Crowding & Facial Profile

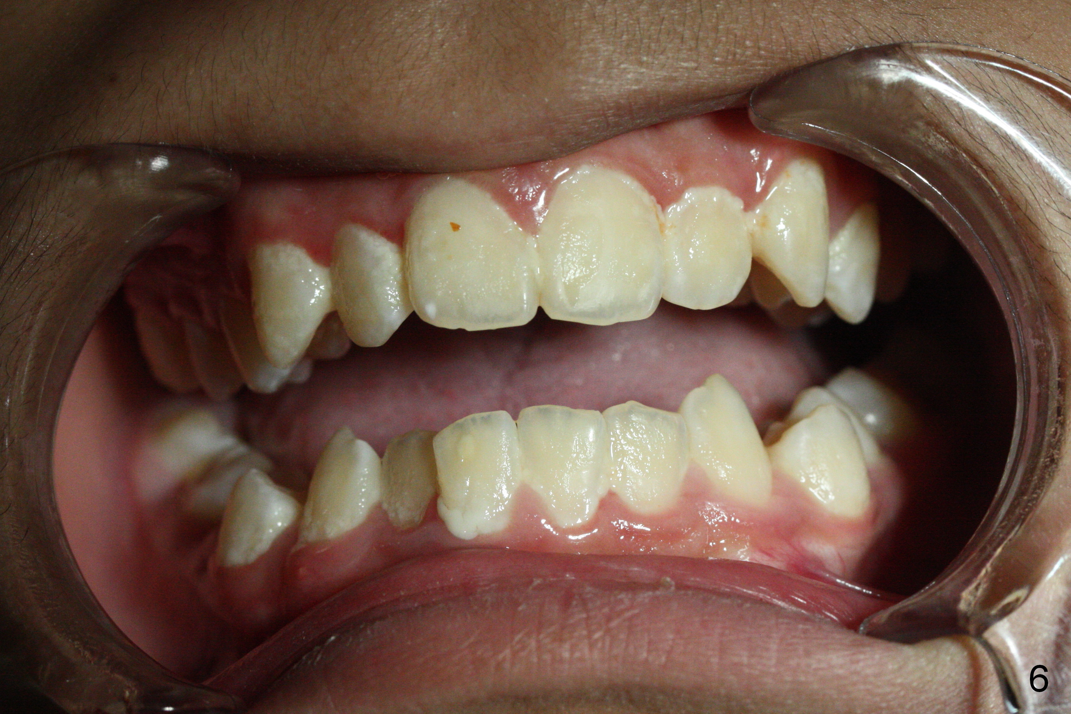
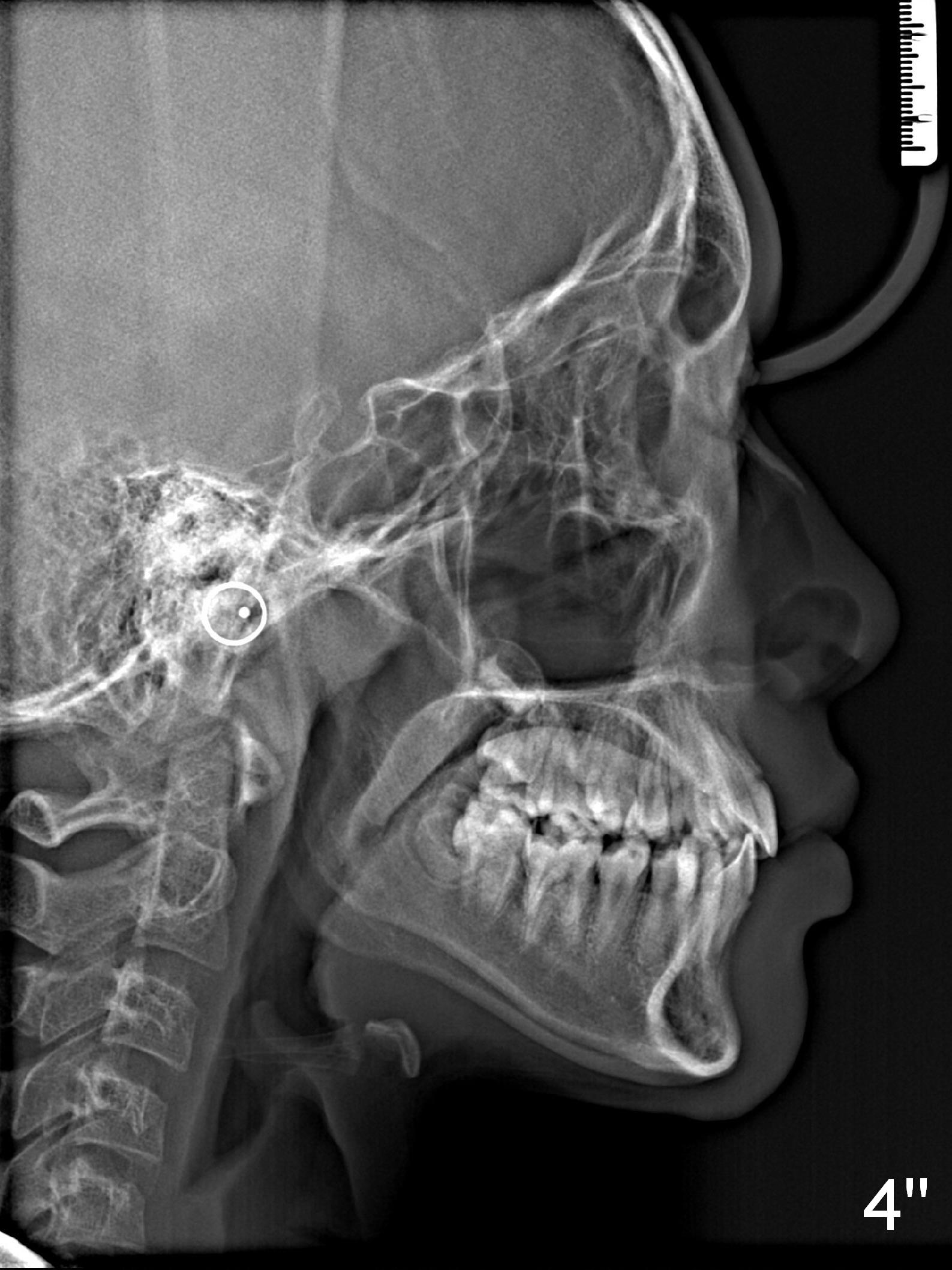
A 13-year-old man's malocclusion has two major components: upper midline deviation (Fig.2,5) and severe crowding (Fig.2,5-7).  His mother resists extraction, in spite of facial profile analysis (Fig.4,4').  A second obstacle to orthodontic treatment is his poor oral hygiene (Fig.5-7).  Before prophylaxis on Monday, can we decide together whether his oral hygiene has been improved drastically over the weekend?  If not, banding and bracketing will be canceled on Tuesday.

The advantage of extraction is that there is an opportunity to move the upper deviated midline to the right when UR4 space is available.

In addition to compromise of the facial profile, orthodontic treatment without extraction will move the roots of the anterior teeth out of their supporting alveolus.  There will be higher chance of the buccal gingival recession when he grows older.  Explain the above to his mother in layman's term.

If there is an indication for orthodontic treatment, analyze the models, draw lines and choose proper size of bands on one side.  Everyone, please write down the reason that there is no need to choose bands for the right and left sides and reply to me as soon as possible.

Answer from Jenny: We choose one side bands only because our left and right teeth are symmetrical to each other. Once we find right size bands for one side in patient's mouth, the other side most likely will be the same. So we don't have to try three size bigger bands on the other side again. 

Return to Ortho Cases Banding

Xin Wei, DDS, PhD, MS 1st edition 10/09/2016, last revision 10/11/2016