Which Teeth Need to be Extracted? M

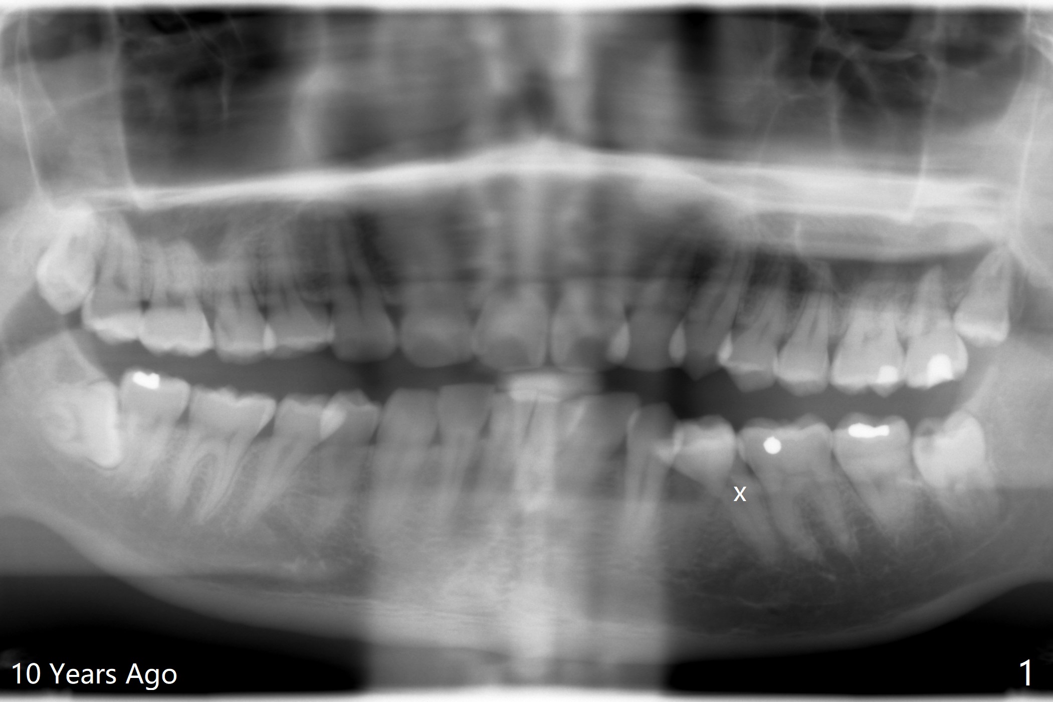
A 32-year-old man has had severe crowding for the last 10 years (Fig.1-5).  He is ready for orthodontic treatment now.  LL5 has been extracted for 4 years (Fig.1 x).  Severe caries at UR5 makes it easy to decide for extraction (Fig.2 x), while it is hard to determine which of the LR bicuspids needs to be extracted because of moderate caries at LR5 and even harder for UL because of caries at UL6,7 (Fig.2 *).

Dr. Shaughnessy: Is it a good plan to extract UL6 and/or 7? Thanks.

