![]() |
![]() |
![]() |
||
![]() |
![]() |
![]() |
![]() |
![]() |
Internal Resorption
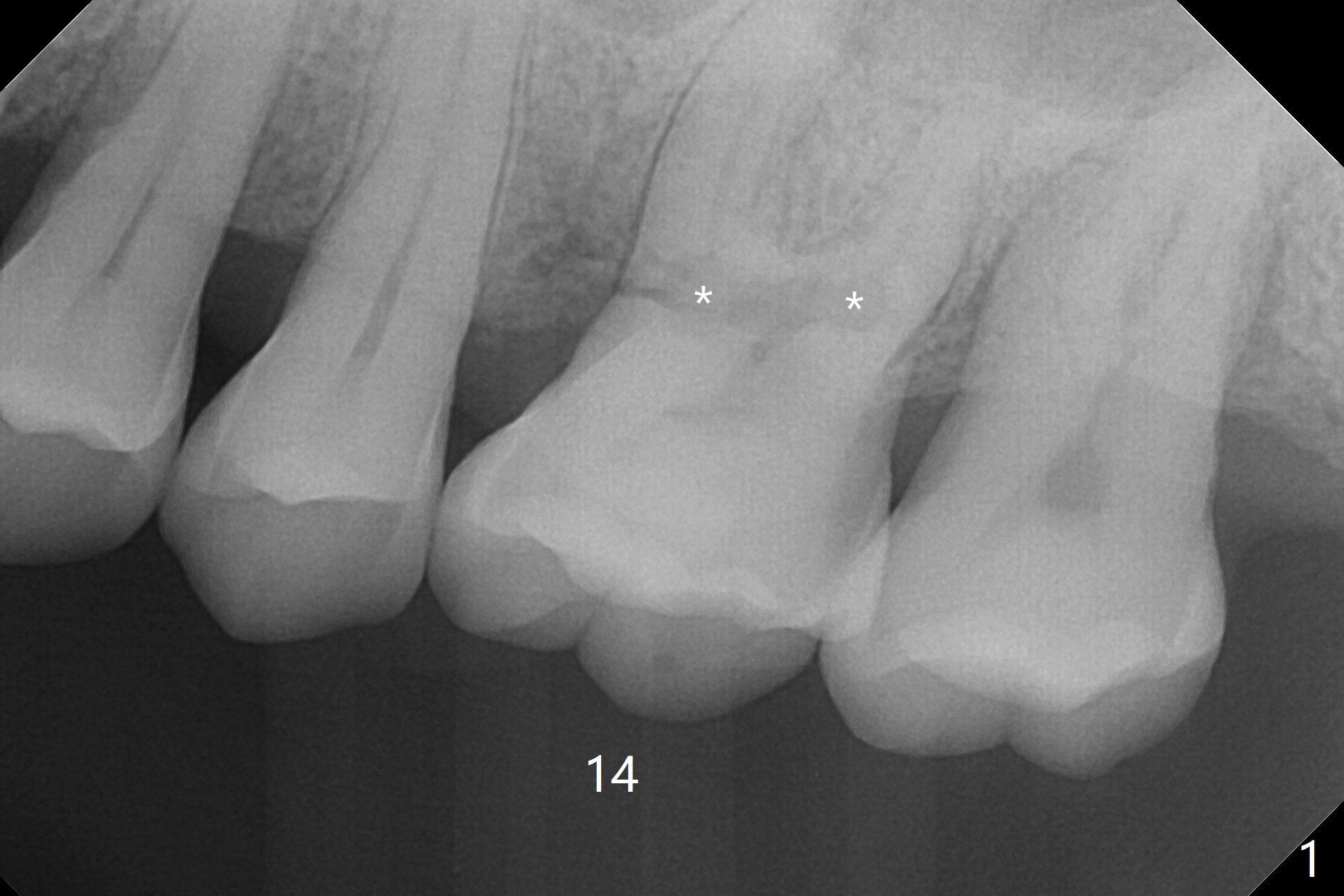
A 60-year-old man had buccal furca abscess at #14 with an unknown radiolucent lesion within the tooth five months earlier (Fig.1 *). Now the tooth is sensitive to cold. CBCT shows internal resorption involving the mesiobuccal and distobuccal roots (Fig.3,4 (axial section) *) with exits mesially (Fig.3 >) and buccally (Fig.2 ^). There is periapical radiolucency of MB (Fig.3,7) with the thickened overlying sinus membrane (Fig.3,5,6 (*), as compared to that over the tooth #3 (Fig.6)). Osteotomy will be established in the septum away from the lesion (Fig.8 red circle) and for 5 mm (Fig.5 (coronal section)). He is a heavy bruxer, loosening Ketac-cemented unipost. Use PRF to repair the defect associated with the MB lesion and sinus lift.
Return to Upper Molar Immediate Implant, Prevent Molar Periimplantitis (Protocols, Table), Armaments, No Antibiotic Xin Wei, DDS, PhD, MS 1st edition 01/22/2018, last revision 03/25/2018