![]() |
![]() |
![]() |
![]() |
|||
![]() |
![]() |
![]() |
![]() |
|||
![]() |
![]() |
![]() |
![]() |
![]() |
![]() |
|
![]() |
![]() |
![]() |
![]() |
![]() |
![]() |
|
Immediate Provisional Enhances Cosmetics
A 56-year-old man fractures the lingual cusp of the upper right 1st premolar (Fig.1,2).
A provisional is fabricated immediately after extraction and implant and definitive abutment placement (Fig.3,4: P). The provisional hold the papilla in place (Fig.3 *). There is no occlusal contact with the opposing dentition (Fig.4 ^). The gingiva looks purplish due to difficult extraction. The tooth keeps fracturing while being extraction. The bone is dense. On the other hand, the dense bone helps achieve primary stability of the implant.
Patients with immediate implant immediate provisional are grateful postop when pain is relieved. They have new teeth when they leave office. This patient is pleased when he finds out that we take time to remove the difficult tooth.
With practice, immediate implant and immediate provisional fabrication could be easier than surgical extraction.
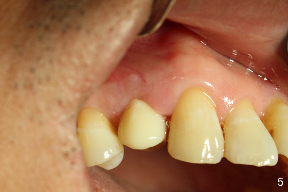
Five days later, the gingiva around the provisional returns to normal color (Fig.5,6, as compared to Fig.3,4). There is minimal postop pain in spite of difficult exodontia.
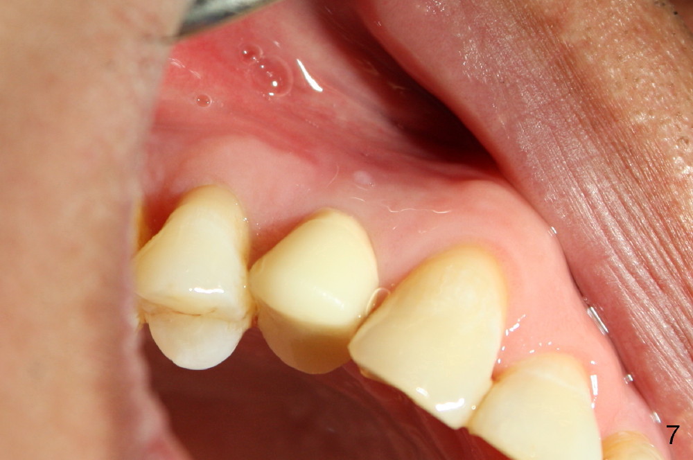
The patient returns 6 months postop for impression of a permanent restoration. The gingiva with knife-edged papillae adapts to the provisional (Fig.7). The gingiva looks healthy when the provisional is removed (Fig.8). The buccal bone resorption seems to be minimal, as compared to Fig.1,2. There is no bone loss between immediately postop (Fig.9 I; implant), 4.5 months postop (Fig.10 A: abutment), 4 and 7 months post cementation (Fig.11,12 C: crown). Soft and hard tissue morphology remains normal 7 months post cementation (Fig.13). No bone loss is observed 15 months post cementation (Fig.14). The papillae (Fig.15) and bone (Fig.16,17) remain stable 29 months post cementation.
In all, immediate provisional enhances cosmetics of implant restoration.
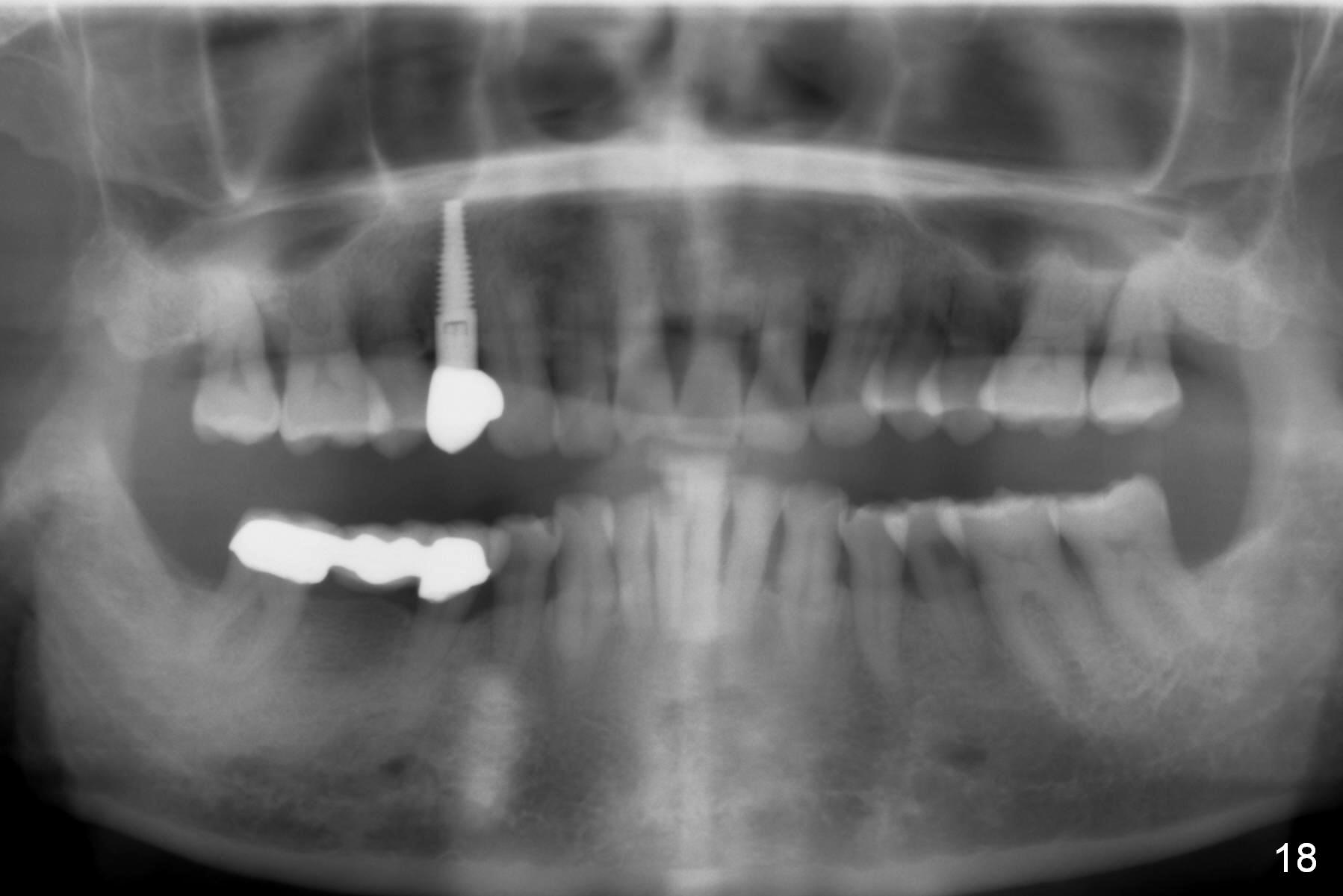
The long implant seems to be appropriate for the patient with periodontitis and bruxism (Fig.18, 2 years, 10 months post cementation). The implant appears to be placed buccally (B, Fig.19,20 (CBCT coronal and axial sections), 4 years, 5 months post cementation).
Upper Bicuspid Immediate Implant, 14
Xin Wei, DDS, PhD, MS 1st edition 09/01/2013, last revision 09/09/2018