Why is Bite off?

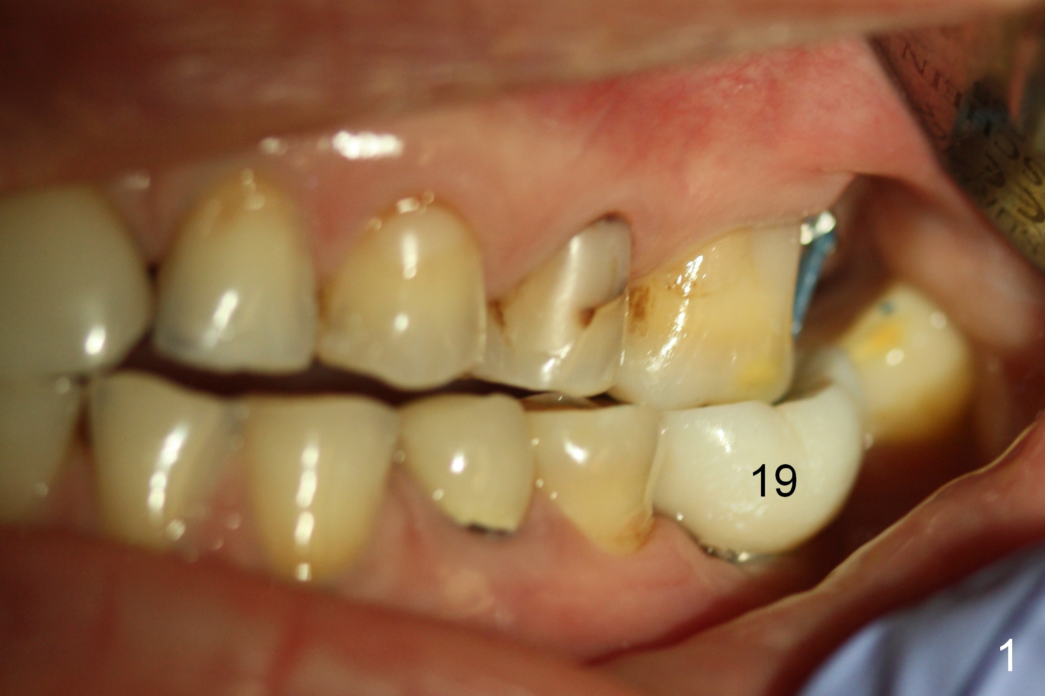
A 50-year-old lady had implant crown prep on 02/02/2015.  The intrusion of the opposing tooth was terminated (removing power chain).  She returned for crown cementation today (02/27/2015).  The temporary crown was broken for an unknown period of time.  When a Zirconium crown is seated at the site of #19, the rest of occlusion is off (Fig.1).  The contact with the neighboring teeth is within normal limit.

It appears that the opposing tooth is re-supraerupted.  Power chain of 4 is re-installed.  The crown is temporarily cemented.  Is there any other reason for the bite problem?  What can we do, especially what can we do to prevent crown cracking?

Return to Technician, Assistants

Xin Wei, DDS, PhD, MS 1st edition 02/27/2015, last revision 04/04/2015

Jenny's reply: Does the cross bite affect the biting ? Or the buccolingual of the crown is too wide? To prevent crown cracking, I think we need to make the buccolingual narrower than other crowns.

Jenny: Thanks.  What you said is not so important.  Can you think a little deeper?  If the occlusal surface of a temporary crown is thin after it is fabrciated, what should we do?  Or what should we expect?

Lirong said that there is undercut.  But she did not specify. 

Suniti and Carmen: I am desperately waiting for your answer.