Treatment Plan for #4,5 ext, immediate implants, immediate splinted provisonals (two temporary crowns joined together)

  1. Check whether the patient has taken pre-operative antibiotic or not; if not, take Amoxicillin 2.0 gm in office immediately to prevent postoperative infection around the implants.  We are going to extract residual roots of #4, and 5
  2. Take PA (Fig.1), Photos
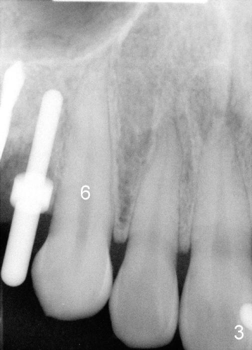
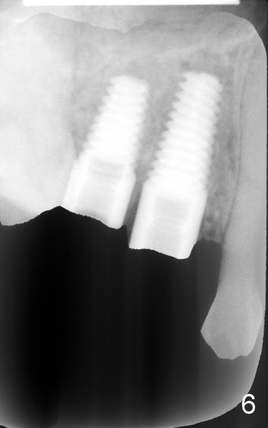
  3. PA device, for lower posterior, use endo device; for upper, regular; for upper premolar, anterior if root and bone are long.  Today the patient’s mouth is small.  No.1 sensor was used with anterior PA device later (Fig.4-6)
  4. Atraumatic ext, irrigation, Clindamycin soaks 5 minutes, surgical handpiece; although root tip pick, elevators may be needed
  5. Choose shade for temporary crowns
  6. Place implants in the middle of the socket, slightly more palatal (two assistants today did good job in this aspect)
  7. Save bone, put back buccally before implant insertion (we missed this step today.  Instead harvested bone was placed after implantation, which is somewhat inconvenient)
  8. 4.5x17 tap, implants, torque wrench (4.5x11 and 4.5x14 mm tapered implants were placed at the sites of #4 and 5, respectively (Fig.6))
  9. Fig.2,3 show pilot drill and guiding pin at the sites of #4 and 5, respectively.  Thanks to our joined effort, the axis of the implant at the site of #4 was corrected from Fig.4 to 6
  10. Due to limited occlusal clearance (tight bite), provisionals were not done immediately
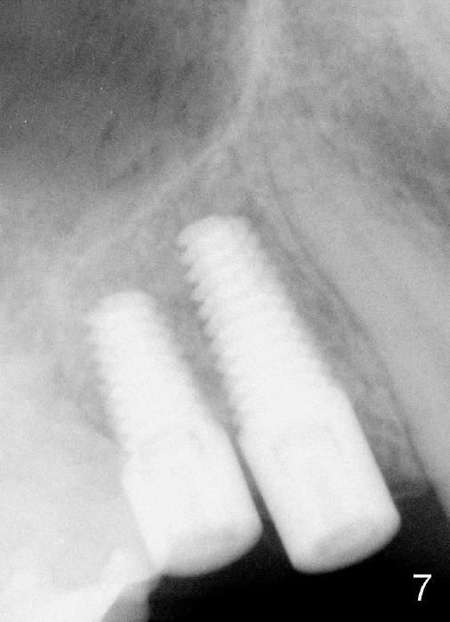
  11. Fig.7: 4.5 months post implantation.  With retention of roots, the bone retains.  Implants placed can be long and easy, whereas long-term missing teeth leads to reduction in bone height

Assistants

Xin Wei, DDS, PhD, MS 1st edition 08/21/2013, last revision 07/19/2014