![]() |
![]() |
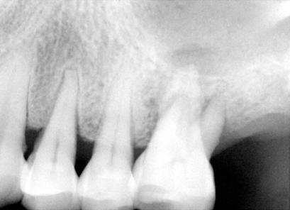
| 图一 术前根尖片左上6号牙根尖阴影阳性 | 图二 术前根尖片左上6号牙根尖阴影阳性 |
![]() |
![]() |
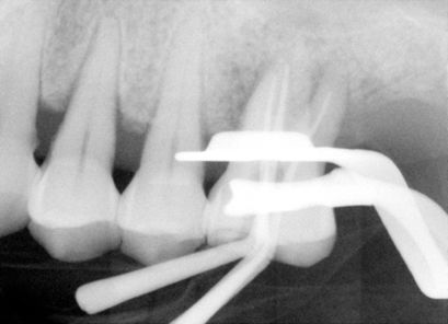
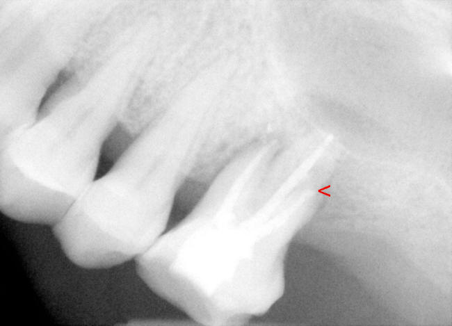
| 图三 术中根尖片插入主牙胶尖 | 图四 术中根尖片牙胶尖側方充填后 |
![]() |
![]() |
| 图五 牙周手术前左上6号牙颊侧根分叉暴露(箭头) | 图六 牙周手术前左上6号牙舌侧牙龈退缩(箭头) |
![]() |
|
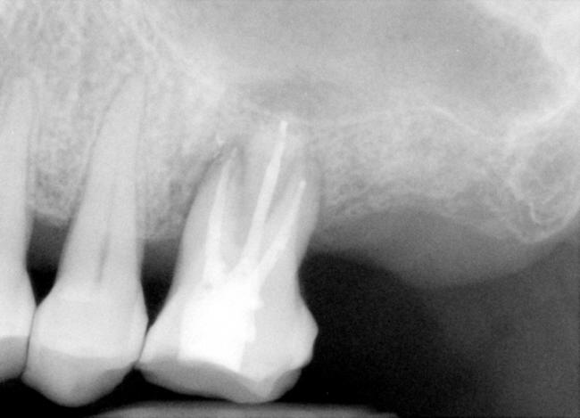
| 图七 牙周手术中:结石(箭头) | 图八 根尖切除前根尖片 |
![]() |
![]() |
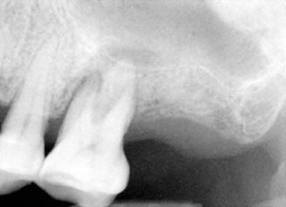
| 图九 初步颊侧骨板开窗 | 图十 远中根尖切除术后 |
![]() |
|
| 图十一 根尖倒充 |
2009-10-12 林太太(62岁)在美探親時到我們診所就診,
主訴“我不能用左上牙齿吃东西,热敏感”,没有全身症状:发烧,不适,最后一次洗牙不明,没有系统疾病。
检查:面部对称,没有肿胀,没有牙关紧闭,口腔卫生尚可,多个修复物(补牙),左上7号牙缺失,左上6号没有蛀牙,牙龈退缩,4毫米牙周袋,轻度扣痛,没有窭道。根尖片(图一,图二)显示:左上6号牙骨质吸收,根尖有阴影。
初步诊断:左上6号牙牙周病继发牙髓炎
治疗计划:根管治疗或者拔牙;病人选择保守治疗
2009-10-16 病人回诊所做左上6号牙根管治疗
主訴:"我不能喝冷或者热水",全身情况没有变化
检查:口腔卫生尚可,6号牙没有裂纹,牙龈退缩阳性,颊侧根分叉处牙周袋最深:~7毫米,牙髓冷试验:敏感刺激。
印象:牙周牙髓综合症
治疗计划:根管治疗
治疗:局麻,超声洁治4,5,6号牙,橡皮障隔离,开髓,活髓,使用特殊Piezo超声金刚钻头寻找MB2根管口,但是没有找到。使用根尖定位仪,用手用扩大针至15号,然后是用电动扩大针(Dentsply Tulsa Protaper),MB(近中根管),DB (远中根管)扩大到30/.06(锥度)14.5mm, P (鄂侧根管)40/.06 14.5mm,使用大量漂白液(sodium hypochlorite)冲洗和润滑剂,插入相应的主牙胶尖,拍摄根尖片(图三),距离尚可,P 根管最后通到 15mm,用纸尖吸干根管,介入AH Plus paste糊剂,再次插入相应的主牙胶尖,加入附加牙胶尖,侧方挤压充填,再次拍摄根尖片(图四),P根尖可能糊剂超充,去除多余牙胶尖,做轻度垂直挤压充填,使用Cavit暂时封闭根管治疗开口。治疗过程,林太太恶心两次,血压正常,自行好转。
2009-11-11 病人回诊所做左上6号牙根管治疗后开口永久性补牙
主诉:"牙龈痛,咬到某一个点时疼痛"
检查:口腔卫生尚可,6号牙颊侧,远中根分叉暴露,深度牙周袋,探击时出血
印象:MB2根感染?
治疗计划:寻找MB2根管
治疗:局麻,橡皮障隔离,取出Cavit暂时封闭,使用Piezo超声金刚钻头,EDTA和C(硬的)扩大针(6,8号),始终没有找到MB2根管,暂封,再次超声波洁牙
2009-11-23 病人回诊所完成左上6号牙根管治疗,补牙,翻瓣洁牙术
主诉:同上
检查:6号牙颊舌侧牙龈退缩(图五,图六)
印象:牙周牙髓综合症
计划:补牙,翻瓣洁牙术
治疗:6号牙咬合面调整,直到病人觉得舒服点。局麻,橡皮障隔离,取出Cavit暂时封闭,使用Piezo超声金刚钻头,EDTA和C(硬的)扩大针(6号),仍然没有找到MB2根管,把情况告诉病人,同意之后,完成树脂补牙,咬合面调整,抛光。局部浸润麻醉,颊舌侧牙龈沟切口,翻瓣,显示龈下结石(图七箭头),使用手动和超声洁治,从6号牙颊侧,远中根分叉处,以及鄂侧根(接近根尖处)去除结石和肉芽组织,生理盐水冲洗后,4-0肠线缝合。
2010-1-22 病人回诊所仍觉得疼痛没有改善,冷热痛,夜间痛,要求拔牙,检查表明:左上6号牙有轻度扣痛,颊侧根分叉处,以及鄂侧根鄂面有探痛,分析术前X光片(图八),好像远中根牙胶尖充填不到位,可能是术后疼痛原因,残余牙髓炎,所以我们准备作根尖切除术。翻瓣,根尖骨板完整,用高速牙钻开窗,一时找不到远中根尖,再拍一张根尖片(图九),适当调整后,我们找到了远中根尖,并作了切除术(图十),然后根尖倒充(IRM,图十一),生理盐水冲洗,缝合伤口。
术后几天后病人冷热痛改善
现在林太太开始用牙线,认真刷牙,希望她定期到牙科诊所洗牙,作必要治疗,谢谢。