![]() |
![]() |
![]() |
Close Mesial Gingival Embrasure
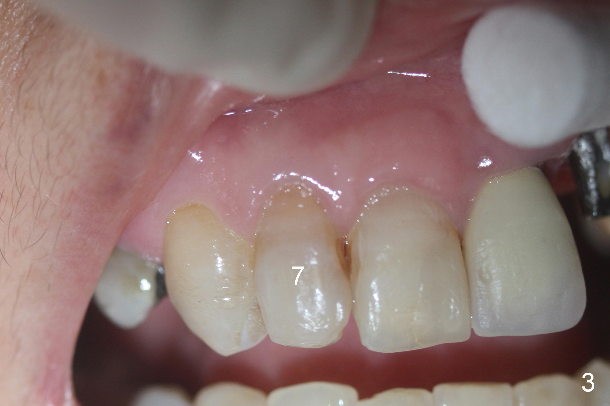
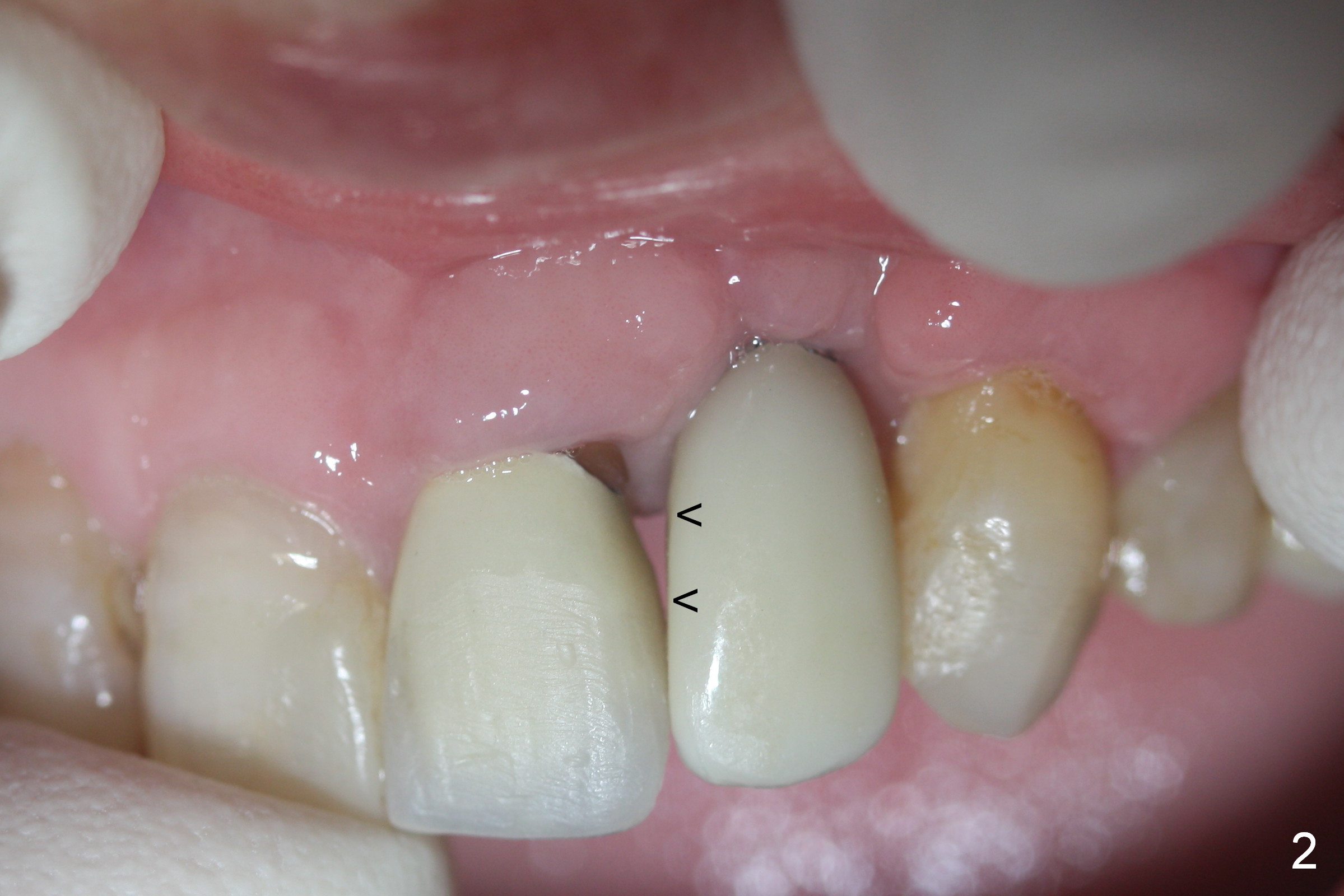
Mrs. Chen likes the shape of the temporary crown (Fig.1), particularly the mesial portion (arrowheads). Change the shape of the permanent crown (Fig.2 arrowheads) to alleviate the problem of papillary recession. Use the tooth #7 as a reference (Fig.3).
Return to
Technicians
Xin Wei, DDS, PhD, MS 1st edition 04/09/2016, last revision 04/09/2016