![]() |
![]() |
![]() |
![]() |
![]() |
![]() |
![]() |
![]() |
![]() |
![]() |
![]() |
|
![]() |
![]() |
![]() |
![]() |
![]() |
|
![]() |
![]() |
![]() |
![]() |
![]() |
|
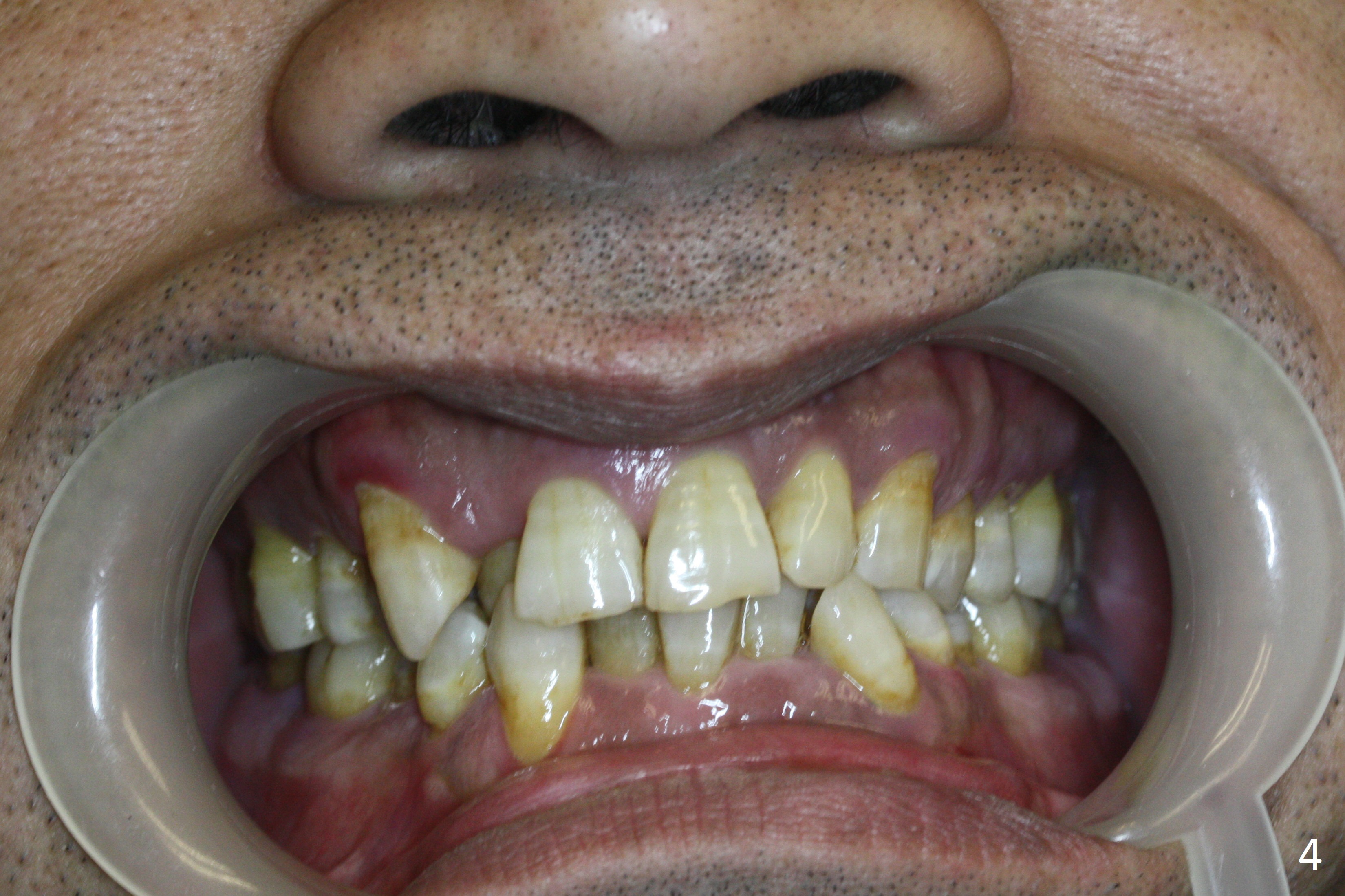
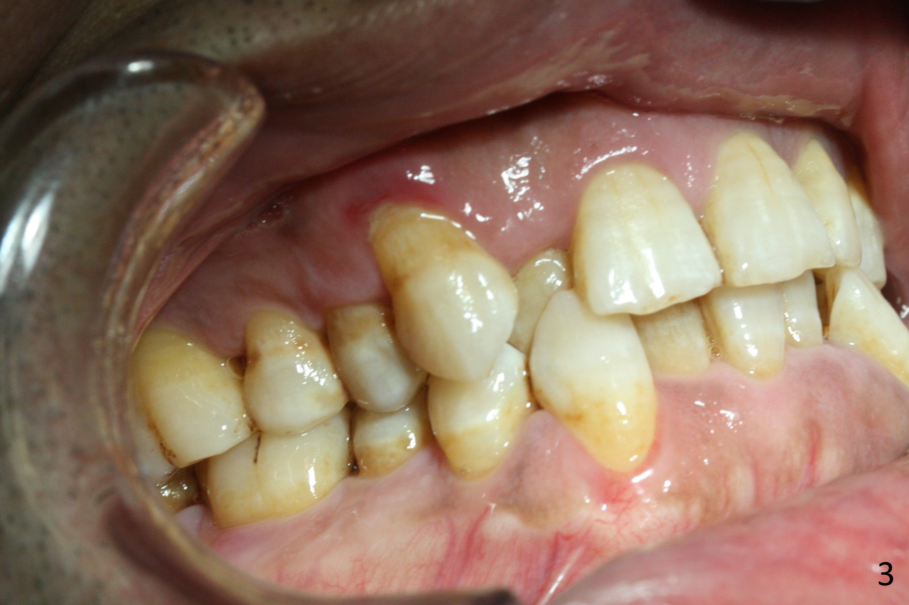
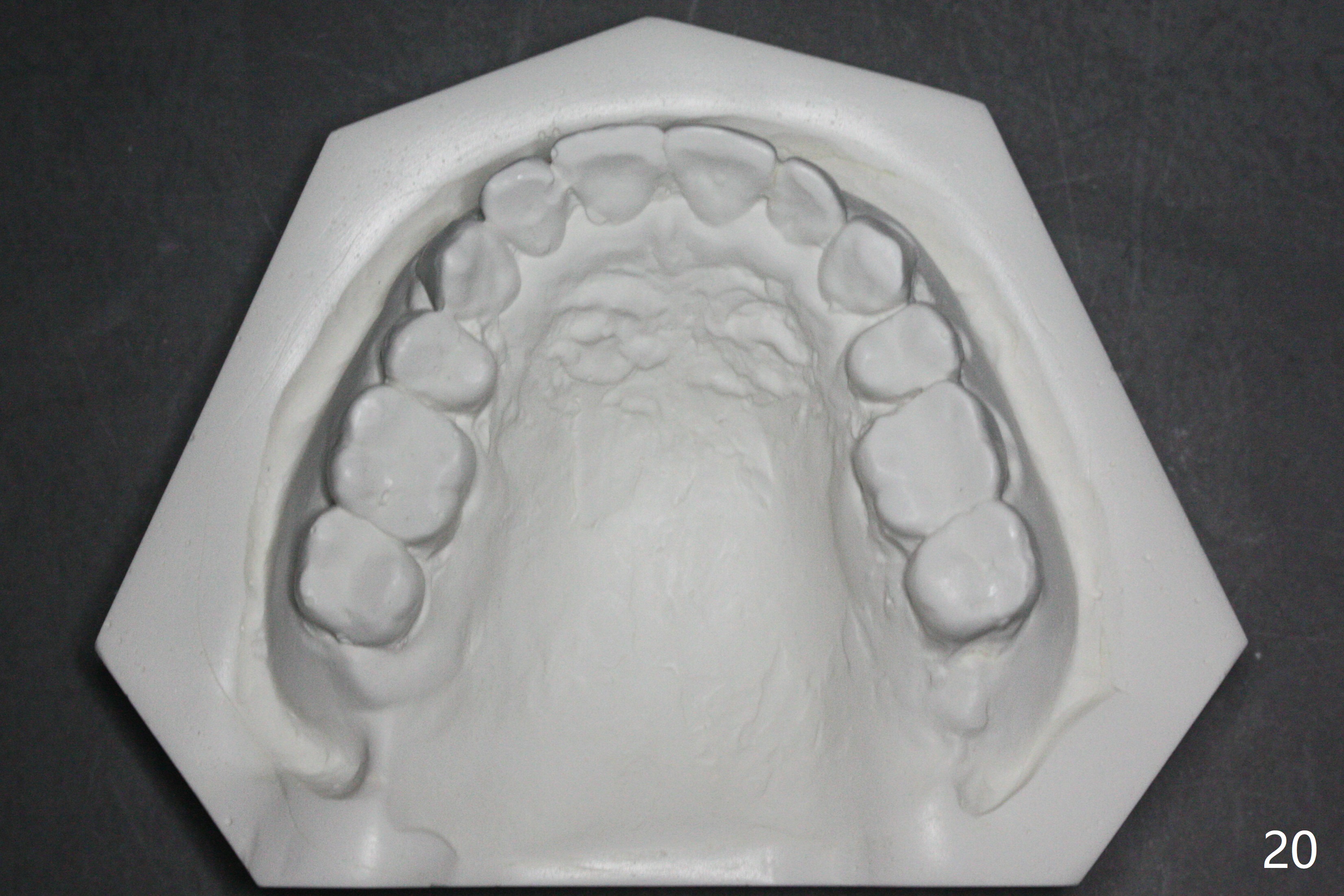
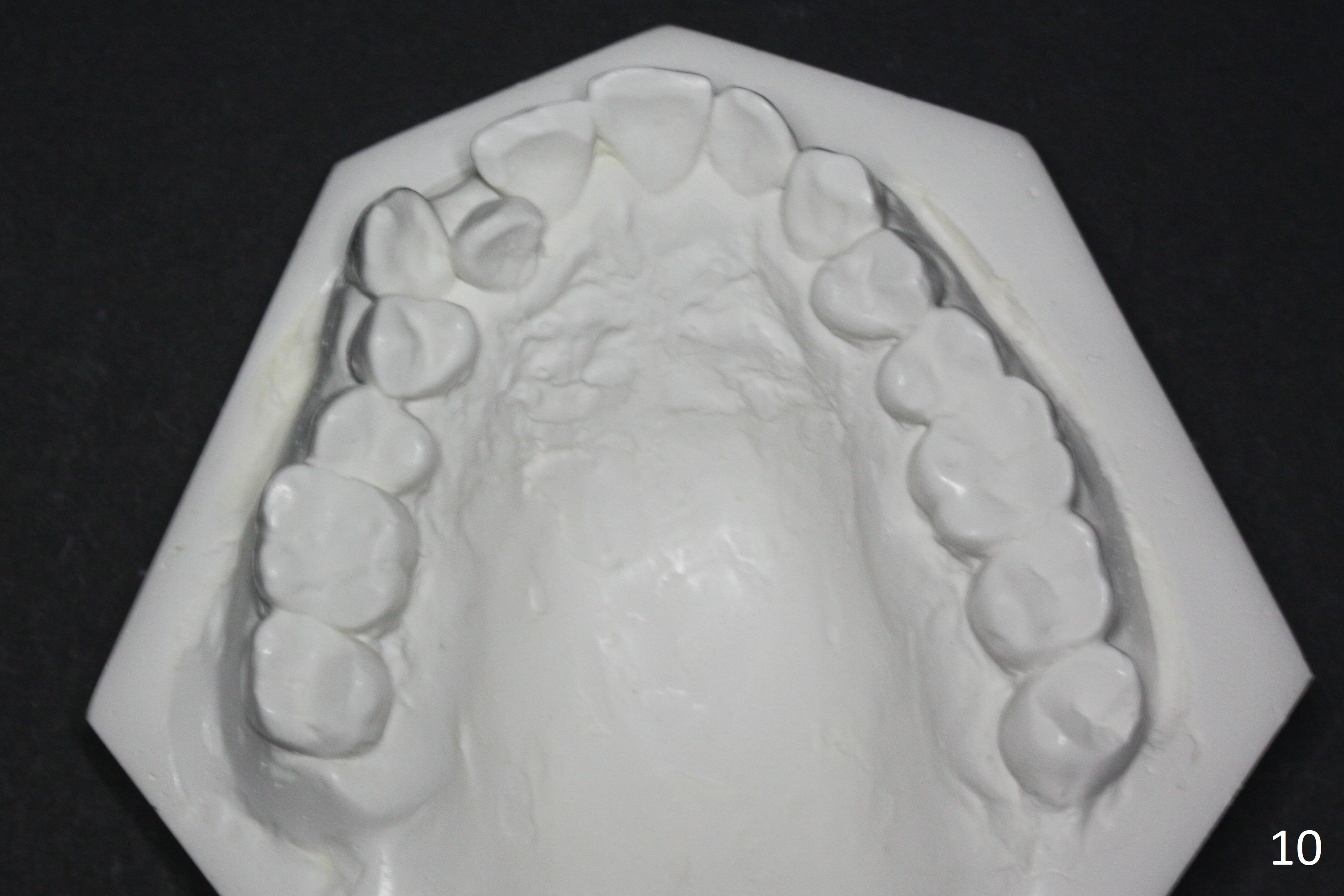
Enough Space For Crowding After Extraction? A 47-year-old man requests orthodontic treatment following SRP in other office (Fig.1-11). For severe crowding and midline shifting, extraction of four of the 1st bicuspids is imminent. Is it enough? To answer the question, model surgery is performed (Fig.12-16). 1st visit: periodontal maintenance, orthodontic consent (emphasizing oral hygiene) extract 4s and possibly L8s and separators. The beauty of this vist is that after local anesthesia and extraction including L8s, it is painless and easy to remove calculus from the proximal surfaces of the neighboring teeth. It is much easier to place separators after extraction. It is expected that there is no gingival erythema when the patient returns for bracketing. Take photos of UR3, similar to Fig.3. Molar banding is also anticipated to be easy with separator placement after extraction. Return to Ortho Cases Xin Wei, DDS, PhD, MS 1st edition 11/23/2017, last revision 04/28/2019