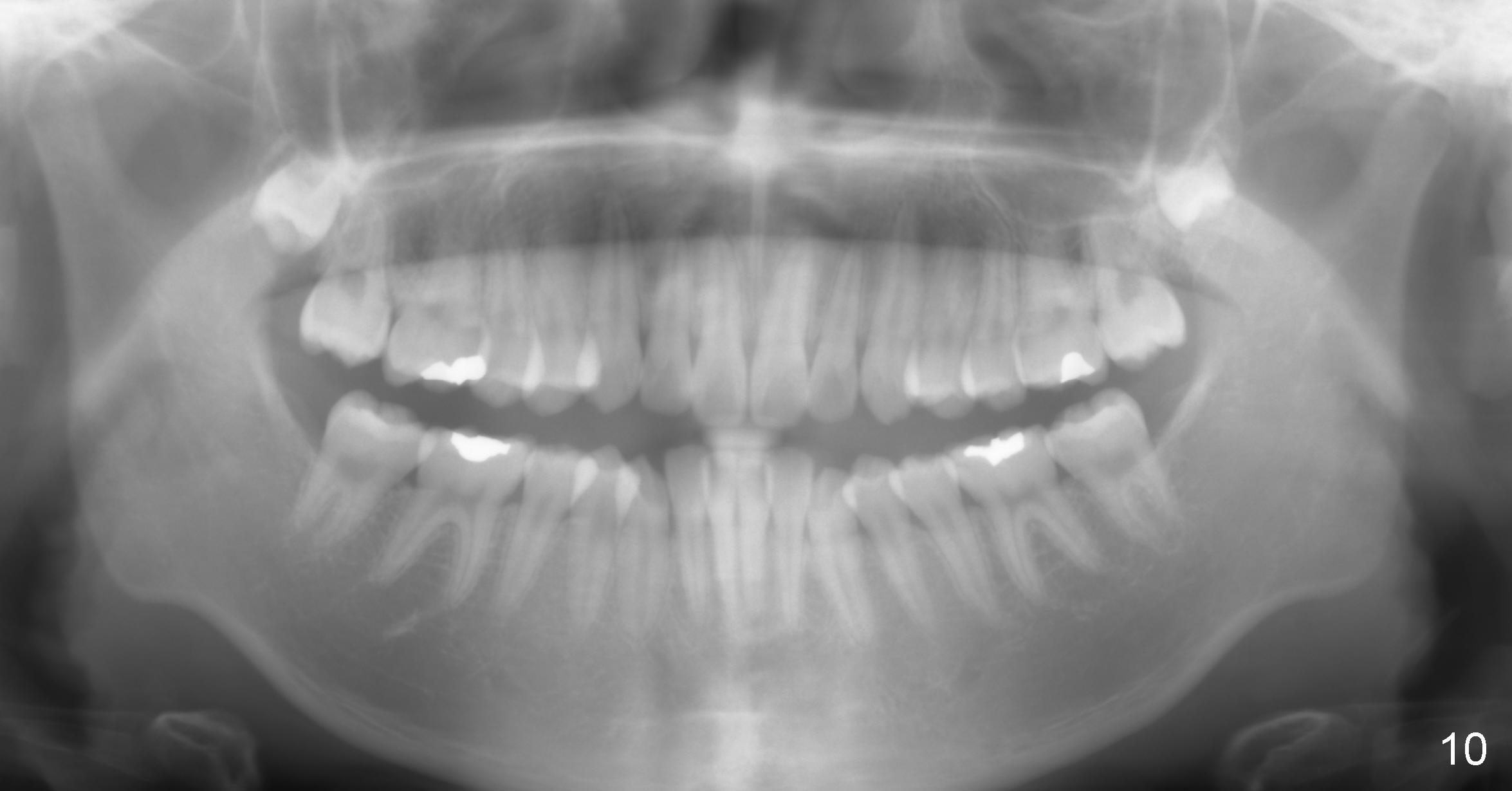
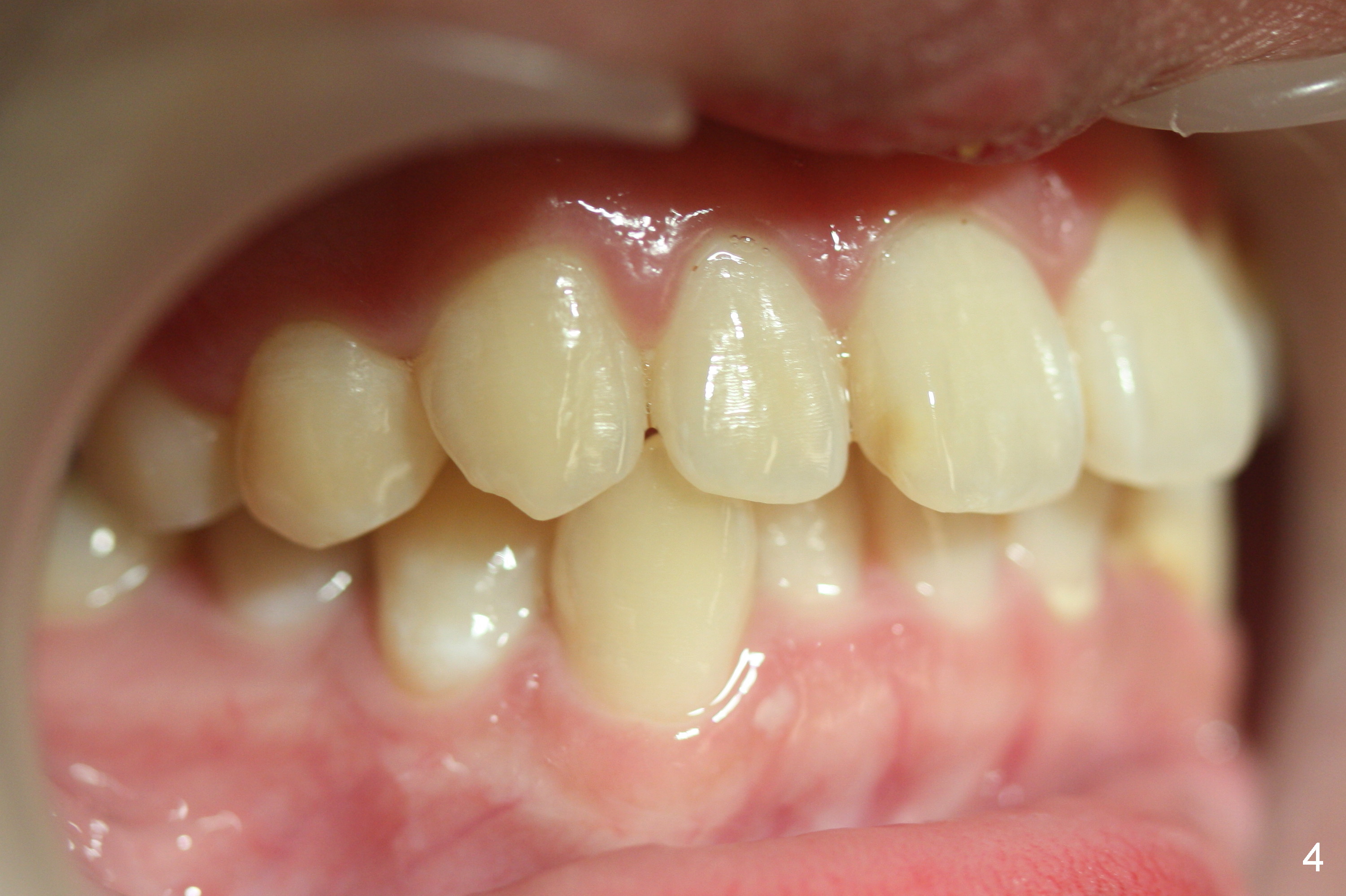
