![]() |
![]() |
![]() |
![]() |
Internal and External Bleaching
Prior to Ortho
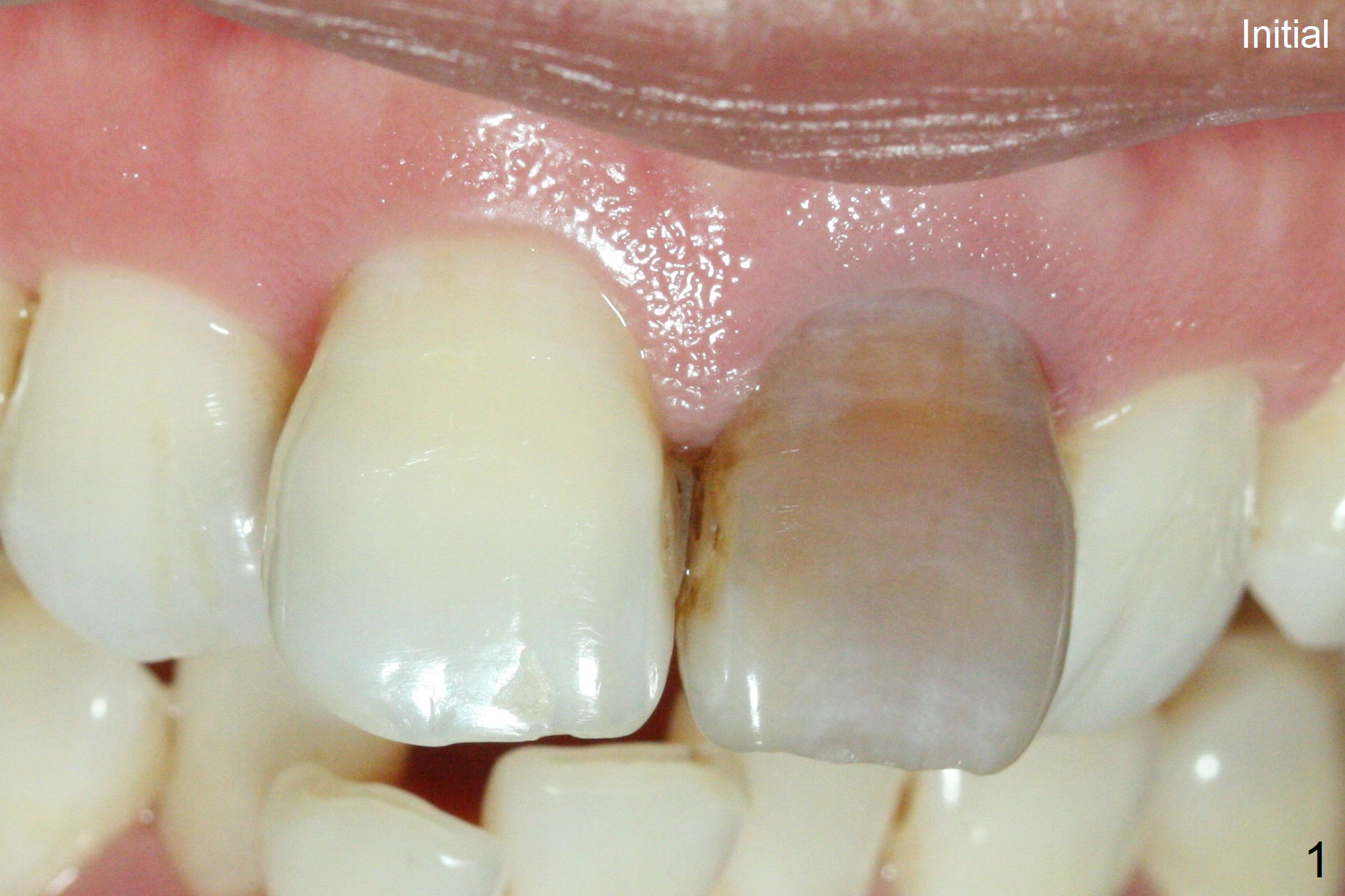
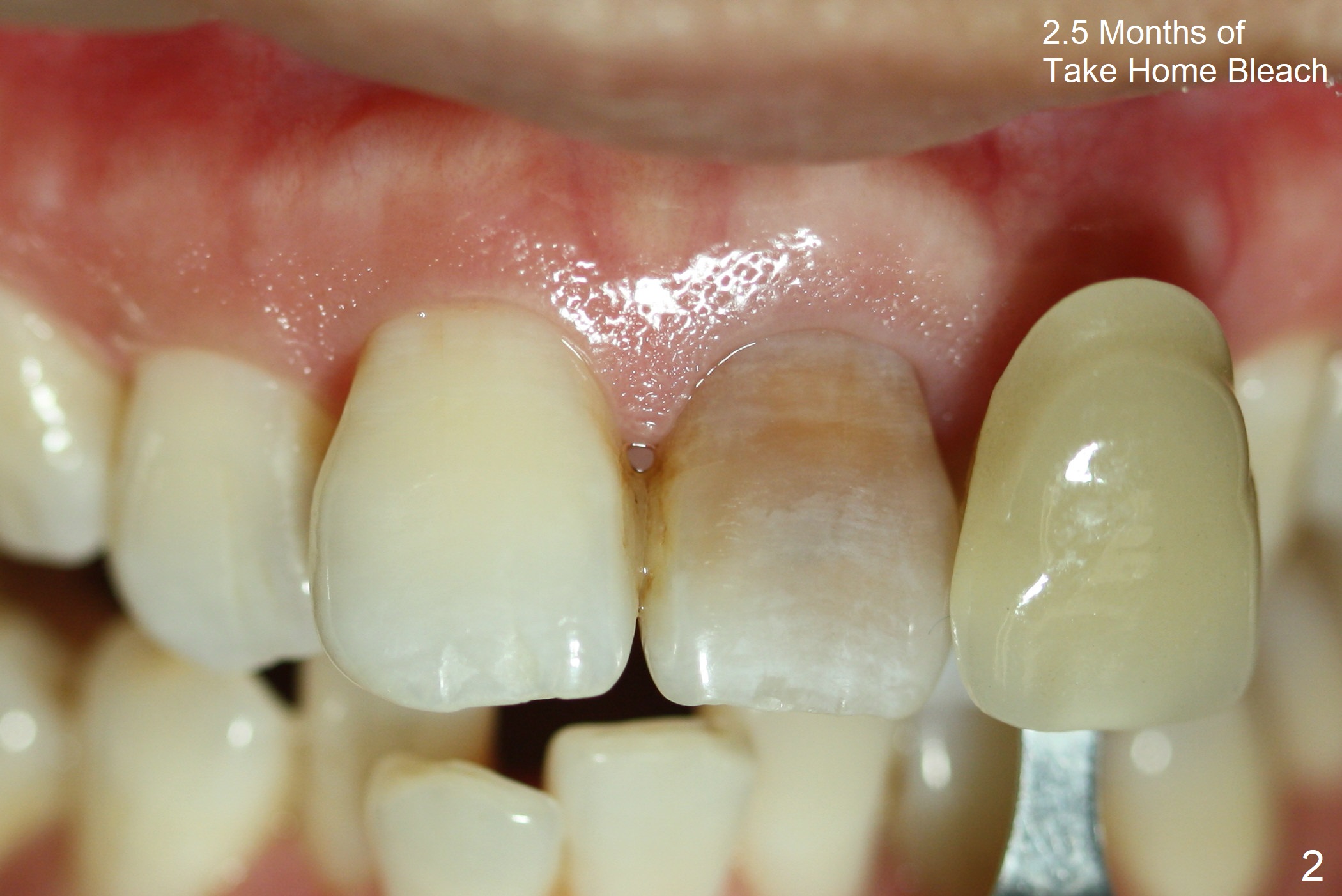
After creation of lingual access, the affected tooth (#9, Fig.1) receives take home internal and external bleaching for 2.5 months with improvement of the shade in the lower portion of the tooth (Fig.2). Using Total Blanc gel for 3 times with gingival barrier, the shade improves further (Fig.3). Fig.4 is taken after extra light flowable composite.
Return to
Ortho Cases
Xin Wei, DDS, PhD, MS 1st edition 06/12/2018, last revision 06/12/2018