Internal Sinus Lift with Bone Expanders

A 28-year-old lady (1,2) requests 3 more implants' restoration (Fig.1).  After wax up, the upper left quadrant (model) is duplicated and a surgical stent is fabricated (Fig.2). 

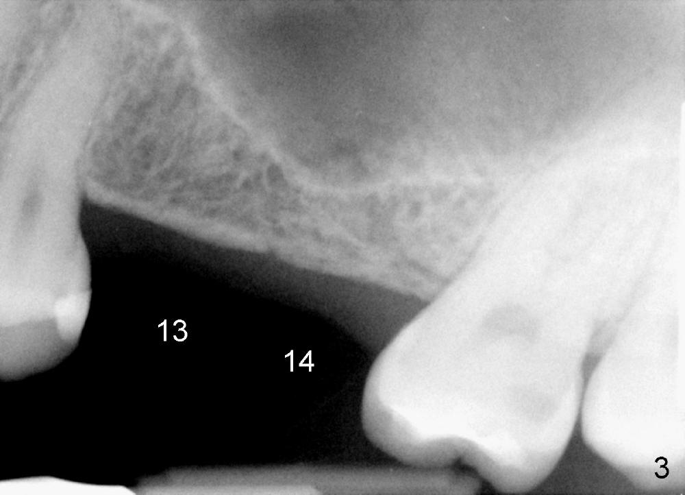
Bone height is limited for implant placement at the sites of the 2nd premolar and the 1st molar (Fig.3: #13,14), 7.68 and 4.45 mm, respectively (Fig.4).  The depth of the pilot drills is controlled between 6 and 8 mm for #13 and less than 6 mm for #14 at the crest. 

Bone expanders are used to form osteotomy and internal sinus lift if bone density is found to be low on pilot drilling.  Expanders are used until 3.0 or 3.4 mm for #13 and 3.8 or 4.3 mm for #14.  A perio or implant explorer is used to check integrity of the apex of the osteotomy.  Allograft and Osteogen will be used for sinus lift.

A 4x14 and 5x11 mm one-piece implants will be used (Fig.4; apices being pointed (red lines); while abutments being attached (pink lines)).  Approximately 4-5 mm implants will stick into the sinus space (but underneath the sinus membrane).  Immediate provisionals are to be splinted without any occlusal contact.

Dear Tony and Dr. Borgner:
We were supposed to place 4x14 and 5x11 mm one piece implants for #13 and 14 with limited bone height.  Immediately prior to the surgery, I checked those two implants.  They are very pointed in the apical end.  Are they appropriate for sinus lift?  Will they easily perforate the sinus membrane?  Go to my web, Professionals, Instrument (in the first line, next to Professionals), Bone Expander kit #1.  Thanks.
Fortunately I did not do the procedure today. Xin Wei

Dr Wei,  I prefer the one piece implant only when the bone is sufficient, for two reasons: 1- the reason you gave  2- the implant is loaded immediately and therefore I want mature bone around the surface of the implant. I do not want a load on the implant if part of the implant is supported by graft material.  Dr B

Dr. Wei,

 

The flat bottom implants are suited best for Sinus Lift Procedures.

 

Regards,

Tony


Dear Tony and Dr. Borgner:
Thank you for the input and idea, which I did not expect.  It appears that I will be a student of implant dentistry all of my life.  Thanks again for private teaching. 
Dr. Borgner: Is it appropriate to use one piece implant for molar immediate implant

Dr Wei,  The ability to gain immediate stabilization is the criteria necessary for use of one piece implants due to their immediate loading after placement. The necessary parameters that must be consider are: shape of implant, length and width of implant, density of bone, occlusion of opposing dentition, splinting of implant to other abutments,  etc. Dr Borgner

For the case mentioned, the abutment is used to support an under occlusal provisional.  The purpose of the latter is to cover the extraction wound.  The patient is doing great postop.  Final restoration has not been done because of running out of insurance benefit this year.  Anyway, thanks again for input.  There is a lot to learn.  How is the surgery?

Preparation for Sinus Lift, Instrument  Xin Wei, DDS, PhD, MS 1st edition 07/19/2014, last revision 02/12/2021