![]() |
![]() |
![]() |
|
![]() |
![]() |
![]() |
![]() |
![]() |
![]() |
![]() |
|
Early Power Chains
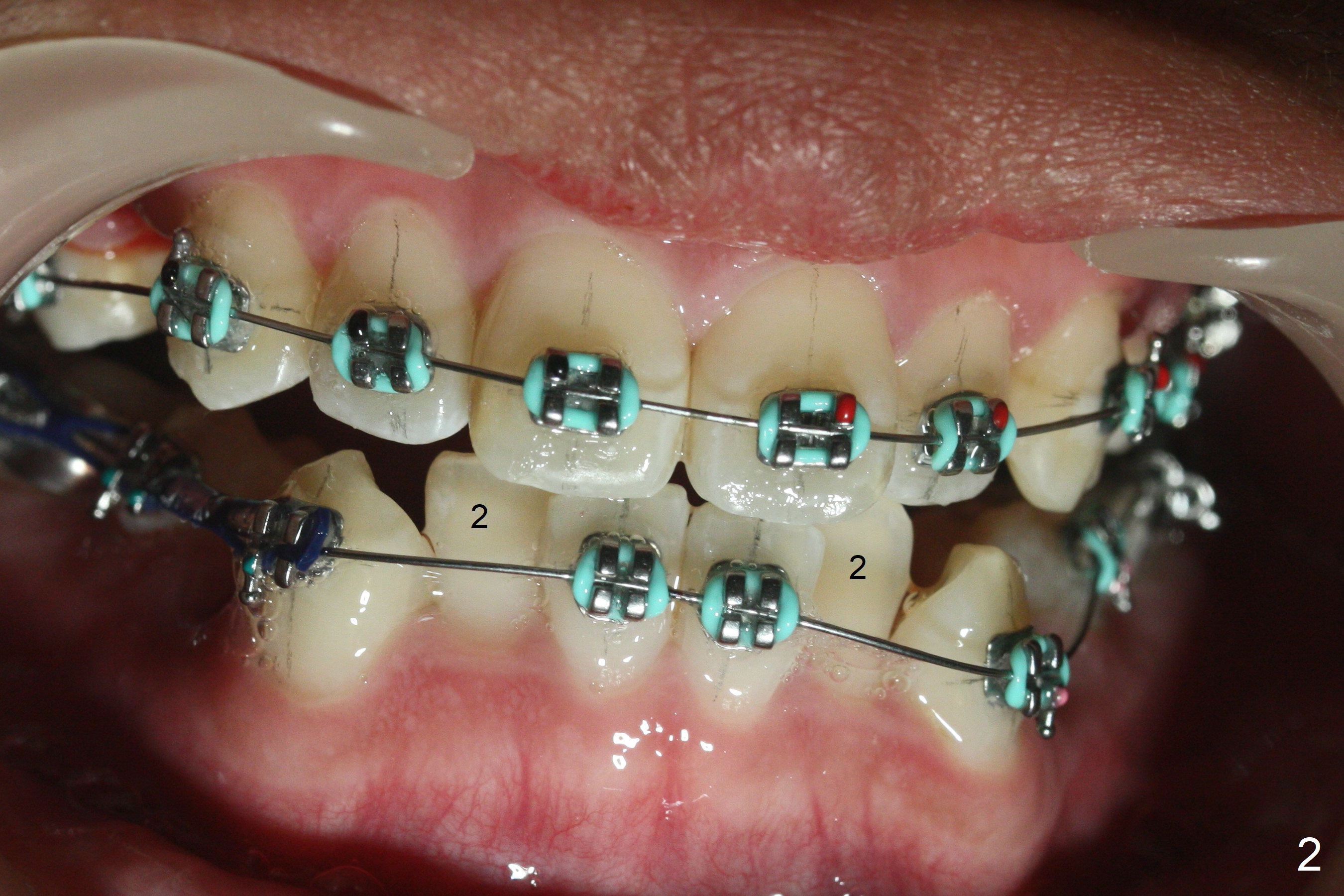
Four days post extraction of 4 of the 1st bicuspids, the patient returns for bracketing. It appears easier to place molar bands post extraction than without extraction. Spaces are larger. Anterior open bite (Fig.1-3) is due to premature contact of the mesiobuccal cusp of UR7 and the buccal tube at LR 7. To facilitate LR3 distalization, power chains are placed between LR3 and 6 (Fig.1 .014 niti wires), while tension in LL seems to be too high for power chains (Fig.3). The lower wire dislodges from the 2nd molar bands twice in 2 weeks; it appears that LR3 has been distalized (Fig.4); to reduce the chance of wire displacement, power chains x 5 are to be placed in LL 3-7 as well.
Plans: Next visit, do not necessarily change the lower wire so that it is easier to engage the wire to L2s' brackets once spaces arise. Use full arch power chains when L3s complete distalization.
