![]() |
![]() |
![]() |
![]() |
![]() |
![]() |
||
![]() |
![]() |
||
![]() |
![]() |
||
Post Extraction of a Peg Lateral
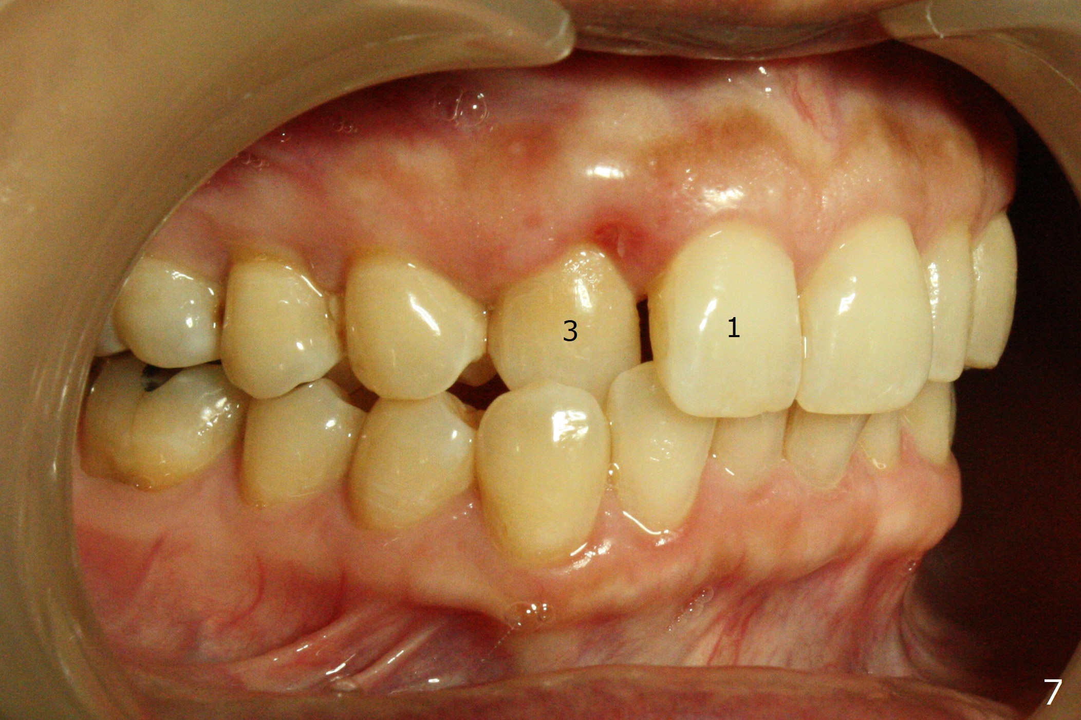
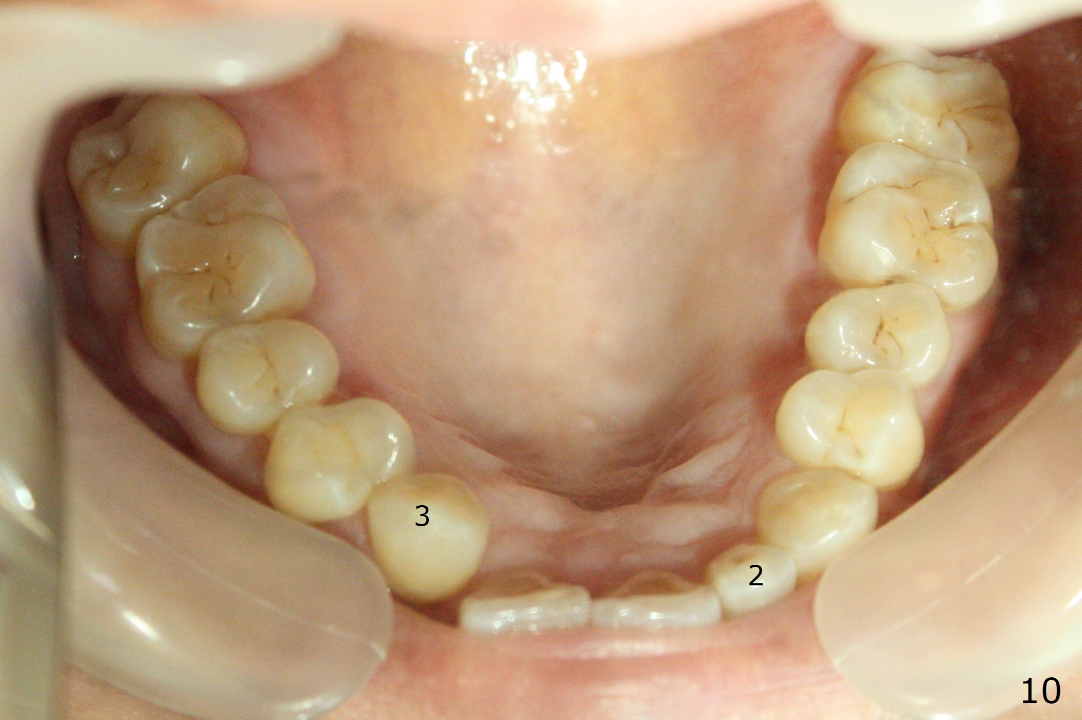
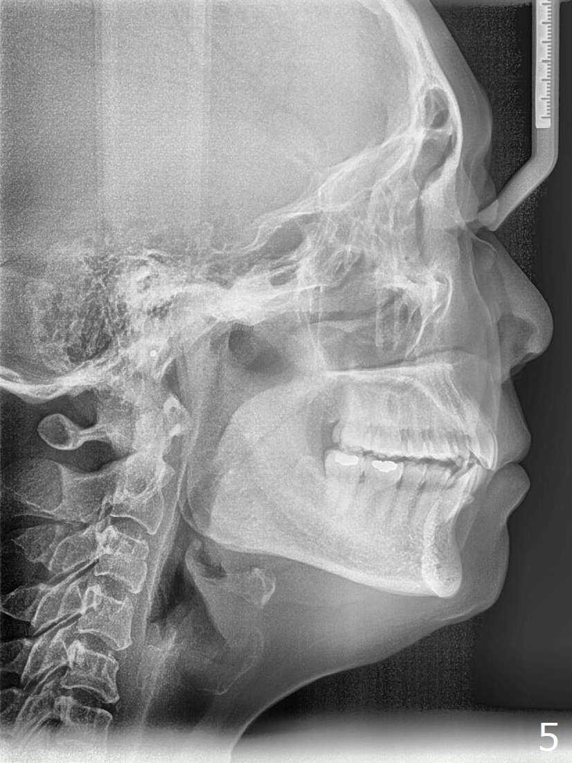
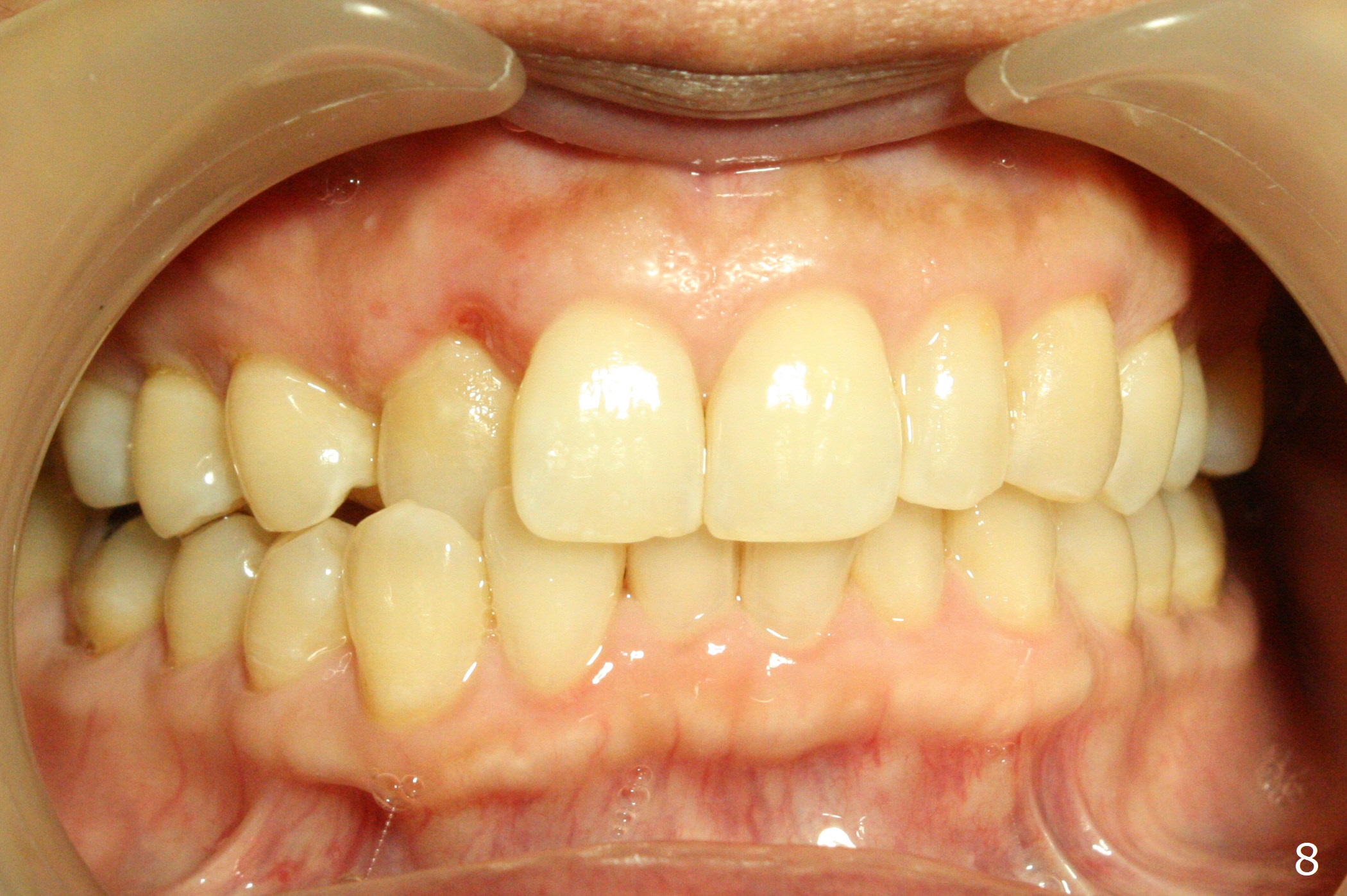
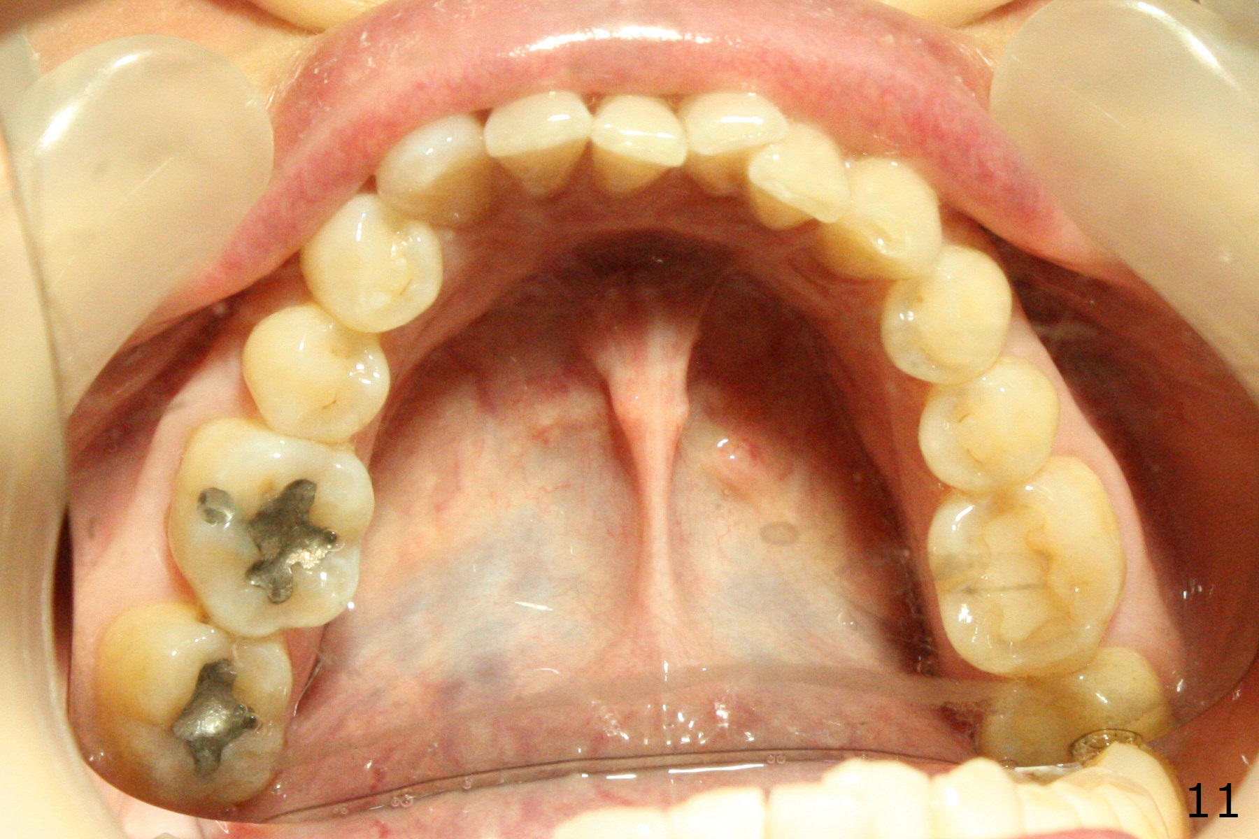
