![]() |
![]() |
![]() |
![]() |
![]() |
![]() |
![]() |
![]() |
||
![]() |
![]() |
![]() |
||
![]() |
![]() |
![]() |
||
![]() |
![]() |
![]() |
||
![]() |
![]() |
|||
Block-out Canines and Lateral: Non-Extraction Ortho
A 11-year-old man (Fig.1-4) has block out upper canines (3) and LR lateral incisor (2, Fig.5-8), refusing extraction. Seven months post banding, anterior open bite appears while gaining spaces for U3s (Fig.9) as well as upper anterior tooth protrusion (Fig.10). UR3 starts being dragged into its position 1 year 10 months post banding (Fig.11, 7 months after MDA). Three months later, UR3 is in its position (Fig.12), while UL3 is not (Fig.14). It appears that closure of the upper midline diastema may facilitate UL3 eruption (Fig.13). The cross bite (2 years 3 months post banding, Fig.15) is to be corrected by Class III elastics. Later it is overcorrected. Finally (3 years 6 months post banding), anterior overjet and posterior intedigitation are within normal limit (Fig.17,18), but there is mild open bite (Fig.16). It is corrected by interarch retraction (Fig.17,18). Extraction ortho should be easier and faster.
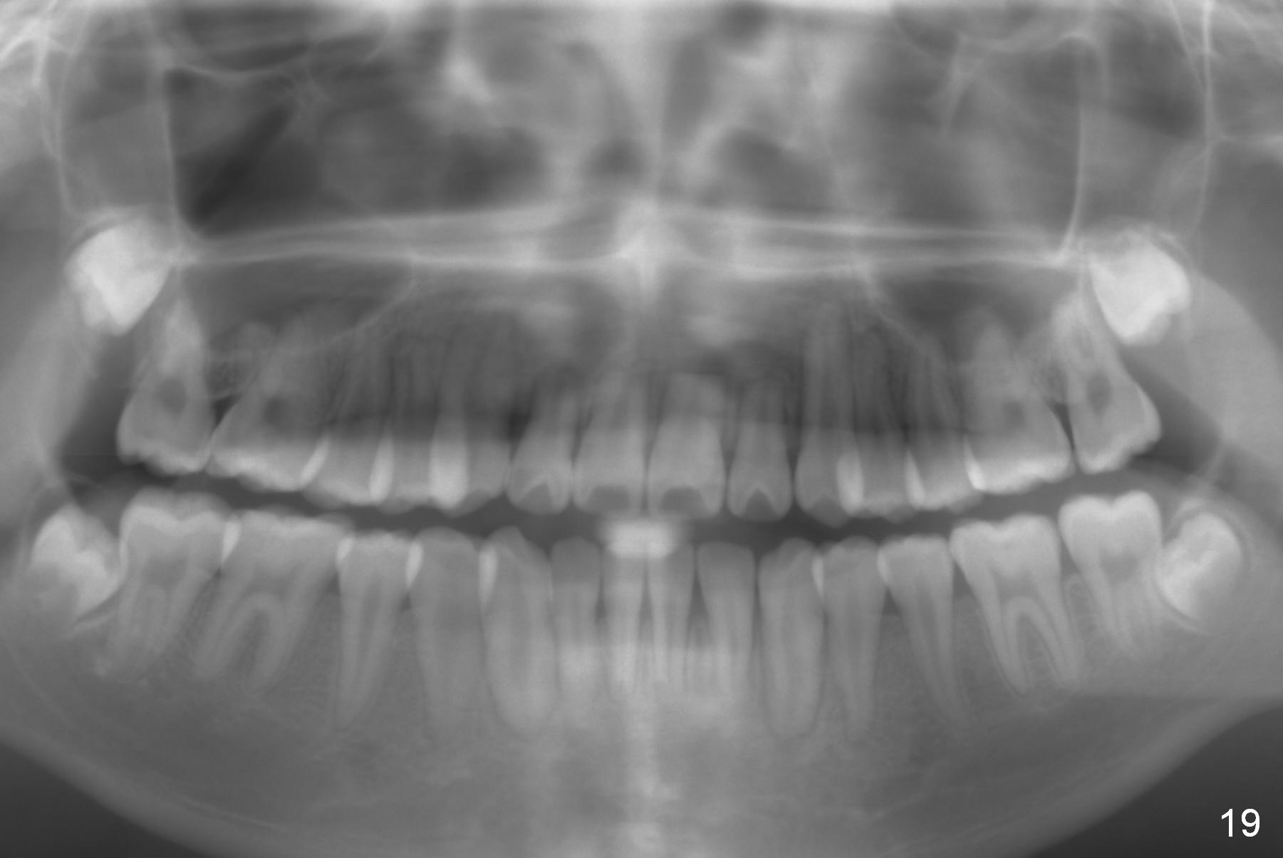
Non-extraction ortho takes 3 years 8 months to finish with shortening of #6-10, 22 and 27 roots (Fig.19) and compromised cosmetics (on the right column).
Return to
Ortho Cases
Xin Wei, DDS, PhD, MS 1st edition 11/12/2016, last revision 04/26/2017