Shades and Contour of a Single Crown

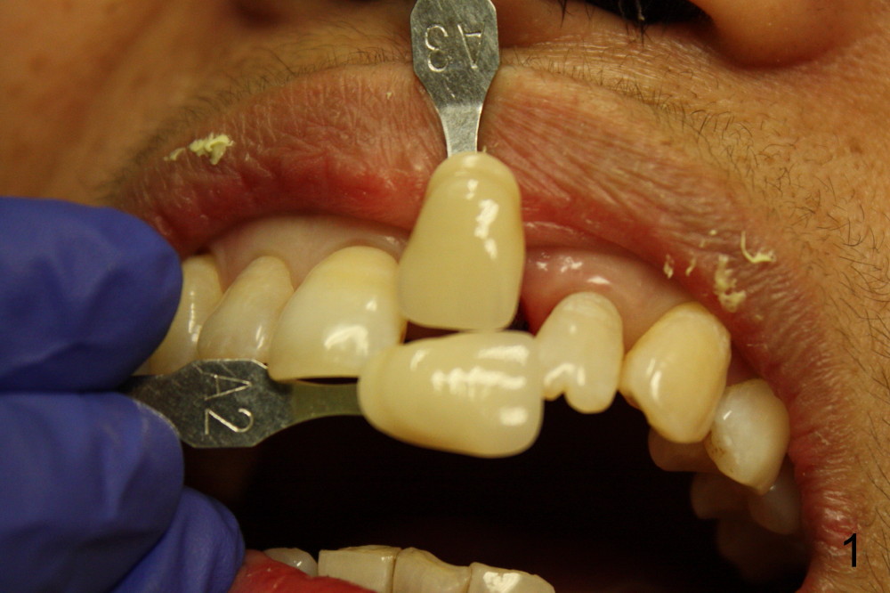
  1. Fig.1,2 show shade selection for #9 implant case for Mrs. WY Li.  Shade A3 is to be used for gingival portion, whereas A2 for incisal portion
  2. For implant cases, porcelain could be a little more than necessary buccally to cover the Titanium, whereas for natural teeth, overcontour is not acceptable
  3. For anterior cases (including premolars),  anterior tray impression is taken, so that we can use the tooth on the other side as reference.  If the machine produces an overcontoured crown, please fix it by hand
  4. Recently, crown margin is shy.  From now on, make margin a little bit longer, ~ .5 mm buccal of the anteriors, ~ .025 mm posteriors

Technicians

Xin Wei, DDS, PhD, MS 1st edition 01/20/2014, last revision 01/20/2014