![]() |
![]() |
![]() |
![]() |
![]() |
![]() |
![]() |
![]() |
![]() |
Orthodontic Extrusion
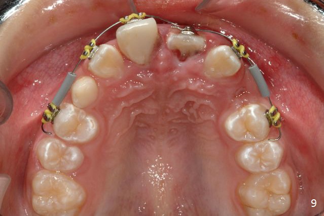
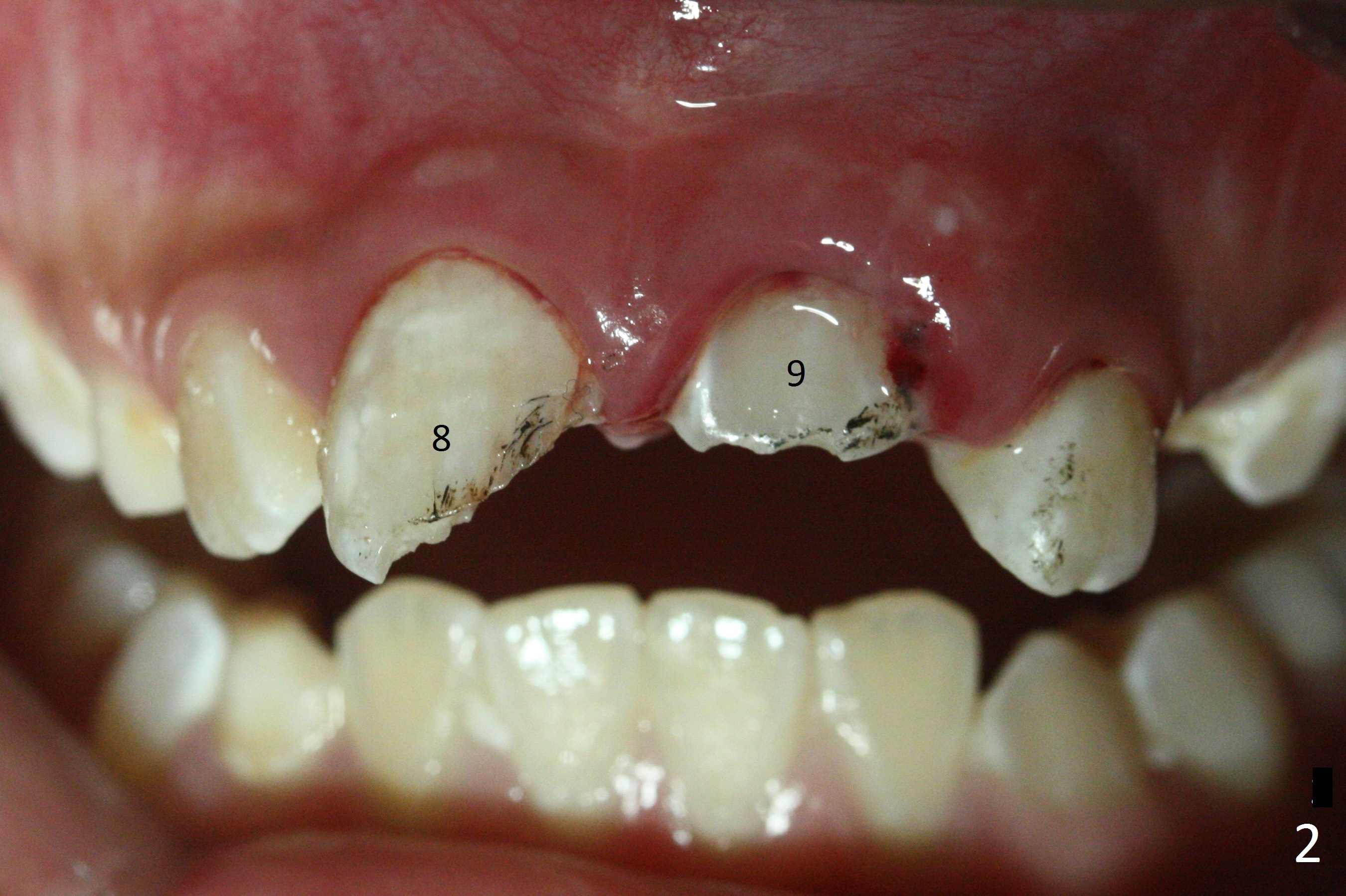
A 10-year-old boy has had Class II Division II malocclusion (Fig.1 impression taken 1 year earlier). He is brought to clinic the 2nd day after a bike accident. The tooth #8 fractures (Fig.2-4) with mesial pulpal horn exposure (Fig.3 *, while #9 intrudes. After debridement of the affected teeth (Fig.5), the exposed pulpal tissue is resected (partial pulpotomy to keep the tooth vital to finish root and apex development) and the pulpal horn is filled by MTA at #8 (Fig.6 *). The tooth #8 is restored with composite (Fig.7 C). Forceps fail to extrude the tooth #9. His parents are reluctant to accept orthodontic extrusion, which is accomplished by Dr. Shaughnessy 2 days later (Fig.8,9). The patient will leave for China in 2 days and will return in a month.
Pulpal test will be conducted for the affected teeth periodically. Complete pulpectomy will be performed with application of MTA or Calcium Hydroxide to prevent root resorption.
Xin Wei, DDS, PhD, MS 1st edition 06/03/2017, last revision 01/19/2018