![]() |
![]() |
|
![]() |
Deep Bite Ignored Preop
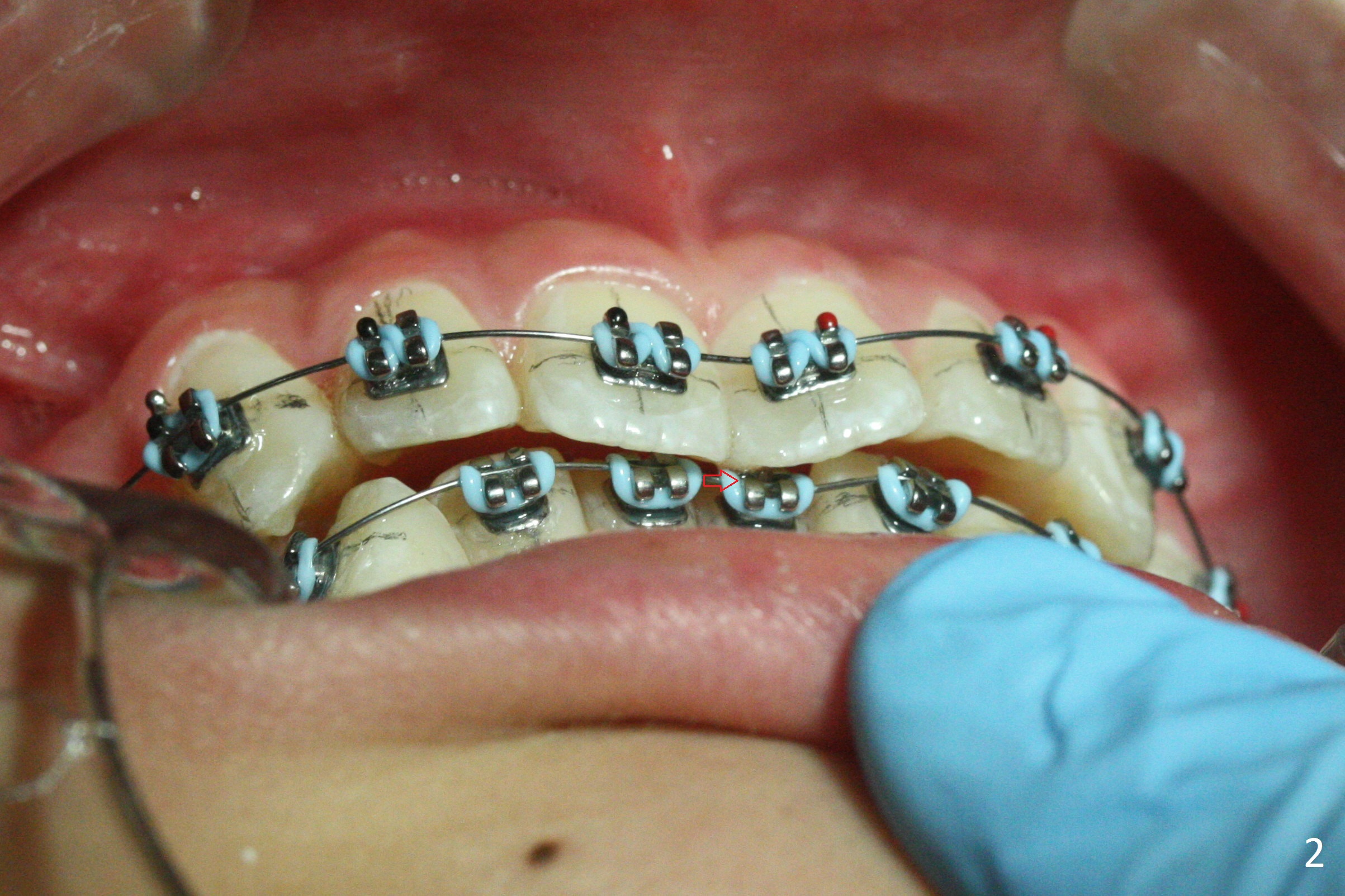
When banding and bracketing is finished, extrusion of the upper central incisors is noted (Fig.1). The bracket in the LL1 is contacted by the opposing tooth. After occlusal adjustment, the patient is able to close (Fig.2 arrow). If the deep bite and the rotation of the U1s were found preop (Fig4), bracketing were done for the upper arch first.
