![]() |
![]() |
![]() |
Temporary Crown Margin vs. Ridge
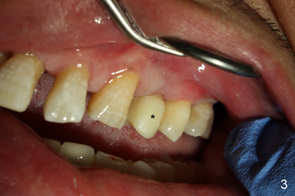
A temporary crown is fabricated for an upper left 1st premolar implant (Fig.1). There is a problem. The implant is placed a little too lingual (L). An extra ridge (R) is made buccal (B) to the buccal margin (M). Although the ridge improves cosmetics, it is not hygienic. Cement and food debris accumulates between the margin and ridge and it is difficult to clean. A smooth buccal margin is preferable (Fig.2). The temporary crown without ridge does not look too bad after cementation (Fig.3 *). The cervical area looks like a Class V defect. It will not get worse.
Dear Dr. Wei. It looks nice. I understood the problem. I wanted to ask you about that issue because sometime I cannot reach my goal about esthetic and hygiene. With other dentists of mine, the implant can't be placed where I wanted. It is placed where clinically needs to be put. Sadly on implant fabrication courses, they have the perfect cases without antagonist. Life is different. I will ask your advice on what to do in situations like this. This is not bad at all without the ridge lap. Sometimes I just don't want to end up with a big funnel look like tooth. This is my issue for a long time, and I hope you can show me the way. I had learned so many types of design, and non of them was what I want to do. Please let me know when you have time to discuss that issue. Thanks, Laslo.
Dear Laslo: Thanks for reply. I do not have a universal answer to this complex issue. It must be case dependent. For an upper incisor, cosmetics is a priority. Otherwise, hygiene is what we should pursue for. If I find the potential issue during temporary crown fabrication, I will let you know. If I do not and you find the issue during computer design, please let me know. It must be no fun to trim the ridge off Zirconium crown, which I may find not so hygienic clinically.
Return to Assistants
Xin Wei, DDS, PhD, MS 1st edition 11/01/2013, last revision 11/02/2013