![]() |
![]() |
![]() |
![]() |
![]() |
![]() |
![]() |
![]() |
||
![]() |
![]() |
![]() |
||
![]() |
![]() |
![]() |
||
![]() |
![]() |
![]() |
||
![]() |
![]() |
![]() |
||
![]() |
![]() |
![]() |
||
Self Drifting After Extraction
M
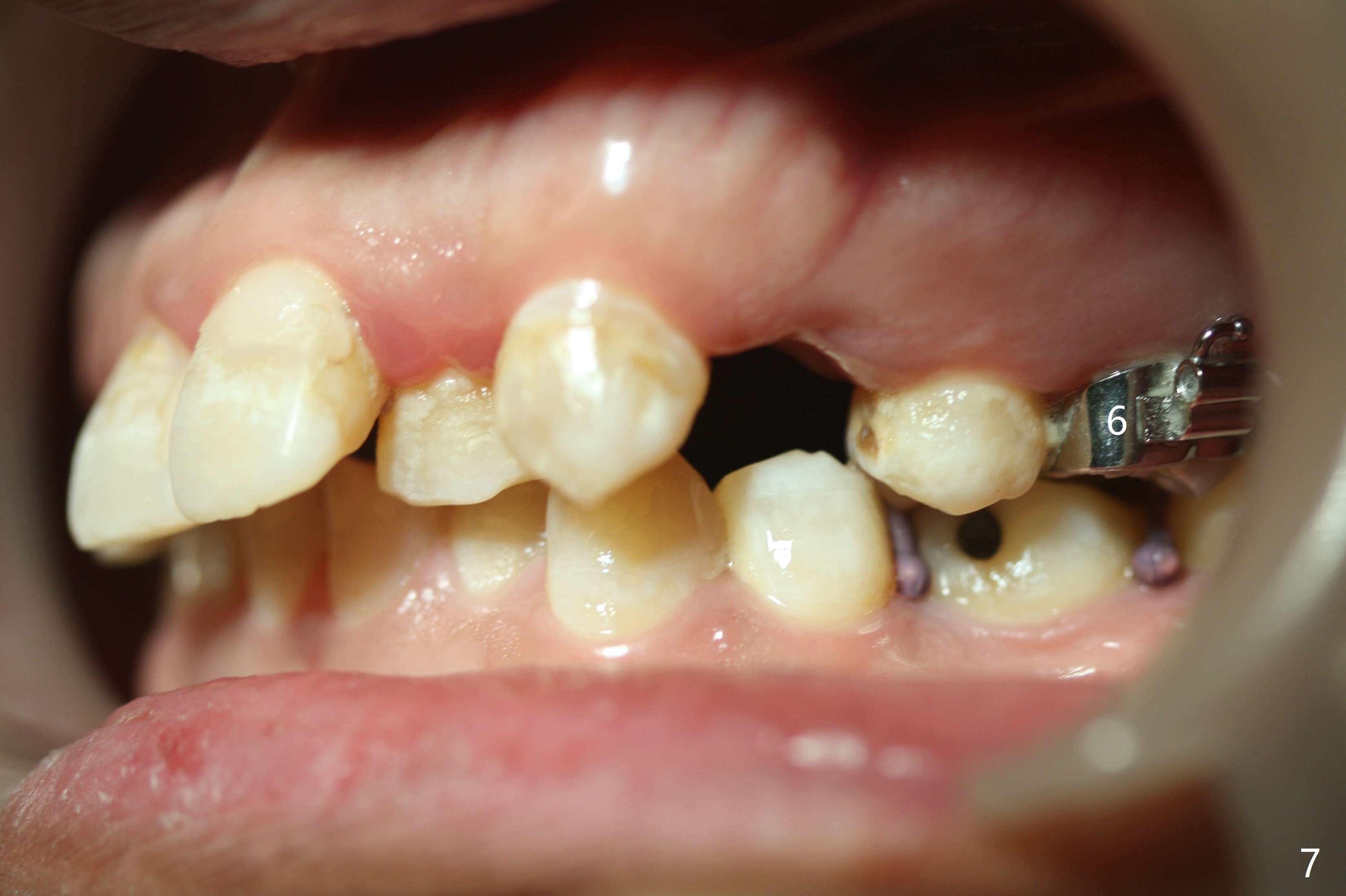
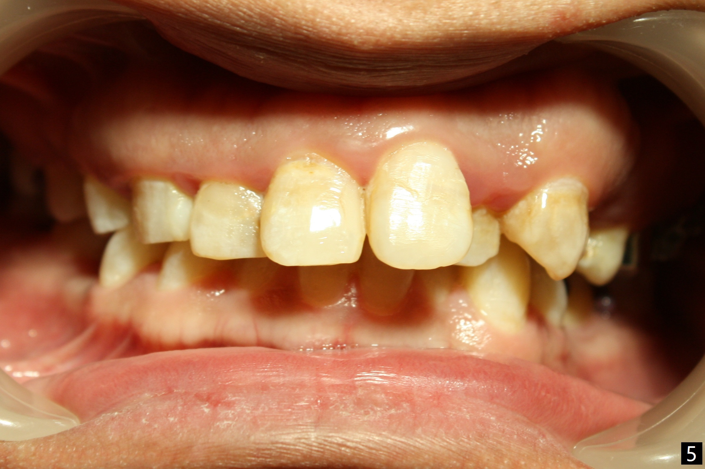
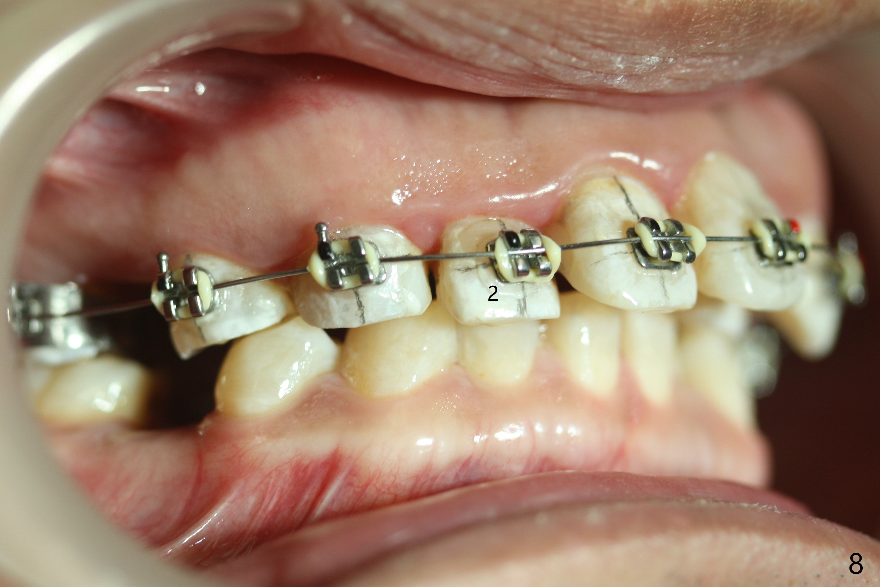
Severe crowding (Fig.1-7) appears to be alleviated especially 2 months after UR5 extraction. Diastemata seem to form mesial and distal to UR2 (Fig.8). Because of severe wear at UR3 (Fig.6), there is no bracket placement differential around it (Fig.8 (14 niti wire)). Lower bands and brackets are placed a week later (Fig.9-11). Because of tight space between LR4 and the opposing tooth (Fig.10), band adhesive is applied to L7 occlusal surface to open the bite (Fig.9). There is an abrupt kink of 12 niti wire between LL4 and 6 (Fig.11). The latter does not improve much in a month; the wires remain the same (Fig.12). For LL2, LR4 has been retracted for ~ 1 month (Fig.13). There is mild tension when 18 ss wire is inserted between LL4 and 6 five point five months post banding (Fig.14). UR4 has been distalized for a month using buccal power chains x3 resulting in rotation; to counter the rotation, a lingual button is placed with power chain x3 lingual and x2 buccal (Fig.15). With space gaining, it is time to finish definitive filling (Fig.16 *). Next visit check midlines, overjet, interdigitation, and molar classification. R4s distalize, but associate with rotation because of power chains buccal and lingual 8 months post banding (Fig.17,18). With the use of the same wires, power chains are applied lingual to continue distalization and rotation correction (Fig.20,21). Lingual buttons are placed at L2s buccalization (Fig.19) and mesialization (Fig.22,23). It appears that space should be created distal to LR3. That is that the lower anterior teeth should be shifted to the right, although it may be not appropriate for the midline.
Return to Ortho Cases Xin Wei, DDS, PhD, MS 1st edition 11/01/2018, last revision 03/07/2020