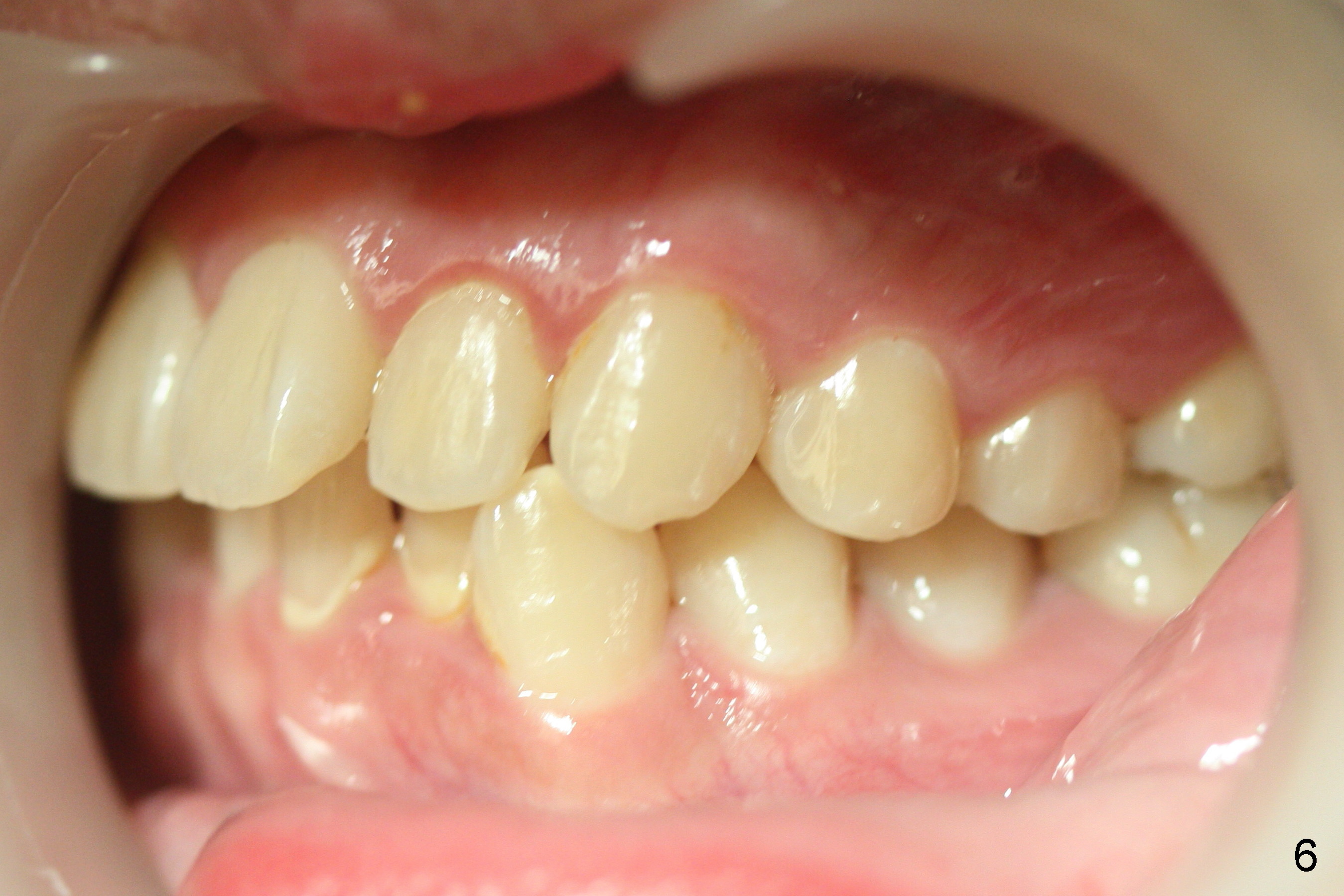