I lean towards the 7 Xin.
Tim
What would be your method to distalize the 6 for space?  Thanks again. 
A TAD distal to the 6.
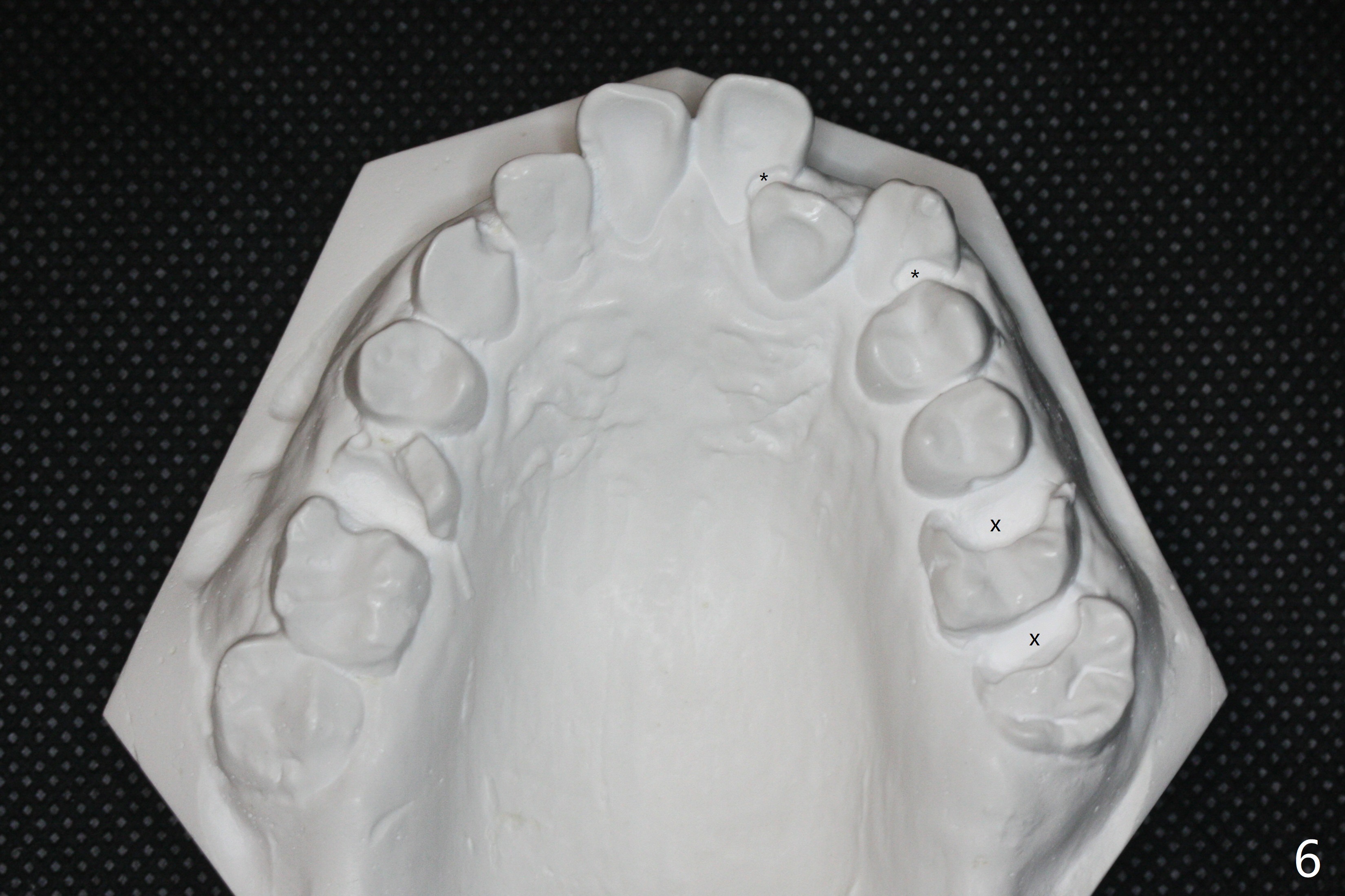
In fact impression for models (Fig.3-7) is taken after UL caries control.  Sedative filling is done at UL1,3 (Fig.6 *) and definitive restoration will be done when crowding resolves.  The defects at UL6,7 (Fig.6 x) is so extensive that after composite molar bands are placed immediately for retention.  Amazingly, there is no symptom after UL6,7 restoration.  Therefore UL4 will be extracted for crowding resolution.  UR 5 (Fig.1-3,6) has been extracted, while LR5 (Fig.2,7) will be.
In fact, bands have been placed at UL6 and 7 after debridement without symptom.  All of other restoration has been finished.  LR5 and UL4 have been extracted.  Photos are to be taken prior to bracketing.

Return to Ortho Cases

Xin Wei, DDS, PhD, MS 1st edition 08/09/2018, last revision 03/07/2020