| 06/02/2017 (12 y/o) | 04/28/2018 (13 y/o) |
![]() |
![]() |
![]() |
![]() |
![]() |
![]() |
![]() |
![]() |
![]() |
![]() |
Impression Before Debanding
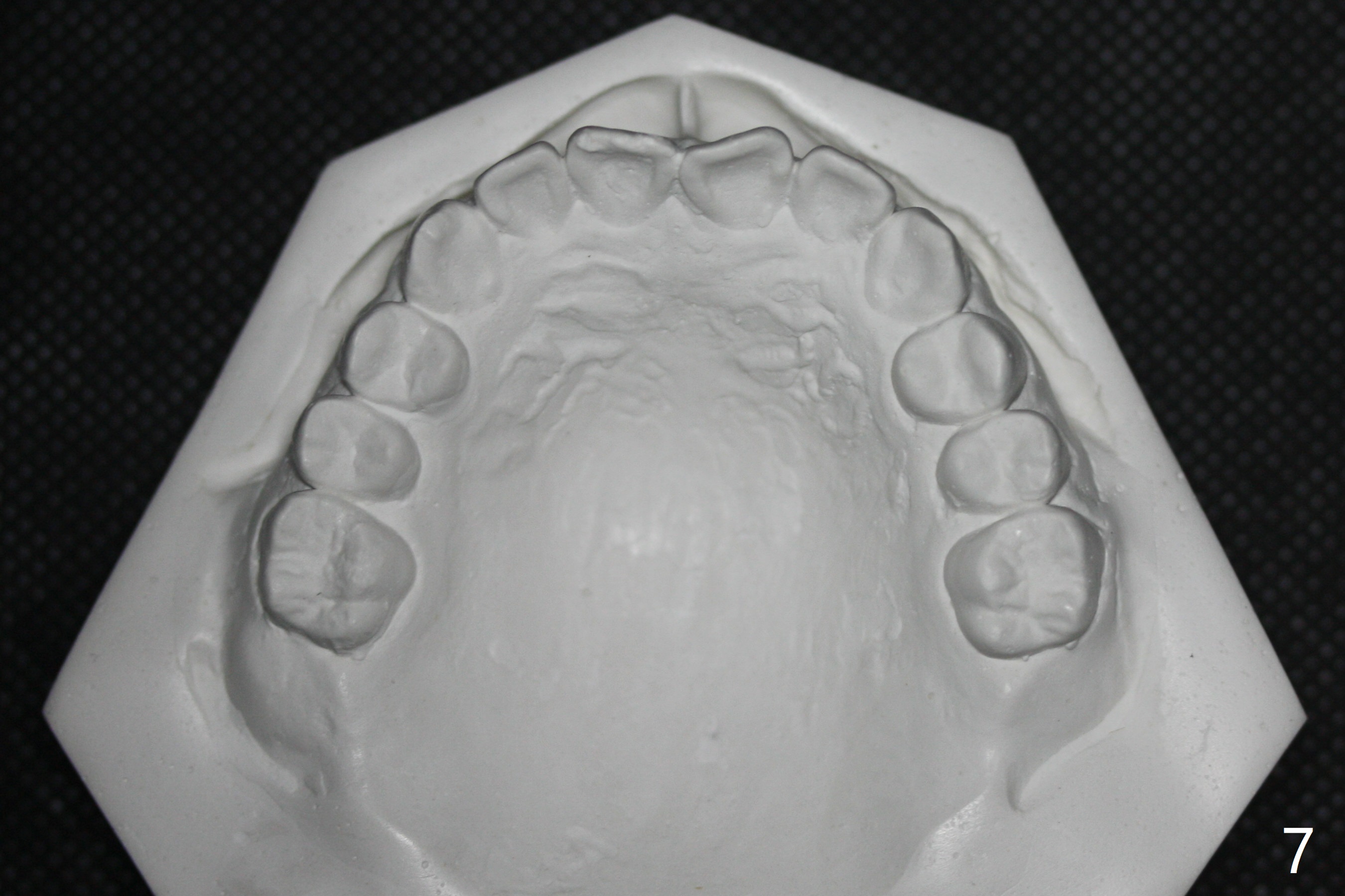
This case appears to start ortho early. It would be better to wait until U7s erupt (Fig.3,5,7). Male develops late. His young brother is going to have ortho. Cross bite could be corrected if it exists. For non-extraction cases, Class II retraction should be carried out to change the upper midline (Fig.2) and correct Class II malocclusion (having better interdigitation, Fig.5,6). Before changing to the segmental wires, take Alginate impression and mount.
Return to
Ortho Cases
Xin Wei, DDS, PhD, MS 1st edition 05/06/2018, last revision 05/06/2018