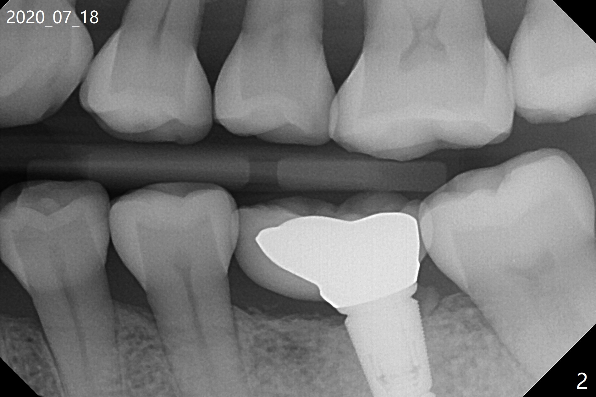
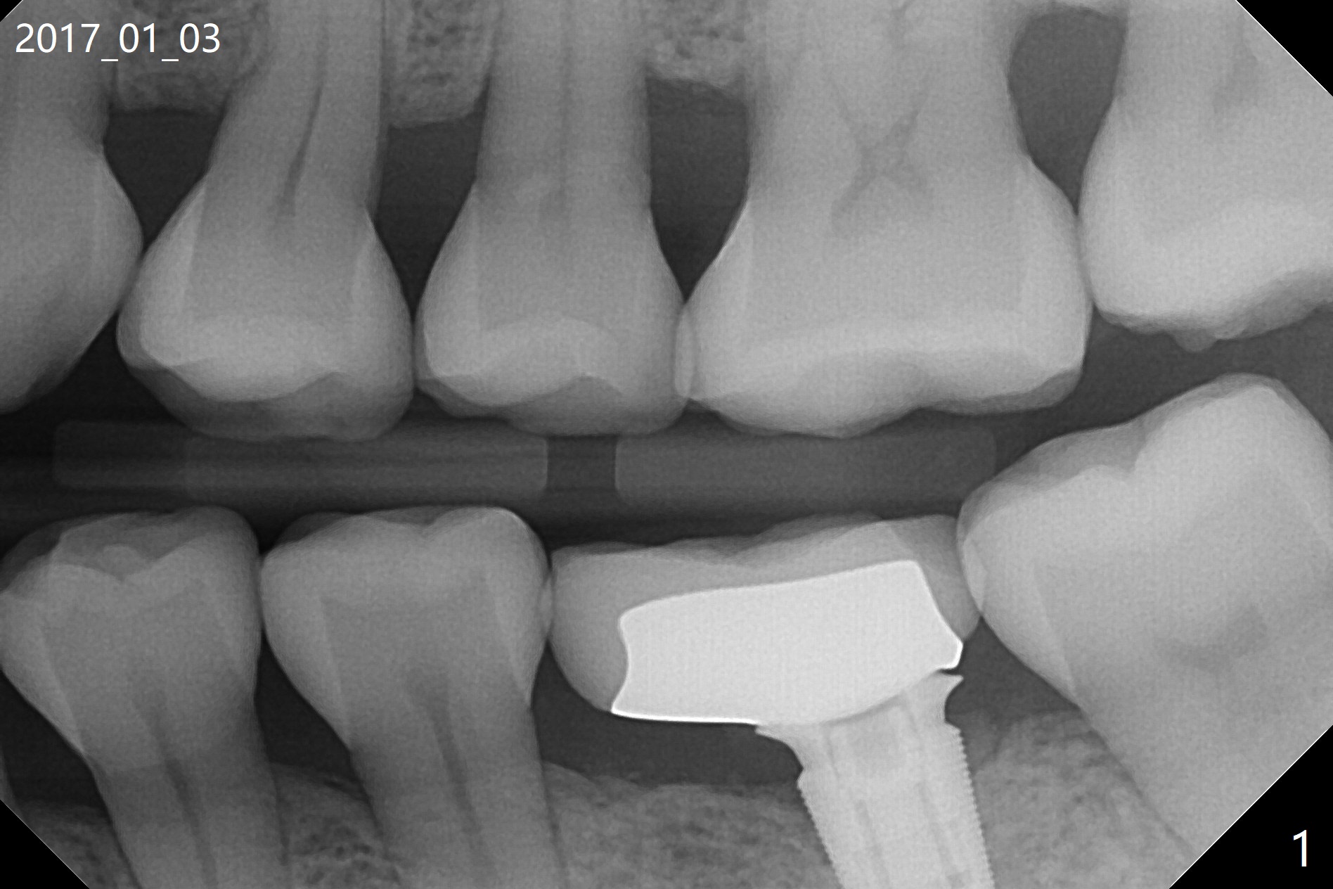
植牙,导板与正畸

 

正畸帮助植牙 (互相):1. 缺牙间隙不太窄:先导板植牙后矫正;2.间隙很窄:顺序相反(徒手)

正畸避免植牙:1. 单颗 ;2.两颗牙

 

支抗:牙齿(第一磨牙,尖牙),微型,修复植体(绝对)

Return to IBS Armaments Trajectory Trajectory II No Deviation No Caries Ortho Cases Professionals Webinar  减少 牙冠折射干扰  为什么要学做矫正?  小鲜肉    腮腺结石   阻生牙   One-Roofed Dentistry (Team Players)