![]() |
![]() |
![]() |
|
![]() |
![]() |
![]() |
![]() |
![]() ![]() |
![]() |
![]() |
|
Overlapping Microdontia (I)
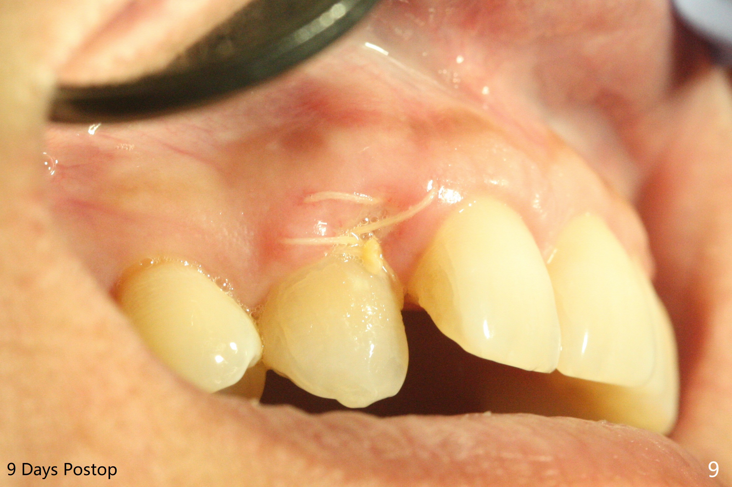
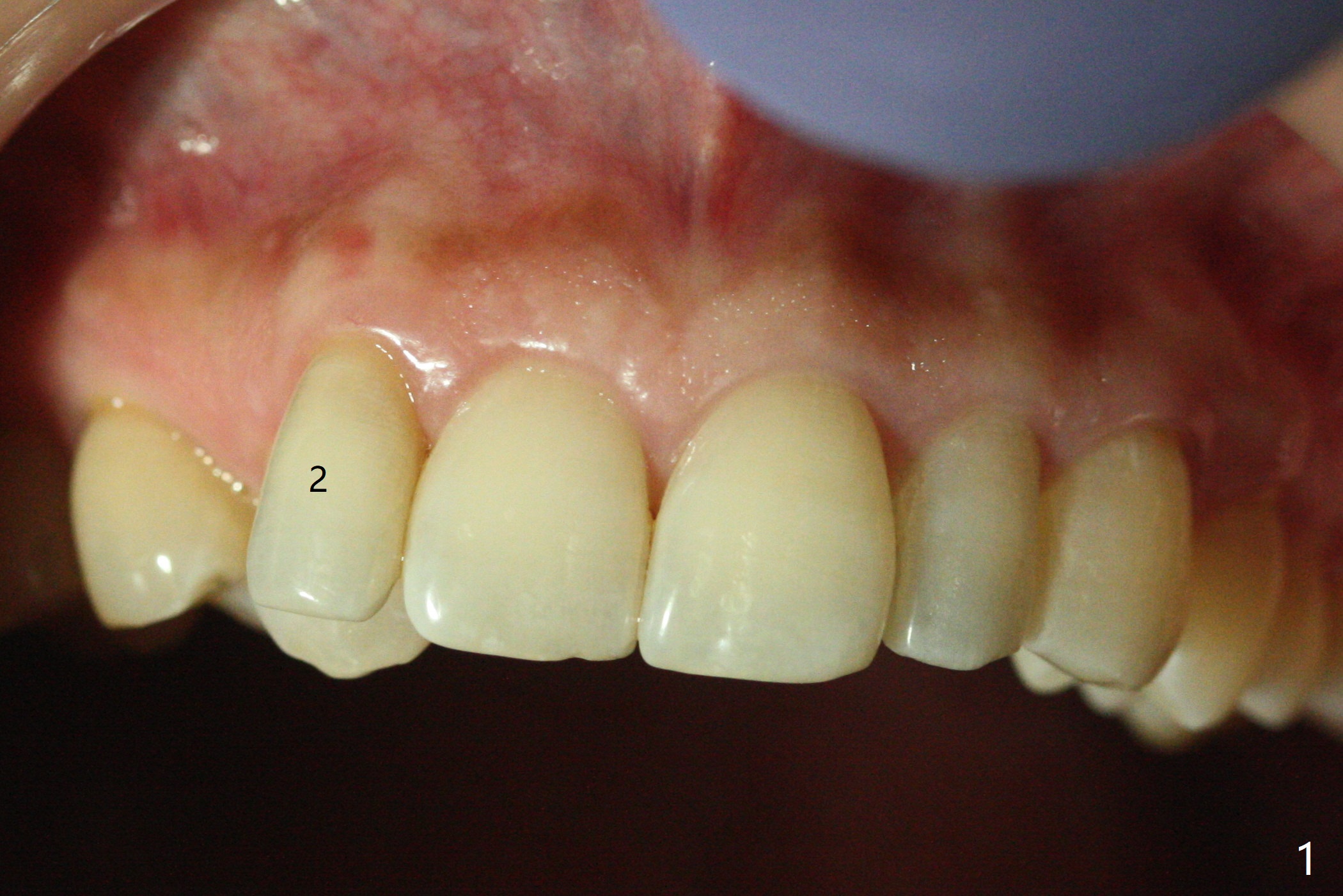
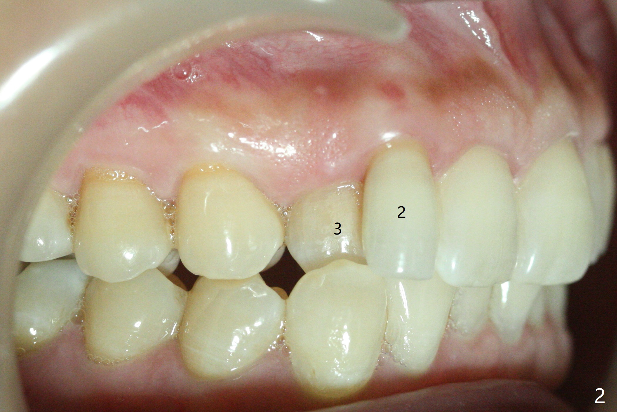
A 54-year-old woman seeks treatment for the tender upper right lateral incisor (Fig.1-4: 2 because of palatal cervical caries (Fig.3 <) and periapical radiolucency (*)), which overlaps with the palatal canine (3). One of treatment options is to extract the lateral and to orthodontically move the canine to the position of the lateral, particularly the root (Fig.5 arrow). When the lateral is removed, the labial bone of the canine is thin (Fig.6). Allograft is placed (Fig.8 * and dashed line), covered with Amnion-Chorion Allograft (Bioxclude) and sutured with 4-0 PGA (Fig.7). The wound heals 9 days postop (Fig.9,10). The patient is grateful because of no pain, which she thinks is due to bone graft, whereas Amnion-Chorion membrane is another contributory factor. The lateral root convexity remains 1 month postop (Fig.11 *); she is undecided upon orthodontic treatment.
Return to
No Deviation
Ortho Cases
Banding
Xin Wei, DDS, PhD, MS 1st edition
02/04/2020, last revision
09/12/2020