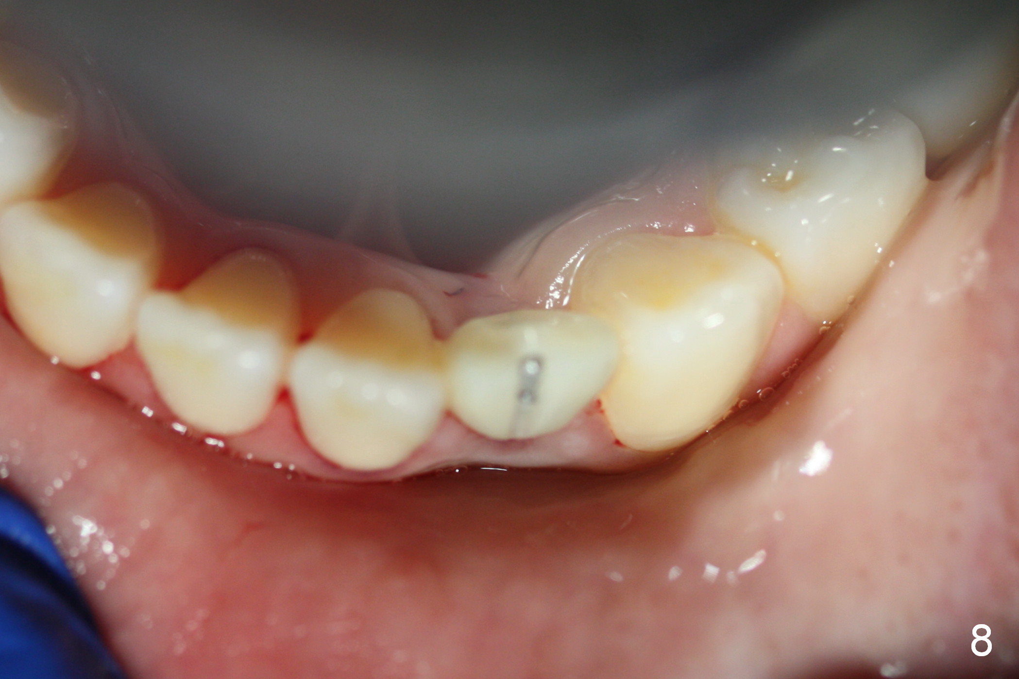
Make the crown a little more bulky buccally than the
old crown (Fig.8). The implant
has been placed for 2 years 8 months.
It has already osteointegrated.
The buccal surface of the abutment has been further reduced prior to final impression (the previous cast is enclosed in the case).
Thanks.
Return to
Technicians
Xin Wei, DDS, PhD, MS 1st edition 06/09/2015, last revision 06/09/2015