![]() |
![]() |
![]() |
![]() |
![]() |
|
Roller Coaster
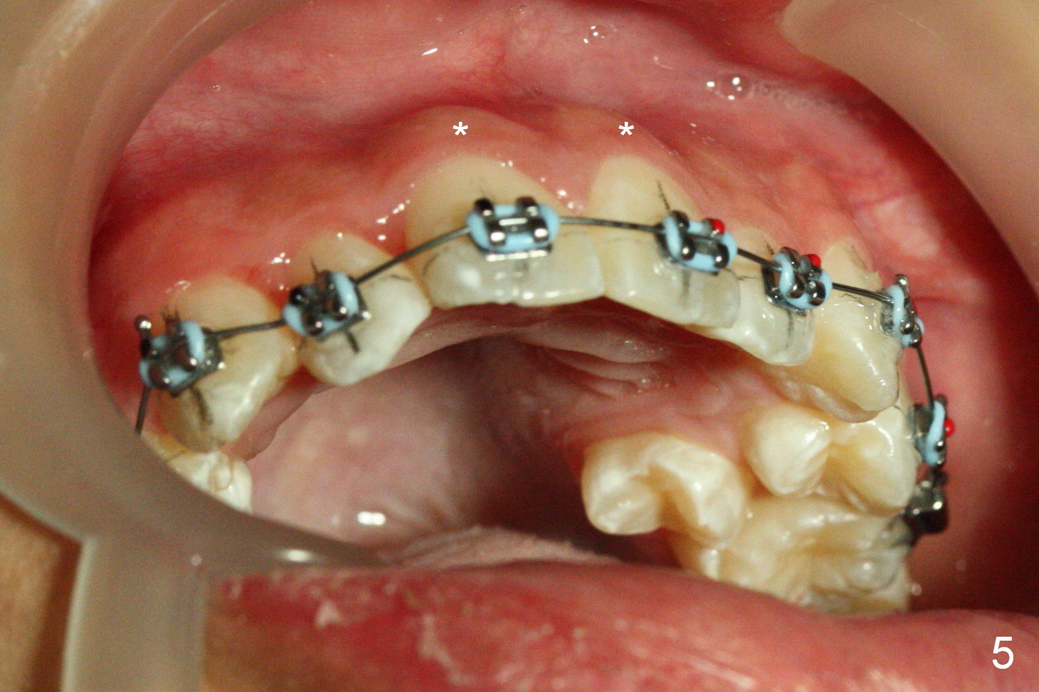
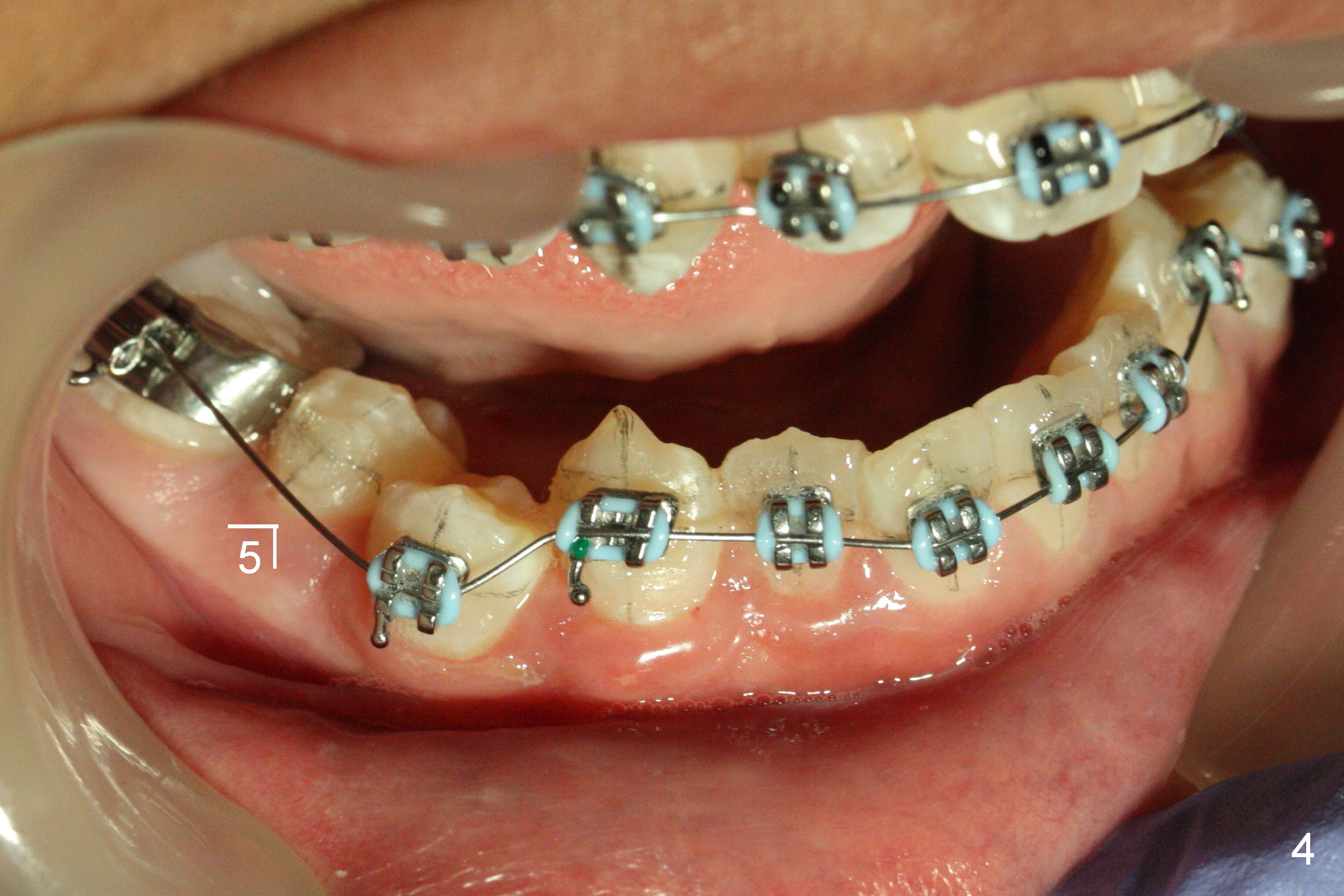
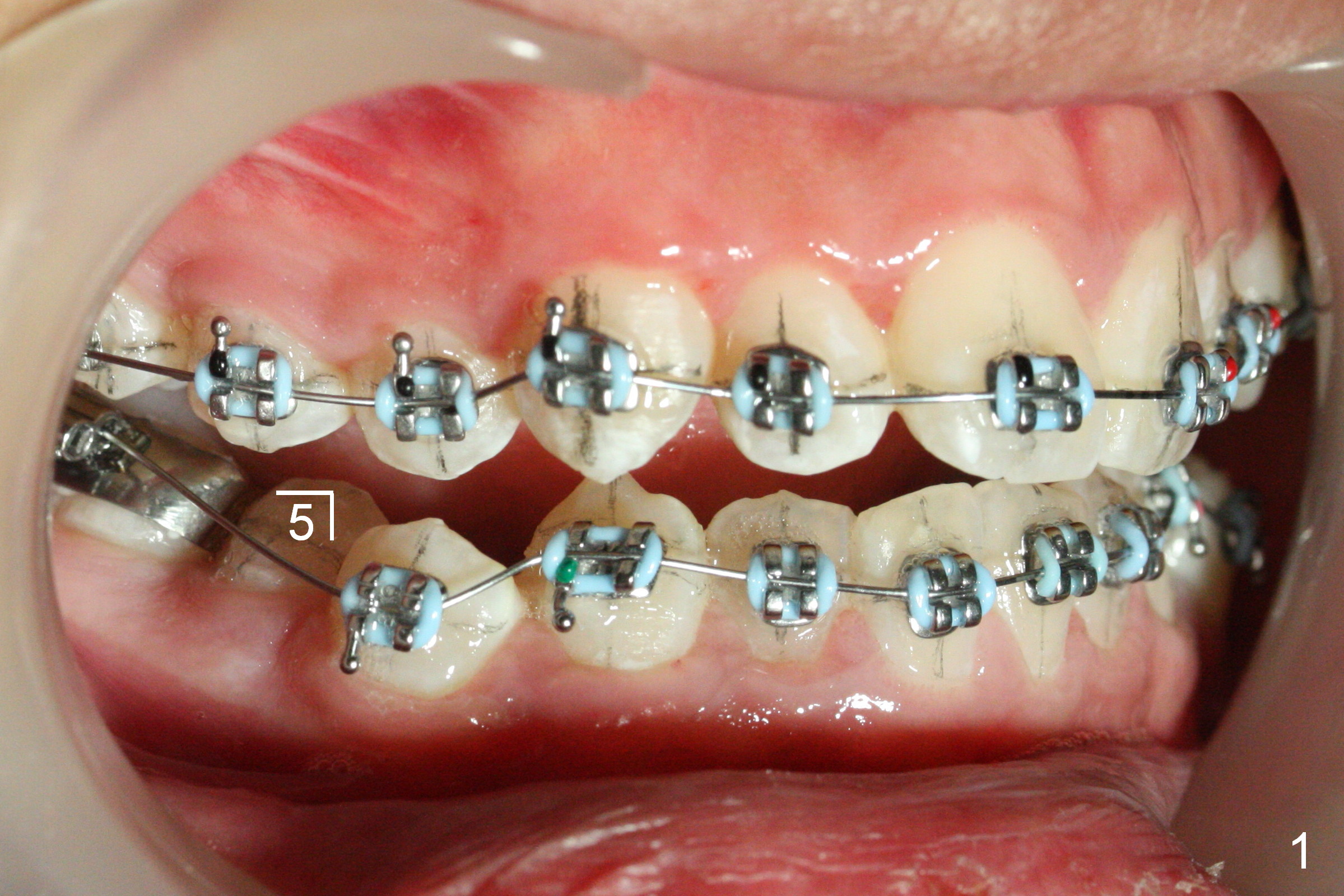
The patient's oral hygiene improves prior to banding. Initially we decide to not place bracket at LR4 (because of being severely buccally displaced). When .014' niti wire is being loaded, the bracket at LR5 is debonded (Fig.1,4). Dental midline mismatch (Fig.2 black lines) and severe crowding (roller coaster of the arch wires, Fig.1-5) are evident. Composite is placed at L6s, because of lingual inclination of these molars (the opposing teeth biting the buccal tube of L6 bands). It is hoped that arch expansion will not exacerbate root prominence (Fig.5 *).
Since the crowding is so severe, a technique called amda (advanced molar distalization appliance, http://www.dentaurum.de/eng/produkt-28137.aspx, http://www.dentaurum.de/eng/adma-start-set-28187.aspx) will be used with a new version of Tomas mini-implant (EP, http://www.dentaurum.de/eng/tomas-28319.aspx).
Return to
Ortho Cases
Xin Wei, DDS, PhD, MS 1st edition 10/11/2016, last revision 11/06/2016