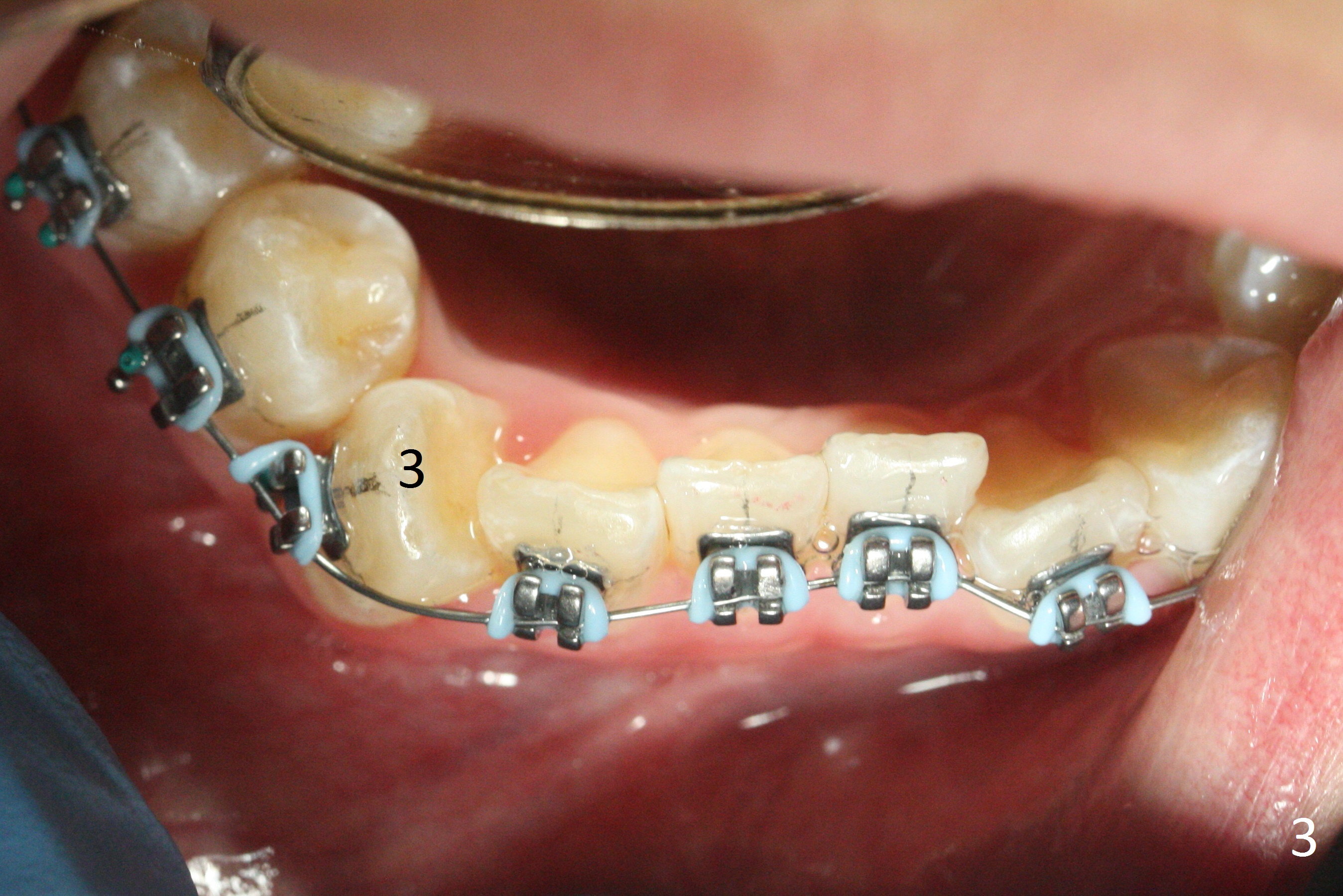
Rotation of LR3 is severe (Fig.3). Before changing to the next wire each time, check the tension and adaptation of the wire. Since LL7 is incompletely erupted, banding is done initially. Place a bracket before changing to 14 niti wire.
Return to
Ortho Cases
Xin Wei, DDS, PhD, MS 1st edition 06/08/2017, last revision 05/06/2018