![]() |
![]() |
![]() |
|
![]() |
![]() |
![]() |
![]() |
![]() |
![]() |
![]() |
|
![]() |
![]() |
![]() |
|
![]() |
![]() |
![]() |
|
![]() |
![]() |
![]() |
|
![]() |
![]() |
![]() |
|
![]() |
![]() |
||
Ortho Instead of Implant M
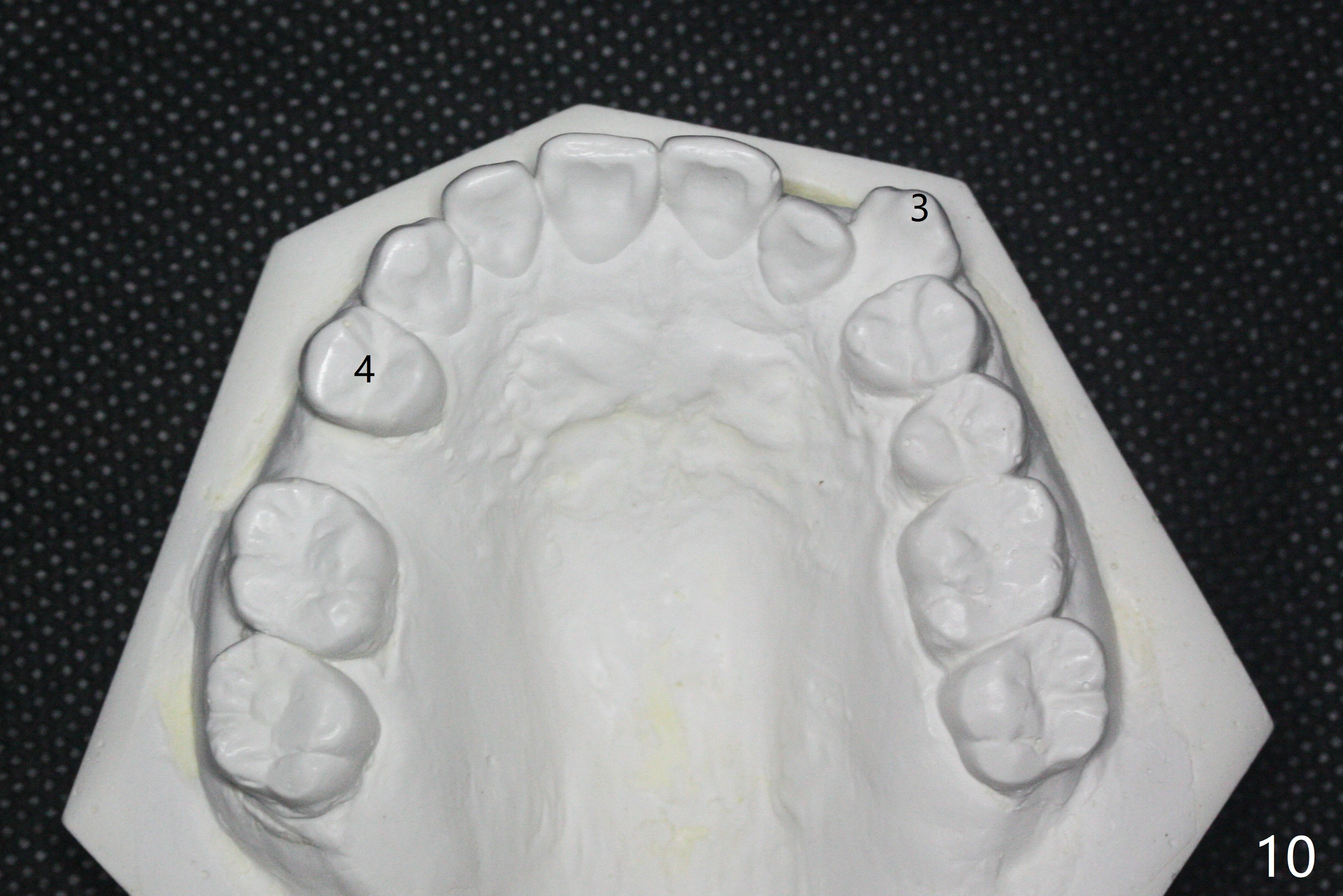
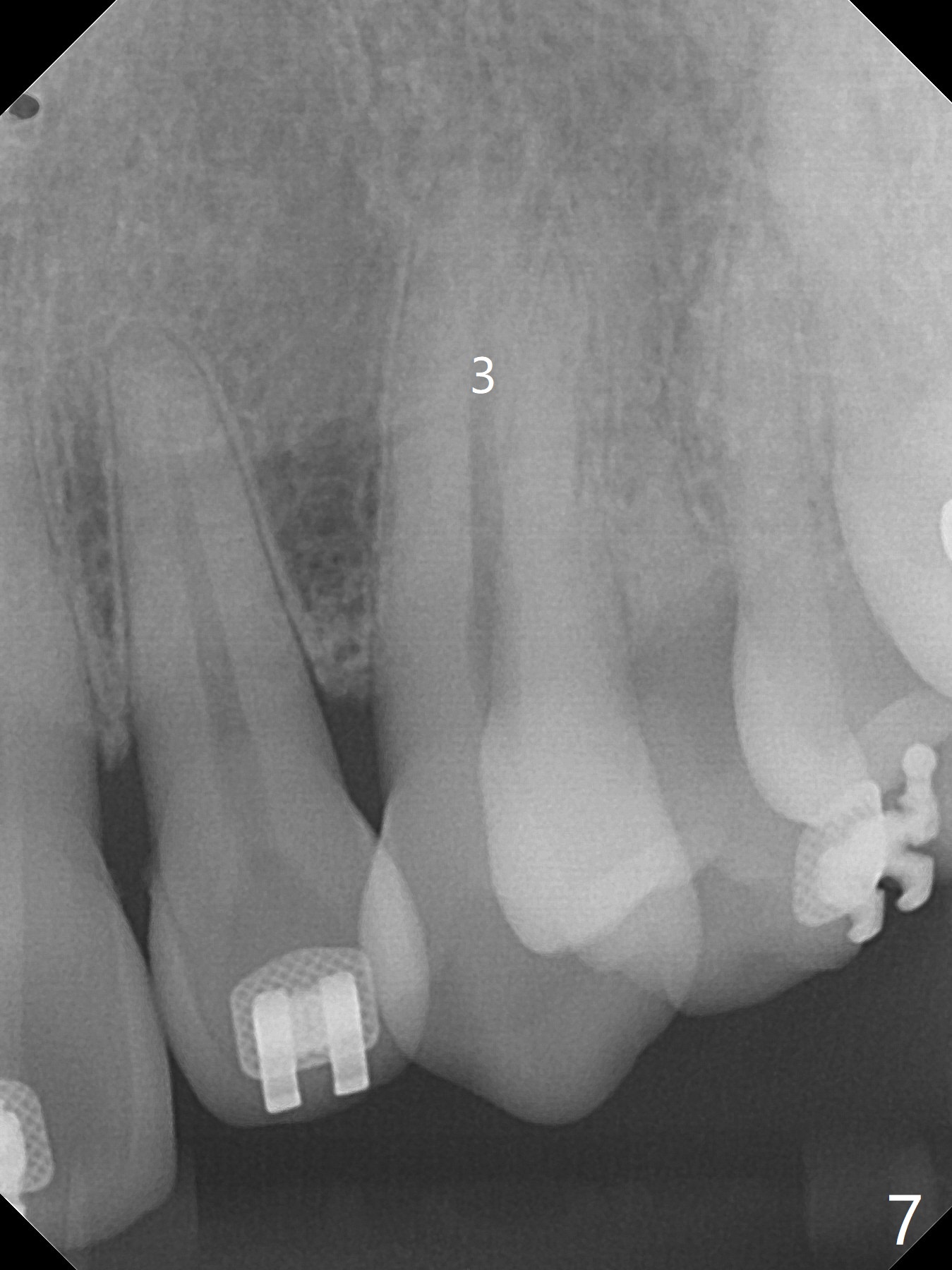
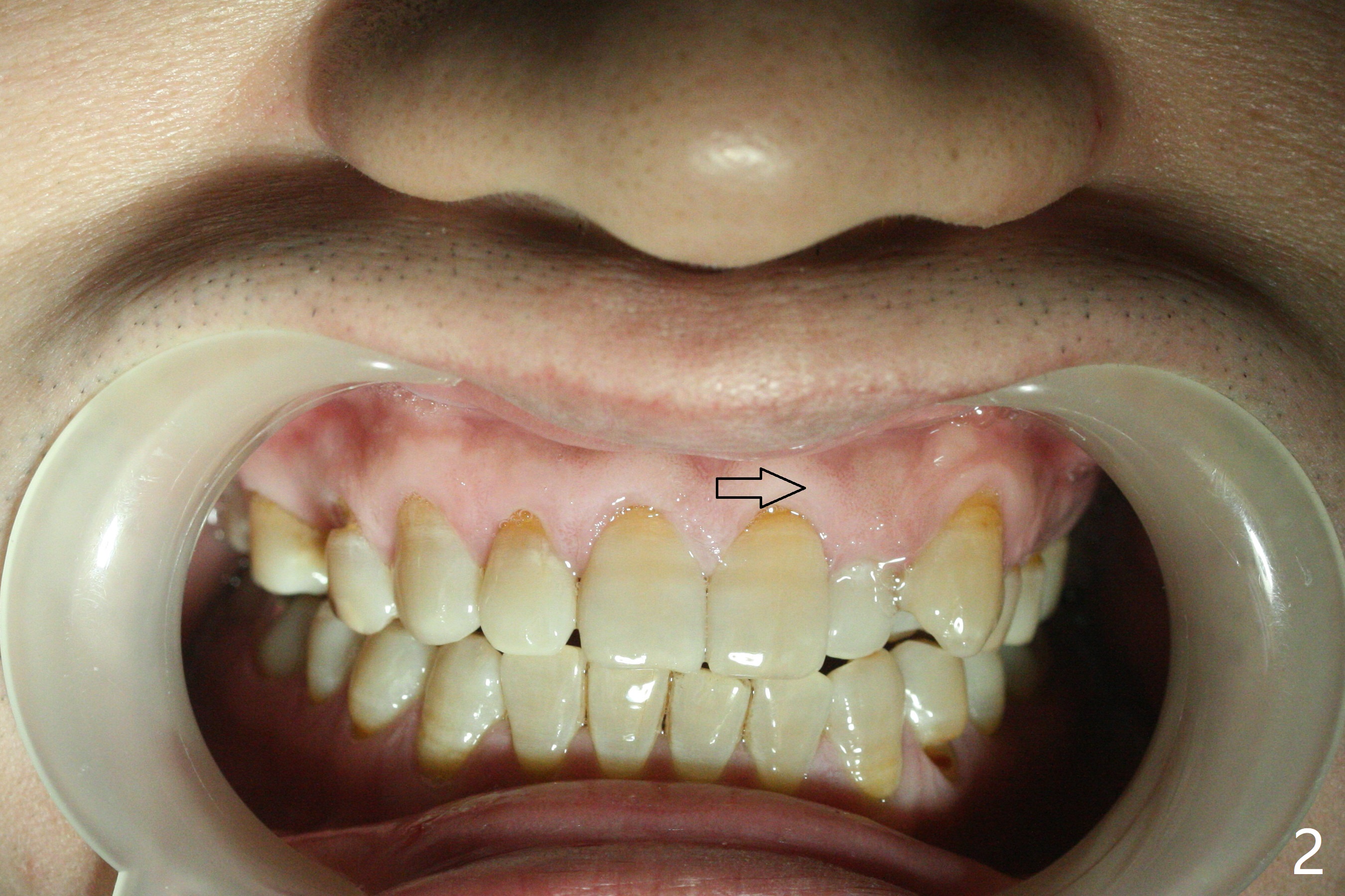
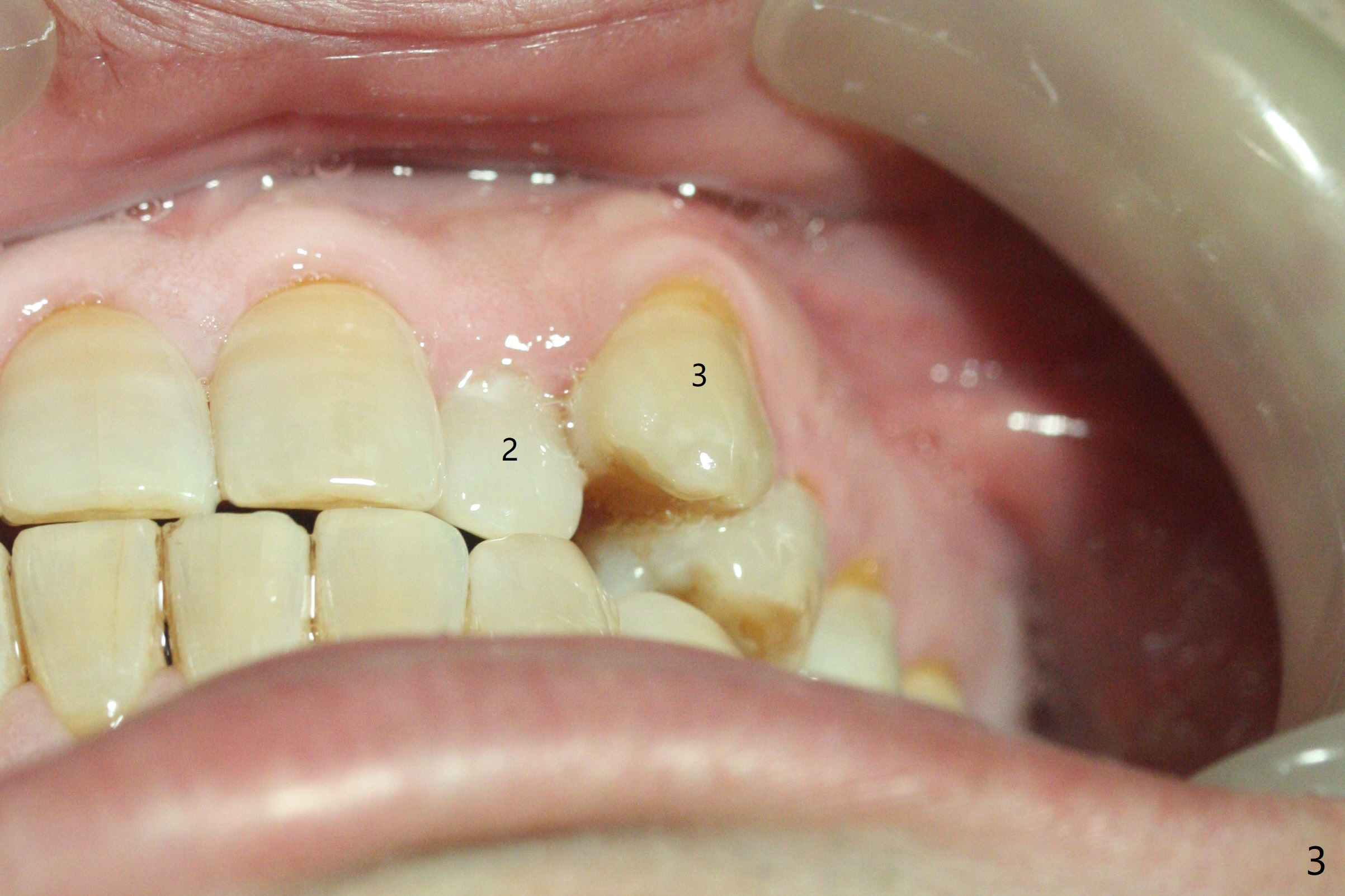
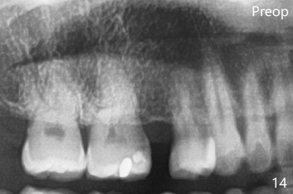
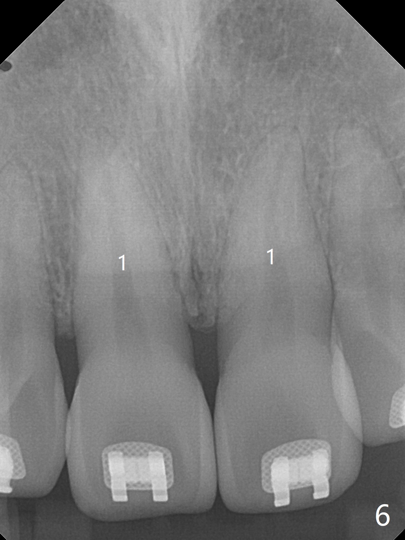
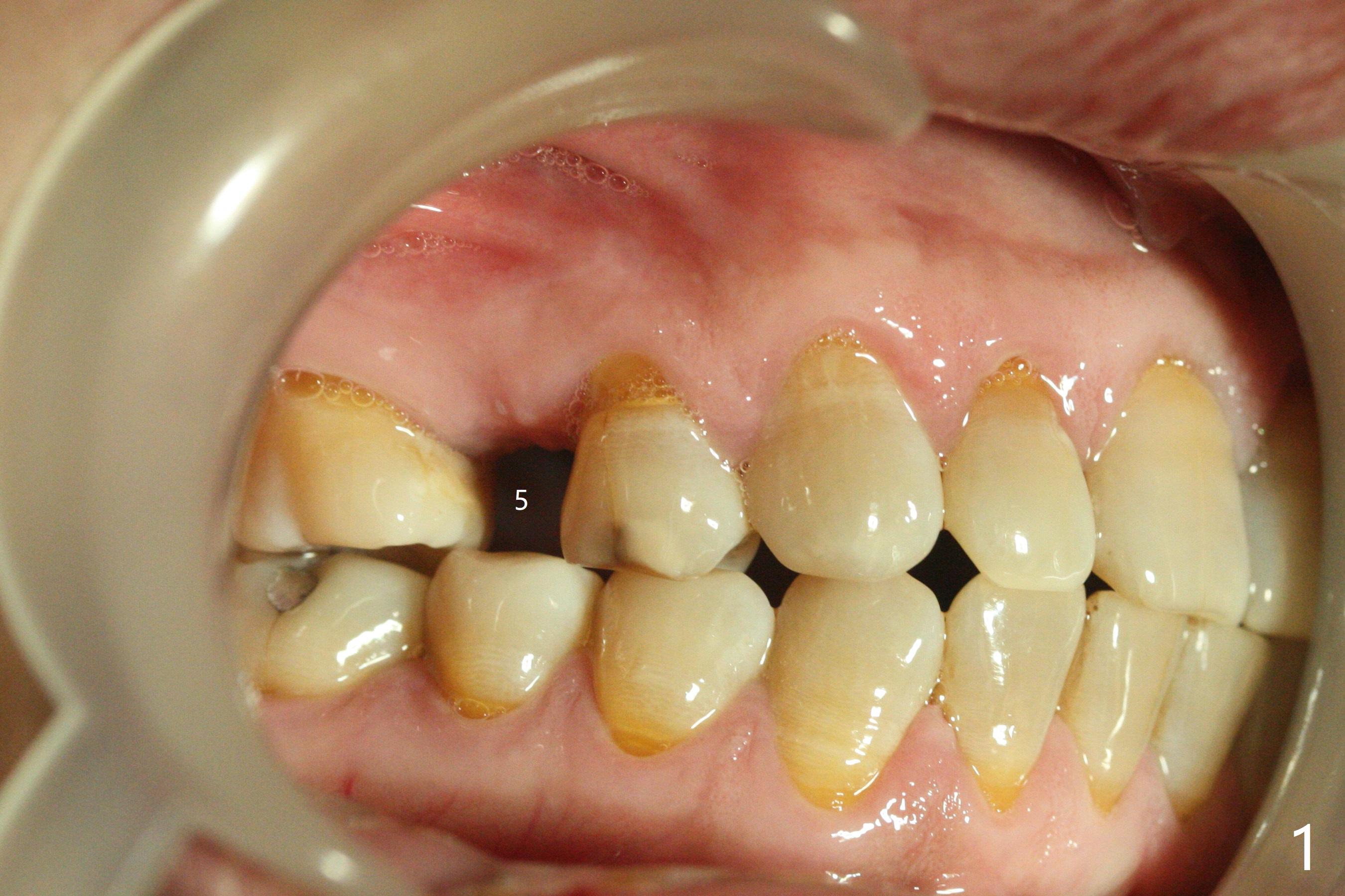
