![]() |
![]() |
![]() |
![]() |
![]() |
![]() |
![]() |
![]() |
||
![]() |
![]() |
![]() |
||
![]() |
![]() |
![]() |
||
![]() |
![]() |
![]() |
||
![]() |
![]() |
![]() |
||
![]() |
![]() |
![]() |
||
![]() |
|
![]() |
||
Plan Well
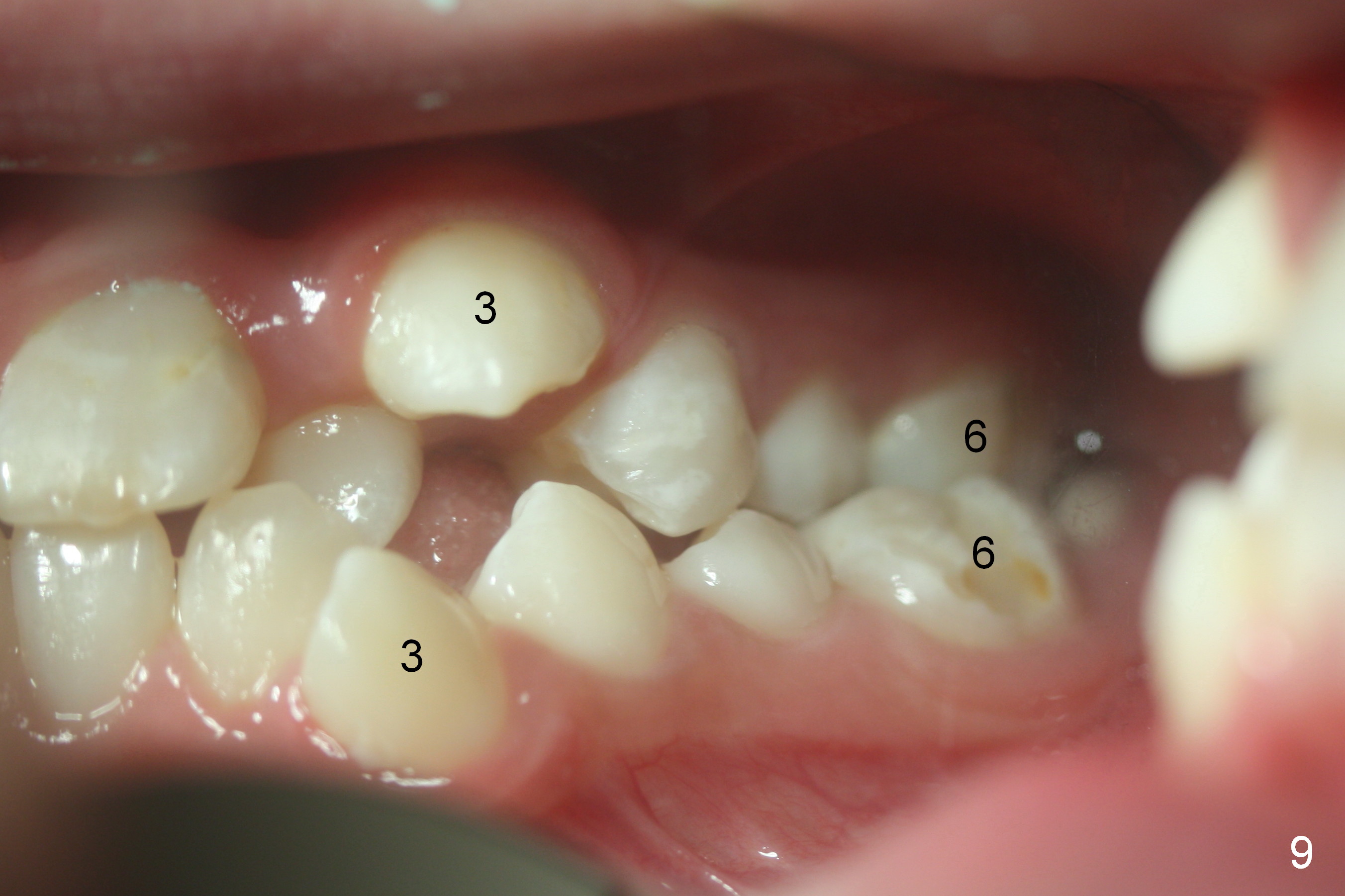
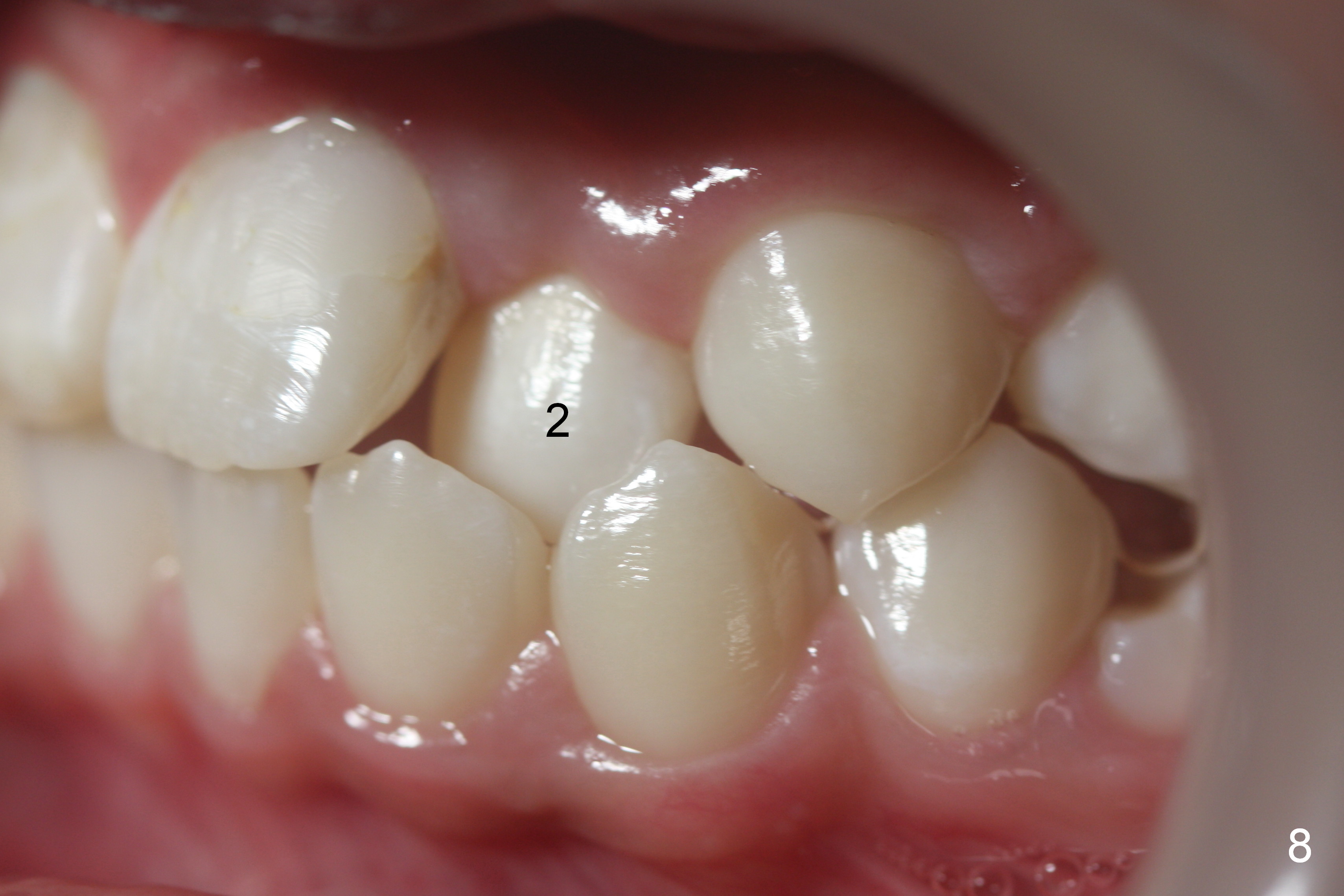
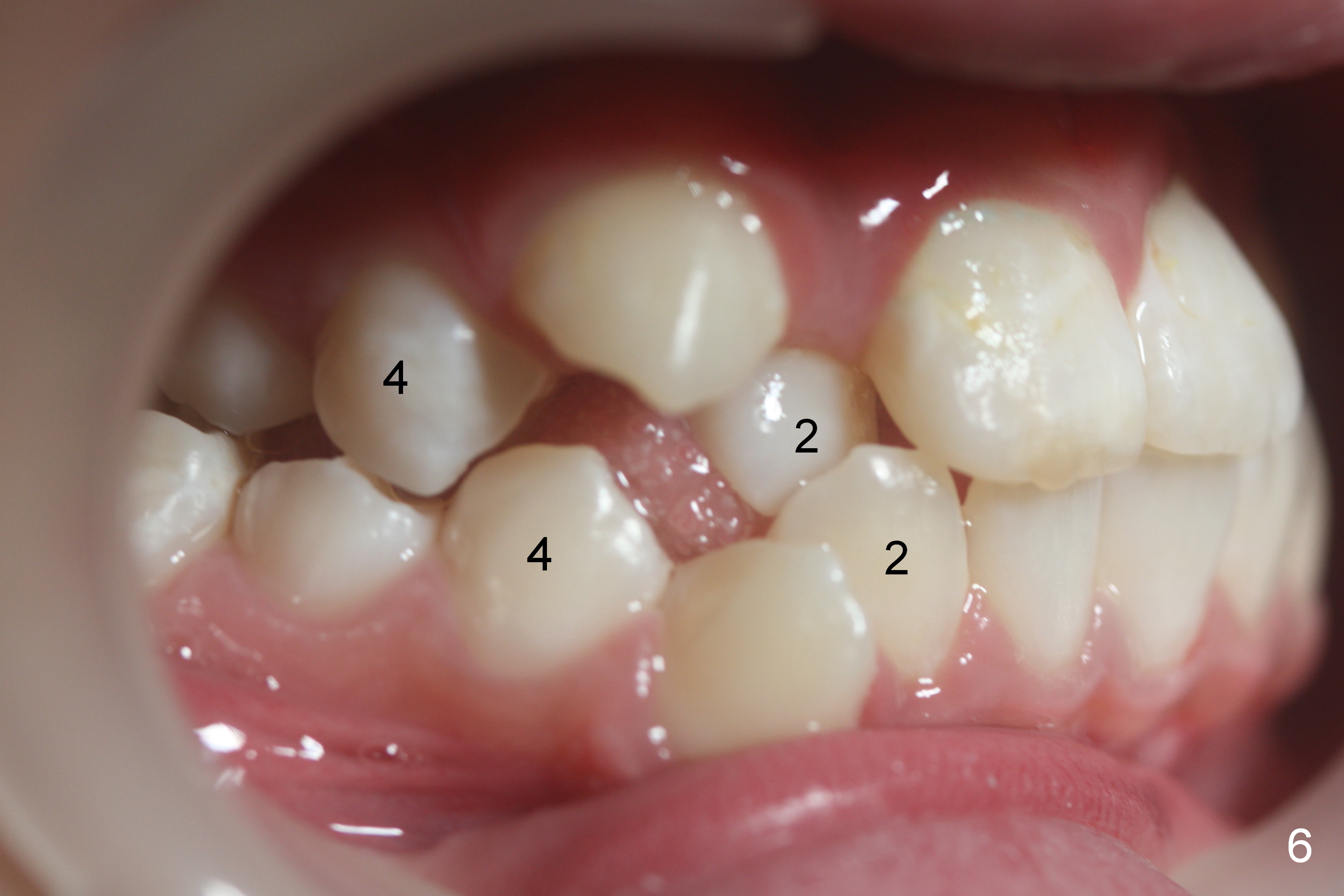