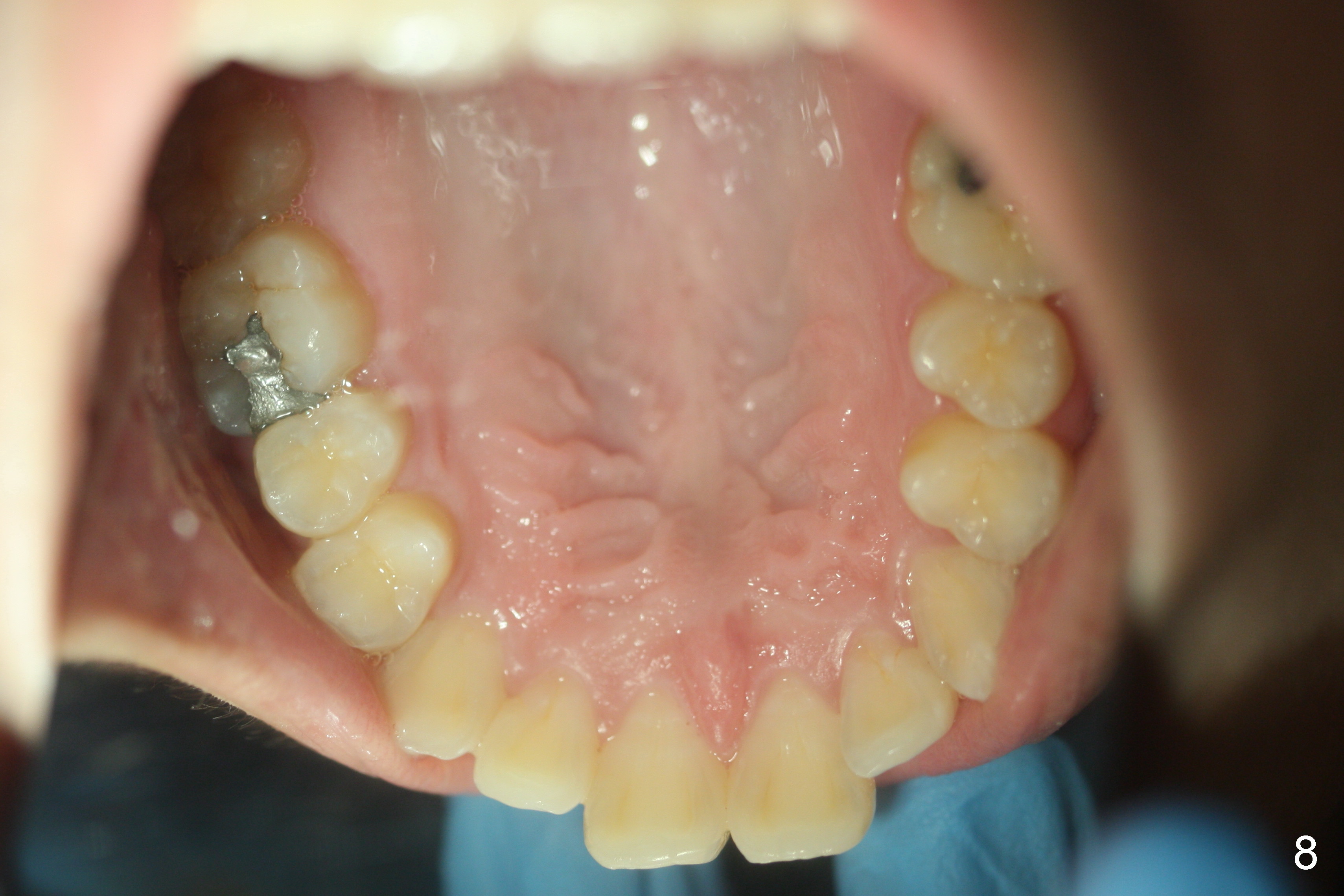
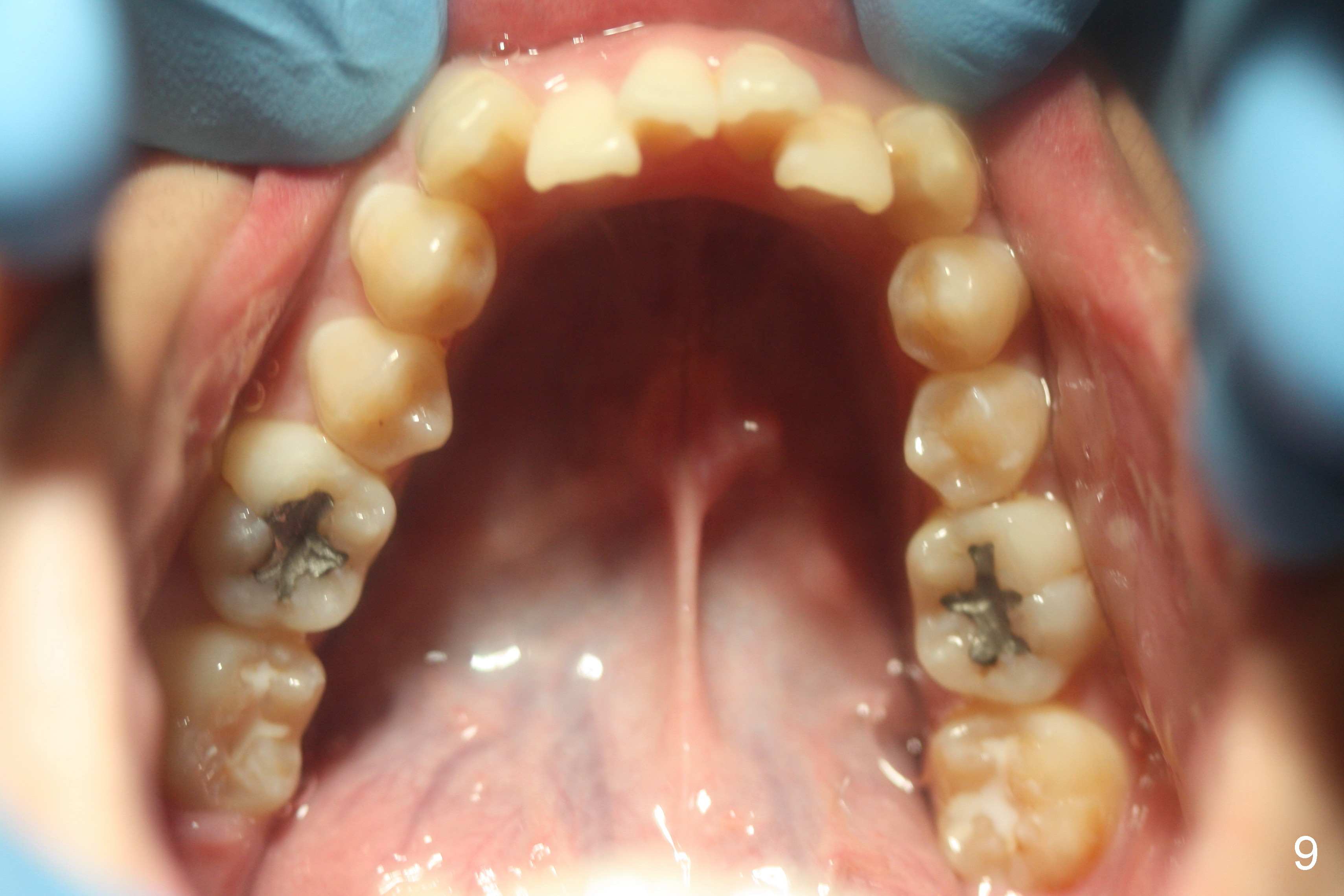
