![]() |
![]() |
![]() |
![]() |
![]() |
![]() |
![]() |
![]() |
Crown Margin vs. Ridge
A temporary crown is fabricated for an upper left 1st premolar implant (Fig.1). There is a problem. The implant is placed a little too lingual (L). An extra ridge (R) is made buccal (B) to the buccal margin (M). Although the ridge improves cosmetics, it is not hygienic. A smooth buccal margin is preferable (Fig.2). The temporary crown without ridge does not look too bad after cementation (Fig.3 *).
Therefore, a final (particularly Zirconium) crown should not have this type of extra ridge. It is extremely difficult to trim it.
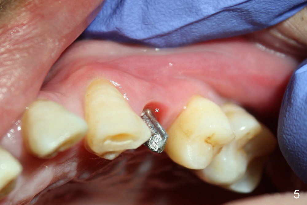
Twenty one days after prep, the provisional is removed. The buccal gingiva forms a healthy drape over the implant (Fig.4,5 *). A Zirconium crown is being (Fig.6 C without ridge) and completely (Fig.7) seated. Centric occlusion and lateral movement results in bite shown in Fig.8. I would prefer that the bite is a little bit stronger. Basically it is a good job.
Return to Technicians
Xin Wei, DDS, PhD, MS 1st edition 11/01/2013, last revision 11/22/2013