![]() |
![]() |
|
![]() |
![]() |
Happy Journey
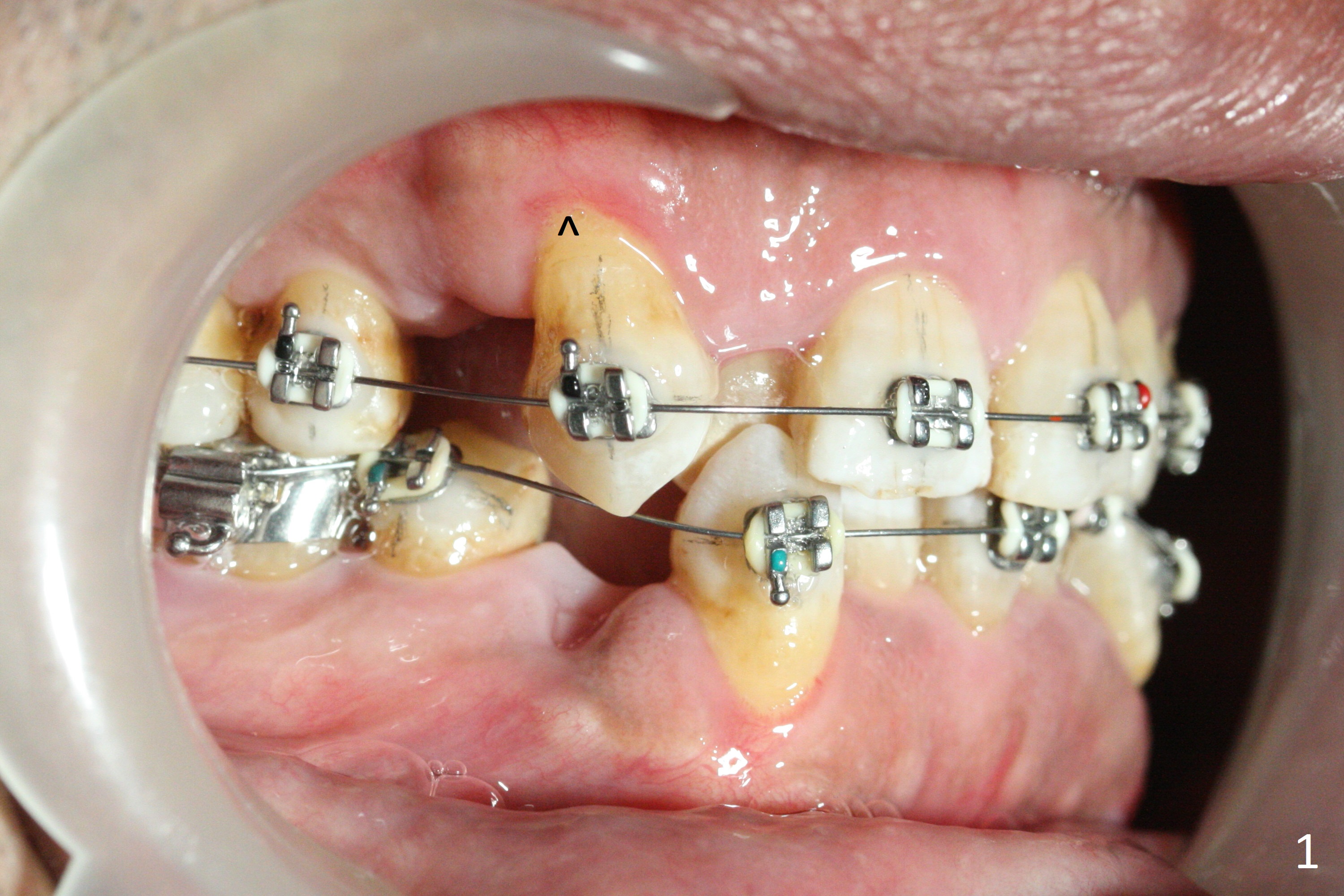
A few days post Water Pik use, the gingival erythema subsides substantially, a sign of cooperation (Fig.1 ^, as compared to earlier). Because of tight contact and loss of rubber separators due to use of water flosser, molar brackets have to be used except LR (Fig.1-3). There is enough space for UR2 bracket 5.5 months post banding. While keeping open and closed springs at UR, place sling shot for UR2. There are 2 purposes. One is to keep expanding the space for UR2, since the sling-shot tends to close the space. The second rationale is to continue mesializing UR1 to correct the upper midline deviation.
While LL3 has been distalized, there is not enough space to buccalize LL2. Extra space will be gained by continuing distalizing LR3. Consider using 7s instead of 6s as anchorage for closed springs for all of the 4 quadrants.
The treatment lasts 1 years 4 months (Fig.4).
Return to Ortho Cases
Xin Wei, DDS, PhD, MS 1st edition 12/07/2017, last revision 04/27/2019