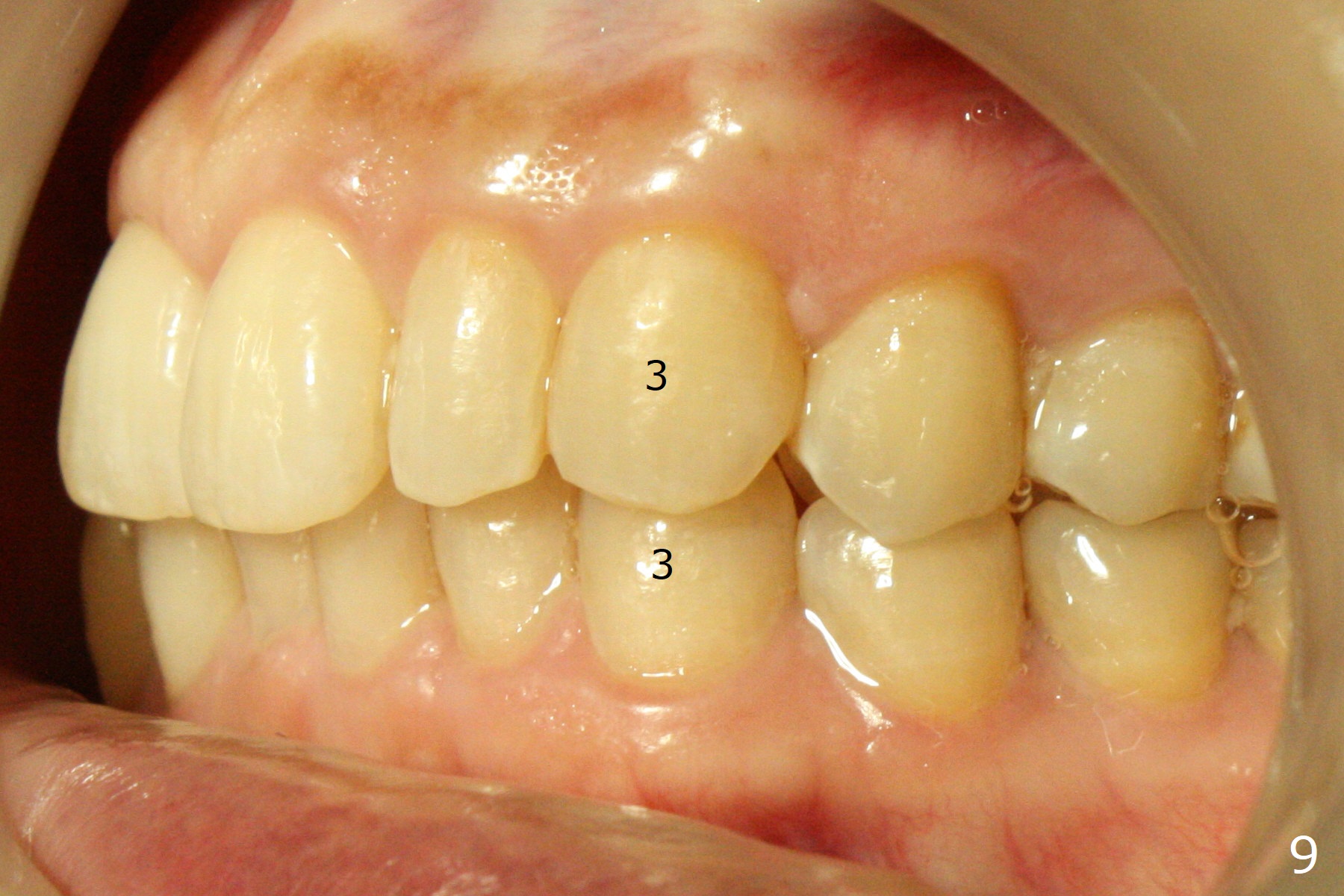
A 54-year-old woman (dento-phobic) will return for banding and bracketing 1.5 months post UR2 extraction with socket preser-vation. Lip strain is absent or minimal(Fig.1). The upper dental midline deviates to the right (Fig.2). Profile is within normal limit (Fig.3). UR3 is in cross bite (Fig.4). Cephalmetric X-ray apparently shows normal profile (Fig.5). Occlusion appears to be Class II in canine and molar (Fig.7,9, Class II Division II Malocclusion). The upper and lower dental midlines mismatch (Fig.8). UL2 is a peg lateral (Fig.10), while the lower anteriors are crowded (Fig.11). Arch wire sequence is conducted and let the timid patient decide whether the 2nd part of treatment should restore ideal occlusion with UR2 implant and UL2 veneer or simply close diastemata. Take PAs for the anteriors prior to banding to follow up root resorption during treatment.
Return to
No Deviation
Ortho Cases
SP
Xin Wei, DDS, PhD, MS 1st edition
03/15/2020, last revision
09/18/2020