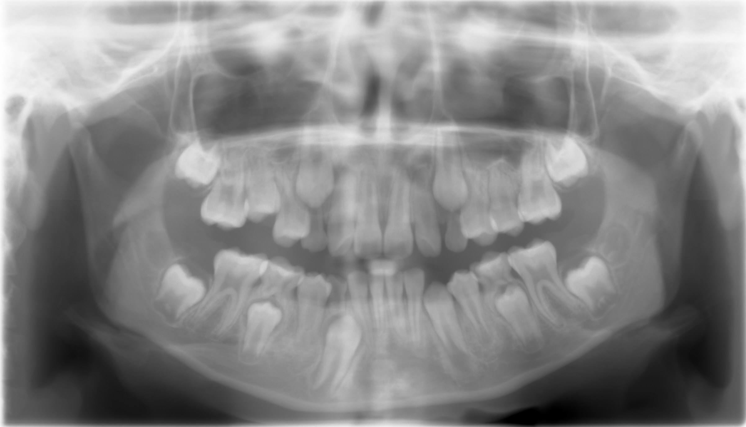
A 10-year-old boy has had Class II Division II malocclusion (Fig.1 impression taken 1 year earlier).

Panoramic X-ray (below) was taken 2 months ago.

Orthodontic Extrusion

Xin Wei, DDS, PhD, MS 1st edition 06/03/2017, last revision 06/03/2017