![]() |
![]() |
|
Fig.1 |
Fig.2 |
![]() |
![]() |
|
Fig.3 |
Fig.4 |
![]() |
|
|
Fig.5 |
Dental Education Lecture: Simplified Braces
We use space regainer to restore space lost after premature extraction of a baby back tooth. Sometimes the space for an adult tooth is lost due to other reasons. We still can use space regainer to regain the space. The purpose of space regainer or space maintenance is to help youngster dentition develop normally and to avoid more complicated orthodontic treatment (braces).
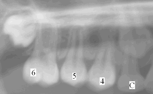
Today we report a case in which space regainer is used to fix minor dentition problem. One day a 9 year old girl came to my office with mom. Mom said, "One adult tooth comes out at a wrong place". Exam reveals that upper right adult 2nd premolar (5, Fig.2) erupts outside of (buccal to) normal dentition. Its predecessor (baby 2nd molar, E, Fig.1) has not fallen out. X-ray (Fig.1) shows that 1st premolar (4) tilts backward and blocks downward growth of 5. We feel it necessary to push 4 forward, i.e., to close the space between 4 and C (baby canine). First we extract E, take impression and make a model as shown in Fig.2. The latter shows that 5 is coming out initially outside (upper in the figure) of dentition.
Two weeks after space regainer installation, the tooth 5 makes its appearance more (Fig.3). Note two springs on either side.
Another 5 weeks later, the space between 4 and 6 (adult 1st molar) is increased more with more eruption of 5 (Fig.4). We feel that we have achieved our expected results. At this time, gums around the space regainer are so inflamed due to poor oral hygiene habit that we have to remove the regainer immediately. Fig.3 and 4 are mirror shot. They are somewhat mirror images of Fig.2.
Later the tooth #5 and neighboring teeth continue normal development. Fig.5 is X-ray taken 1 year after regainer removal. Compare Fig.1 and 5. Basically this girl does not need traditional braces for this area. Braces usually takes 1-3 years. Space regainer does not take that long, for this case, 7 weeks. Everything is made so simplified. Kids should brush very well no matter whether we need treatment or not.
Labels that have not been mentioned above are 3 and 7 (Fig.1). # 3 is adult canine which will replace C. #7 is adult 2nd molar which will erupts behind #6 without involvement of substitution (see lecture Space Maintenance).
Xin Wei, DDS, PhD, MS 1st edition 01/18/2009, last revision 03/20/2010