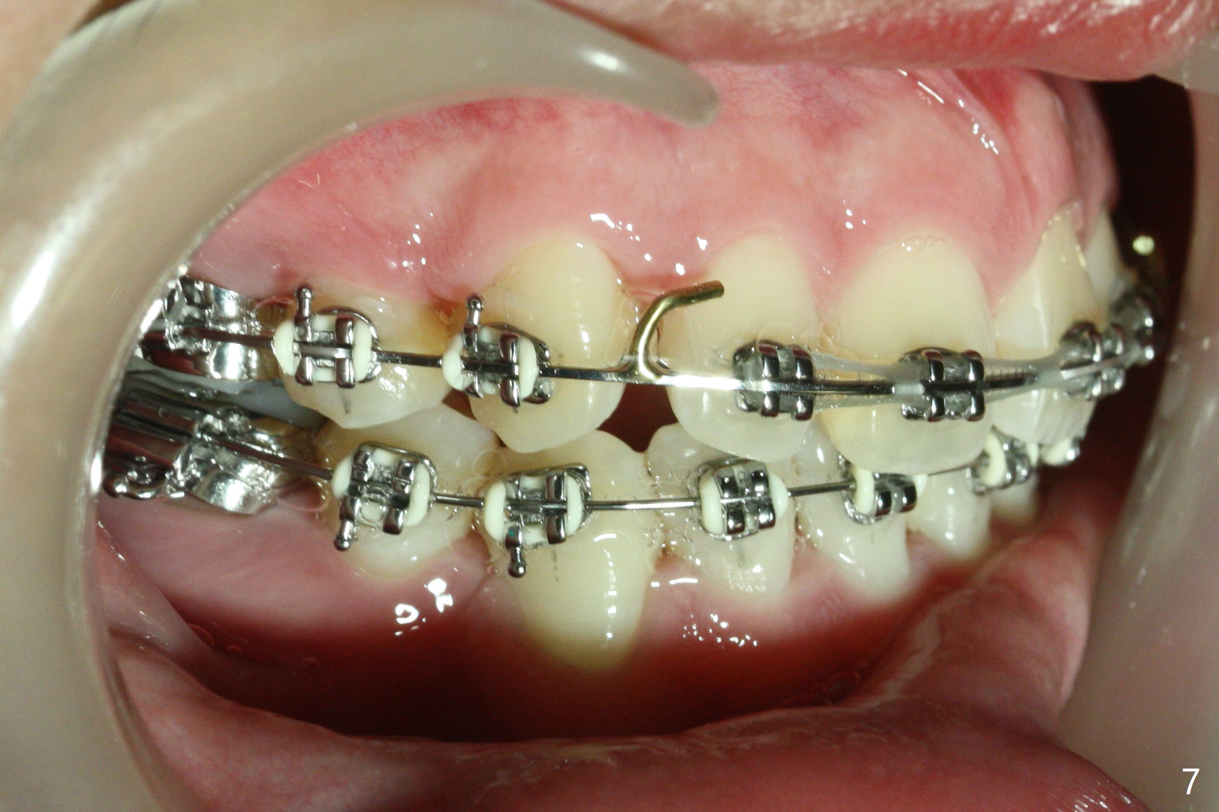
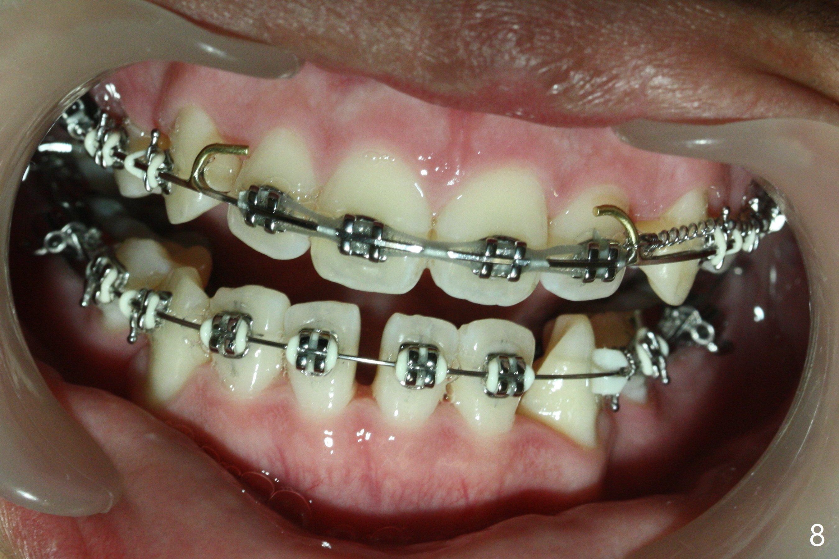
Twelve months post extraction and banding, there is anterior overjet. A posted wire is used to retract the upper incisors for a month. It appears that the upper midline deviates to the right (Fig.6, as compared to Fig.5 (pre-treatment)). Closed coil spring is removed on the right in hope that the upper midline will shift to the normal by the left coil spring (Fig.7-9). Is there a better alternative? There is mild root tip resorption 2 years 1 month post banding/immediate post debanding, as related to extraction ortho (Fig.10).
Return to Ortho Cases Xin Wei, DDS, PhD, MS 1st edition 09/05/2017, last revision 10/26/2019