![]() |
![]() |
![]() ![]() |
![]() |
![]() |
![]() |
![]() |
|
![]() |
![]() |
![]() |
|
Protrusive Lips, Narrow Arches
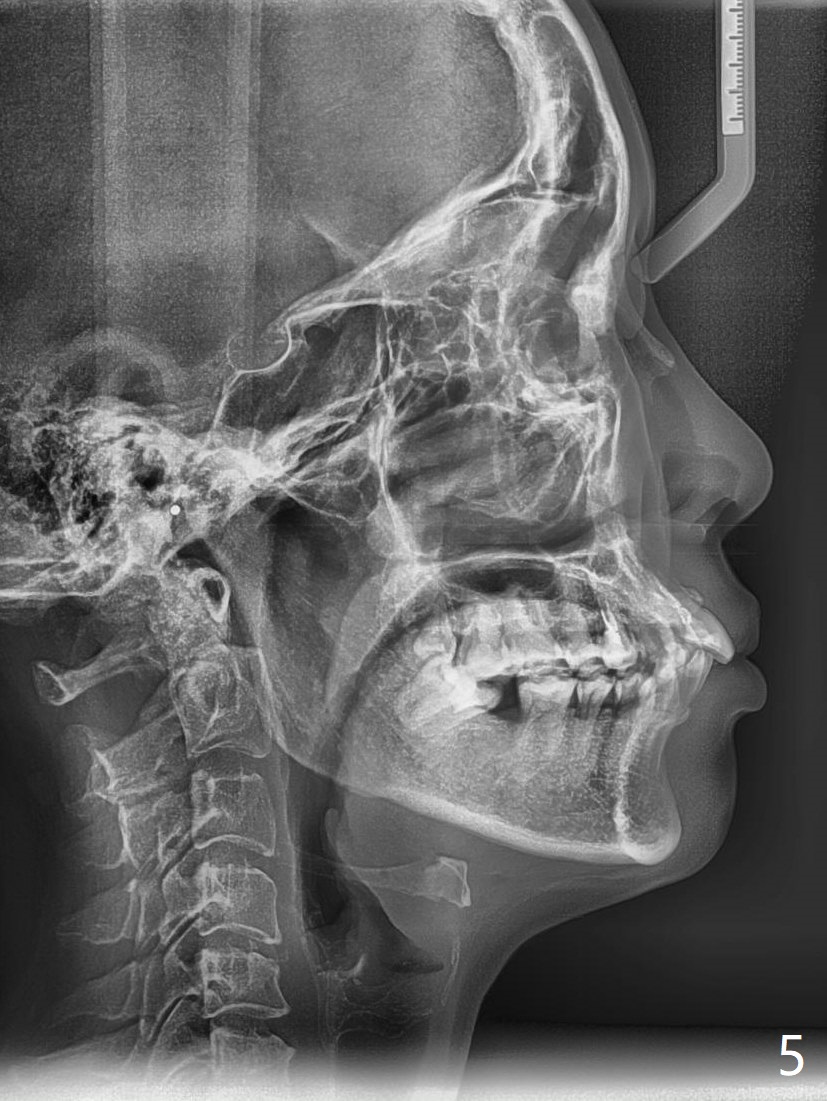
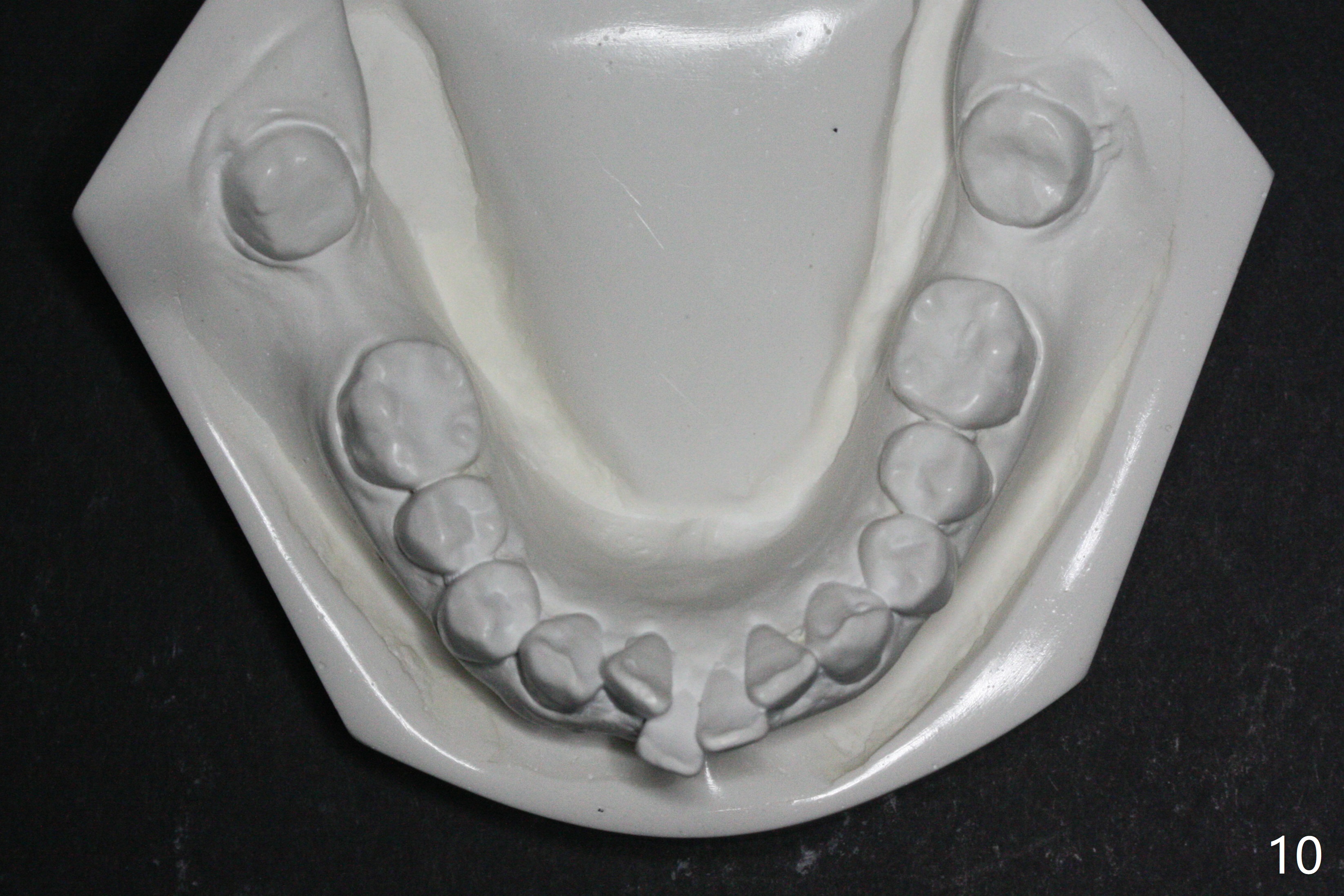
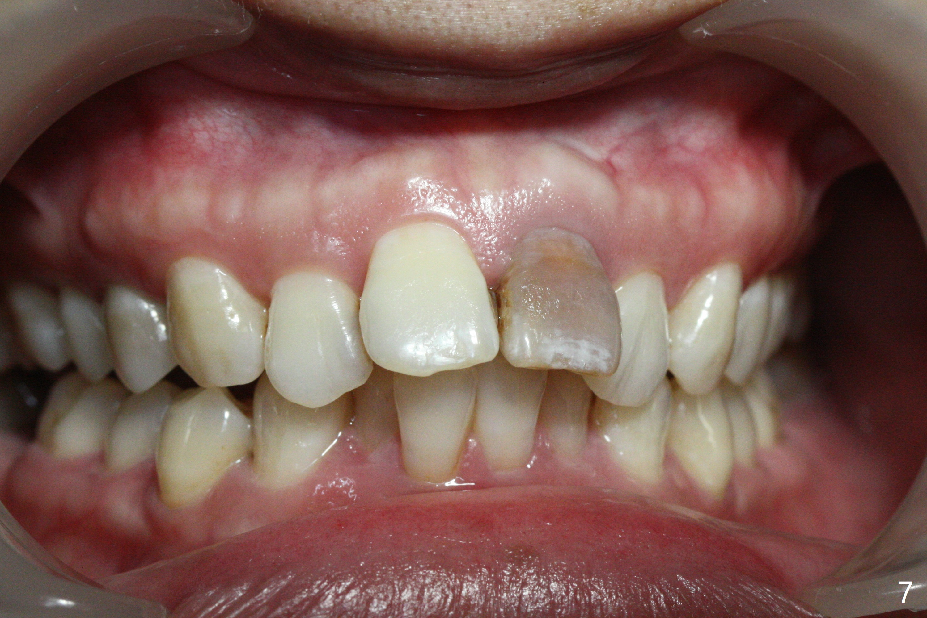
A 41-year-old woman requests ortho, bleach and replacement of 2 lower molars (L7s). The lips are protrusive (Fig.1,3), which is seemingly due to the underlying protrusive anterior teeth (Fig.4,5). Cephalometric tracing shows that SNA and SNB are both 87º (Fig.12), suggesting extraction. When the protrusive teeth are distalized, pay attention to move the upper dental midline to the right (Fig.2). BWs show subgingival calculus. SRP is required. Internal bleaching will be conducted for UL1 (Fig.7,11). Distalization is accomplished with extraction of 2 upper 1st bicuspids and using L8s as anchors so that no implants will be necessary for L7s. But the patient would rather have 2 of the lower 2nd molars for mastication. It appears that extraction of 4 bicuspids is pending (Fig.6-11). Supraeruption of U7s (Fig.6,8 arrows) will be corrected with banding.
Xin Wei, DDS, PhD, MS 1st Version 03/15/2018, Last Update 06/12/2018