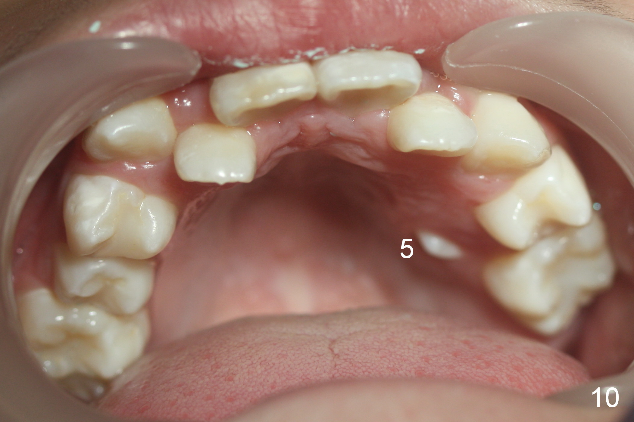
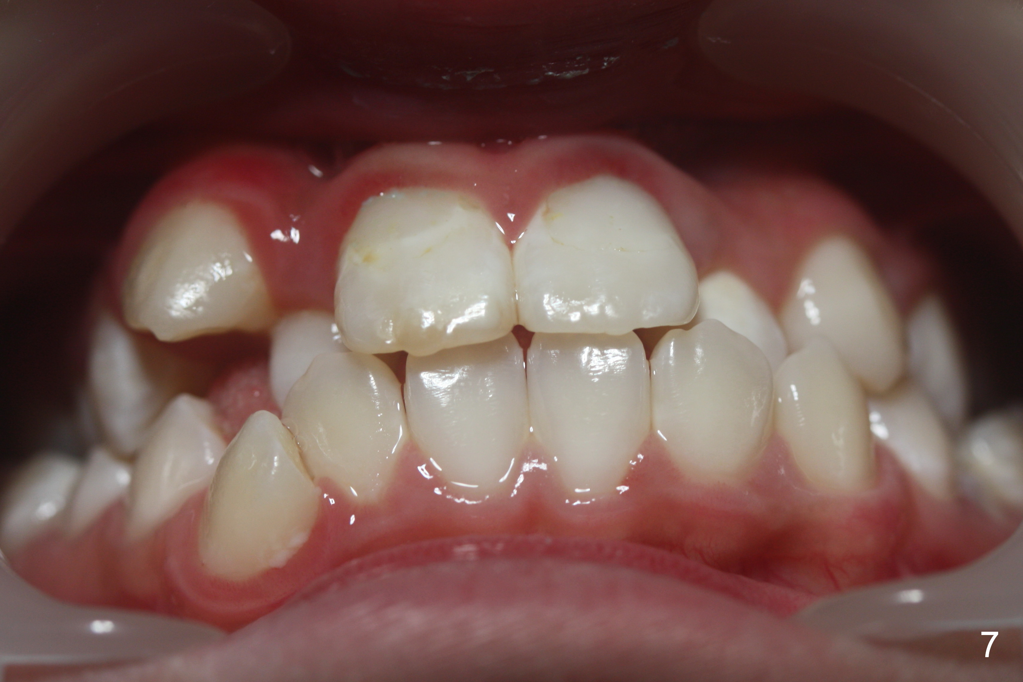
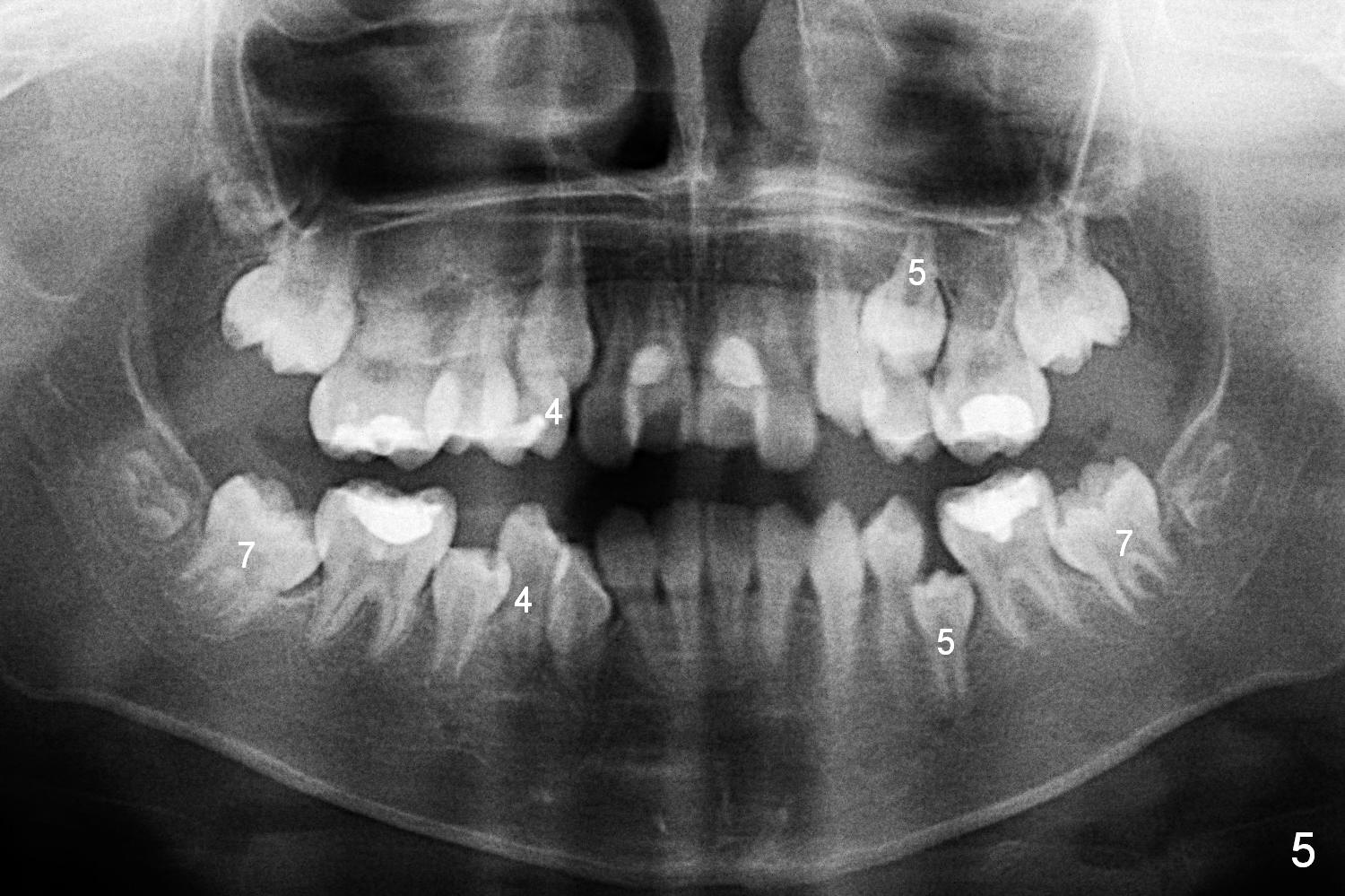
A 10-year-old girl with history of hyper-thyroidism has severe Class I malocclusion. She is ready for treatment. There is mild lip strain (suggesting anterior tooth protrusion, Fig.1,3). The facial and dental midlines coincide (Fig.2). Severe crowding is