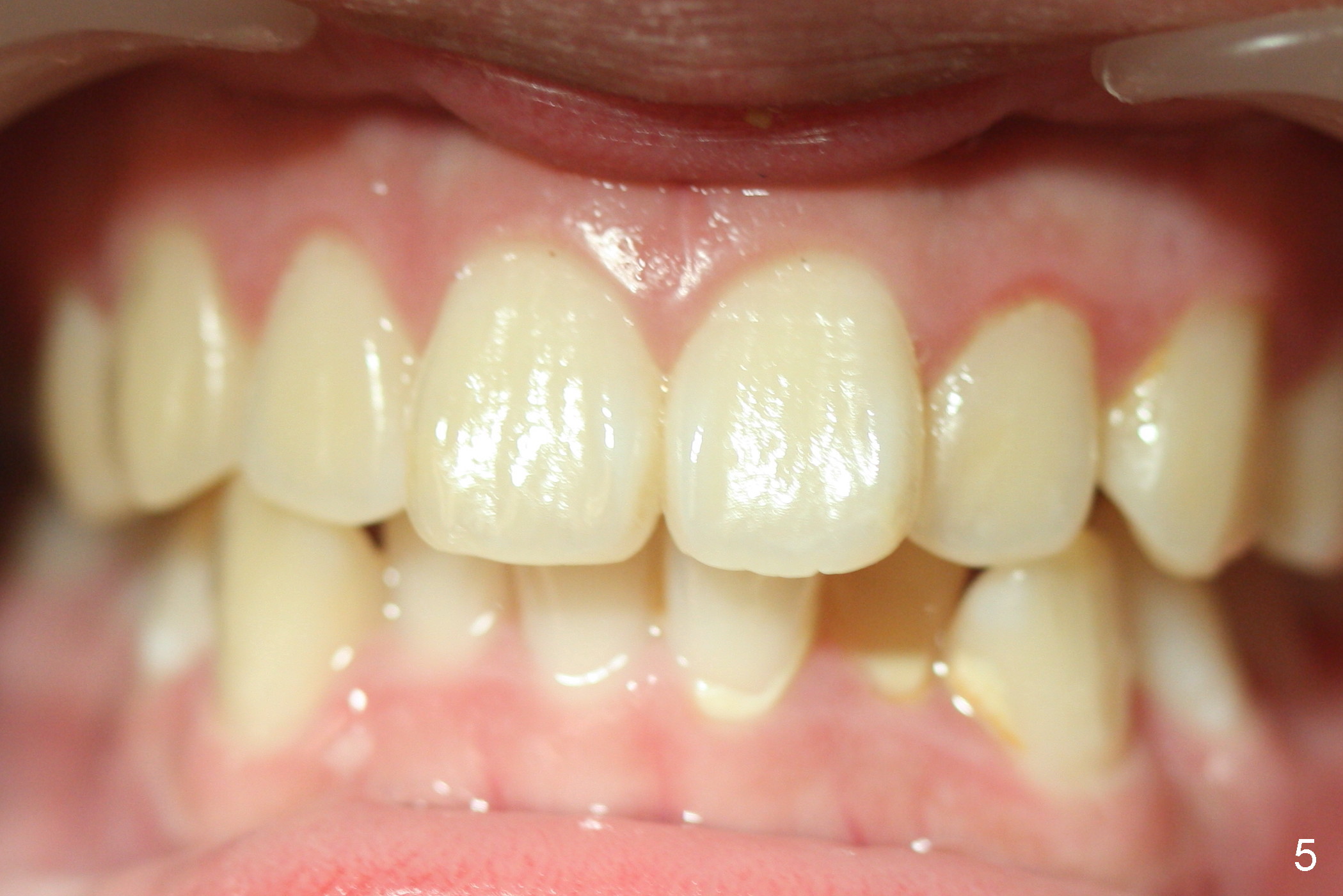
HLD Index Score

A 15-year-old man wants to improve the facial appearance.

Return to Ortho Cases

Xin Wei, DDS, PhD, MS 1st edition 02/27/2017, last revision 09/09/2018