A 40-year-old man requests orthodontics after #17 and 32 extraction. UL5 is missing (Fig.1), while the upper midline deviates to the left (Fig.2 arrow) with crowding between UL2 and 3 (Fig.3). The main goal is to retract UL5 distal and move the upper midline to the right to alleviate UL anterior crowding. Implant will be not needed. To monitor potential root resorption associated with tooth movement, preop PAs are taken (Fig.4-7). The space for an implant at UR5 is narrow. UR4 needs to be distalized using UR7 or a miniimplant distal to UR7 as an anchor (Fig.8). UR4 and 3 will be repositioned to establish Class I occlusion (Fig.9). The space gained by UR4 distalization may be enough to correct the upper midline deviation and UL3 malposition (Fig.10). Brackets will be placed in the lower arch in spite of the normal alignment (Fig.11). UL2 and 3 brackets are unable to be engaged to 14 niti wire (Fig.12). Next visit try to engage UL2 bracket. If not, save the old wire for possible future reuse. Closed spring is placed with 18 ss wire <3 months post banding (coronavirus). Three weeks post closed spring between UR4-7, UR3,4 are being distalized (Fig.13). Distalization of UR4 is not much in 5.5 months (Fig.14,15). It seems necessary to use a miniimplant distal to UR7 as an anchor (Fig.16 white circle), place a long hook mesial to UL4 (more or less root movement instead of tilt) and place the same closed spring between the anchor and hook. In spite of the fact that UR4 seems to have been completely distalized and that UR2 is being distalized 8 months post banding (Fig.18), a 8 mm long mini-implant is placed in the maxillary tuberosity with minimal local anesthetic (Fig.17,19). A longer closed spring (18 mm) is placed between the implant and UR3 hook (Fig.20). Next appointment a lingual button will be placed at UR4 for rotation, while a post hook mesial to UR3 for torque. UR3 distalizes with the help of UR mini-implant, which is unfortunately loose. Next visit place lingual button at UR4 (Fig.21 arrow) to distalize the lingual cusp. Crimpable power hook is placed mesial to UR2 for distalization (for root torque, Fig.22). If it works, remove the wire and reposition the hook for UR1 next visit. UR2 is distalized in one appointment (~ 1 month, Fig.23, as compared to Fig.22). With lingual button at UR4, rotation seems to have been corrected shortly (Fig.24 arrow).
Return to
Ortho Cases
植牙,导板与正畸
Xin Wei, DDS, PhD, MS 1st edition
02/13/2020, last revision
01/12/2021