evident. Extraction orthodontics is indicated, either next to the most crowded areas (UR, LR4, Fig.6) or impacted ones (UL, LL5, Fig.10,11 (mirror view)).
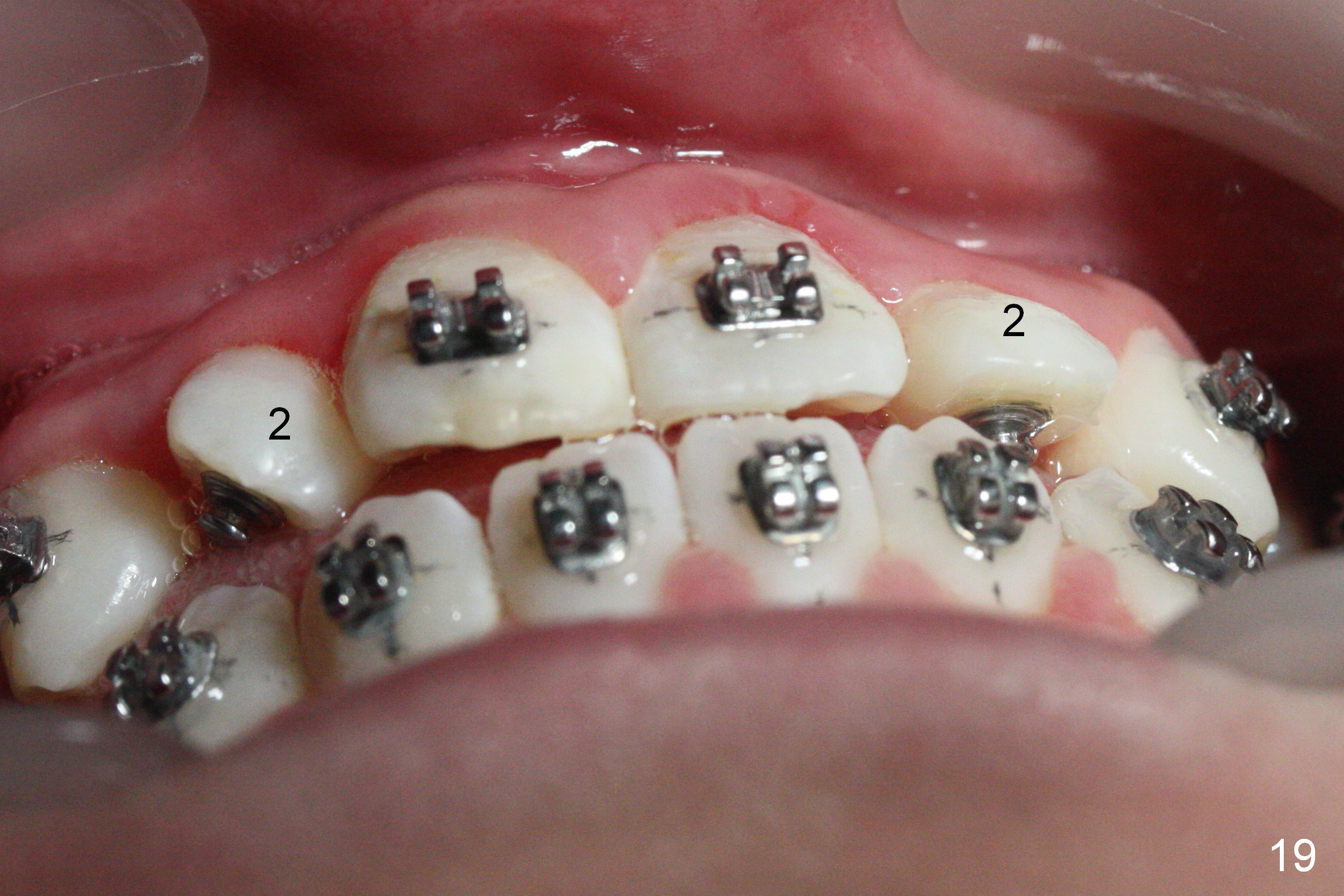
No brackets are placed at UR, UL, and LR 2 (blocked out, Fig.6,8) initially. Open coil spring is placed to gain the space with .018 stainless steel wires. When the space is almost achieved, sling shot is installed for labialization. When the space has been completely achieved and the lateral is almost in the normal position, place the bracket upside down.
When L3s is repositioned normally, try to mesialize the posterior teeth so that L7s have space to erupt (Fig.5).
Cross bite also exists at 6s (Fig.9,11). Place molar bands with sheets with the upper ones (potentially for palatal expander), with cleats with the lower ones (possibly for elastics).
The right canines are blocked (Fig.6,9). Use an elastic between them as early as possible to facilitate eruption, which is not done immediately post banding and extraction of R4s (Fig.12 (.014' niti wires)).
One month post banding, the upper wire changes to .016', while the lower one remains .014' with LR2 bracket partially engaged (Fig.13). Intuitively, an elastic is placed between UR3 and LR3. It appears that these two teeth have been moved occlusally and distally quite a bit in 1 month.
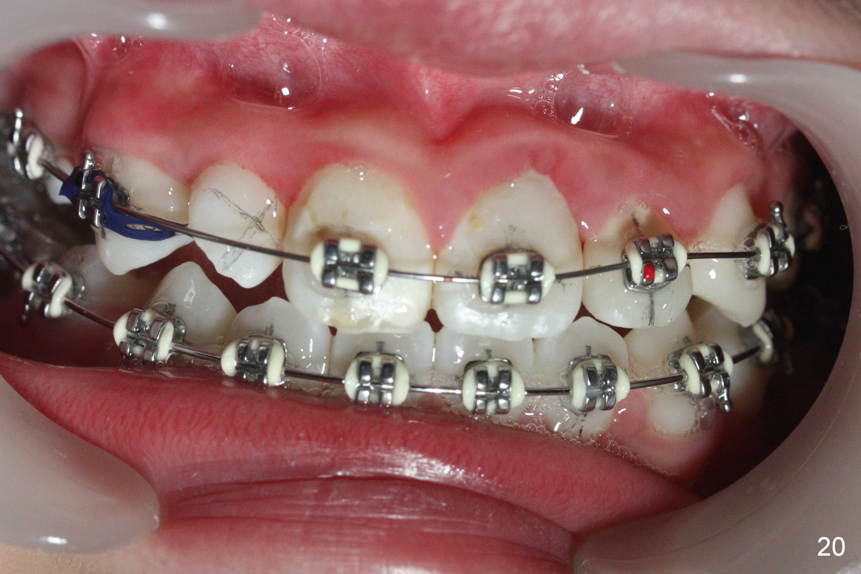
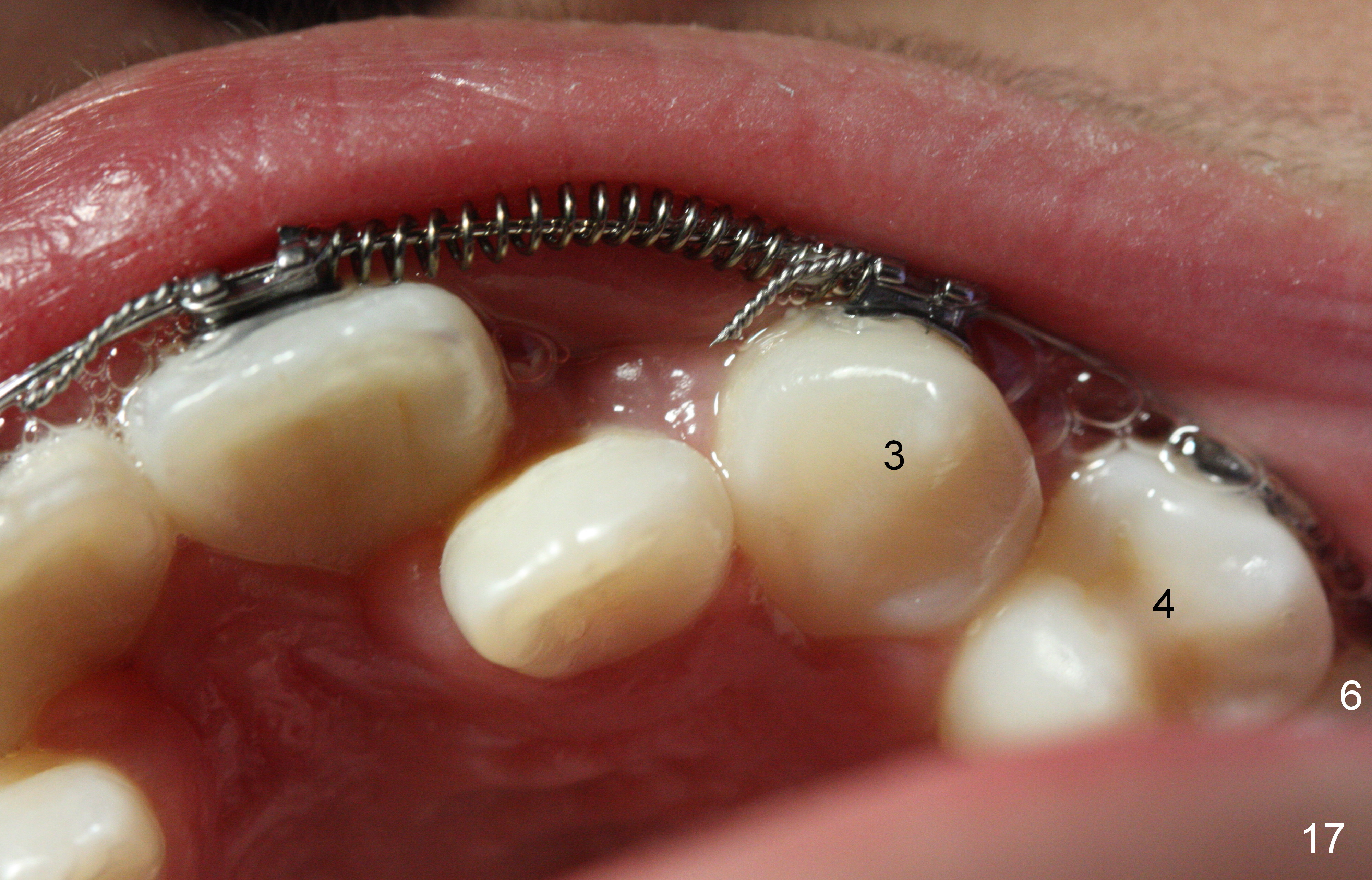
Another 1 month, the right canines (Fig.14: 3, as compared to the left side (Fig.15)) occlude each other, while LR2 has full engagement into .016 niti wire (compare to Fig.12,13). Open coil springs are placed with upper .018' ss arch wire. It must be easier to gain space for UR 2 (Fig.16) than UL2 (Fig.17), because of the presence of space on the right side (4 in Fig.16). There appears no space between UL 4 and 6.
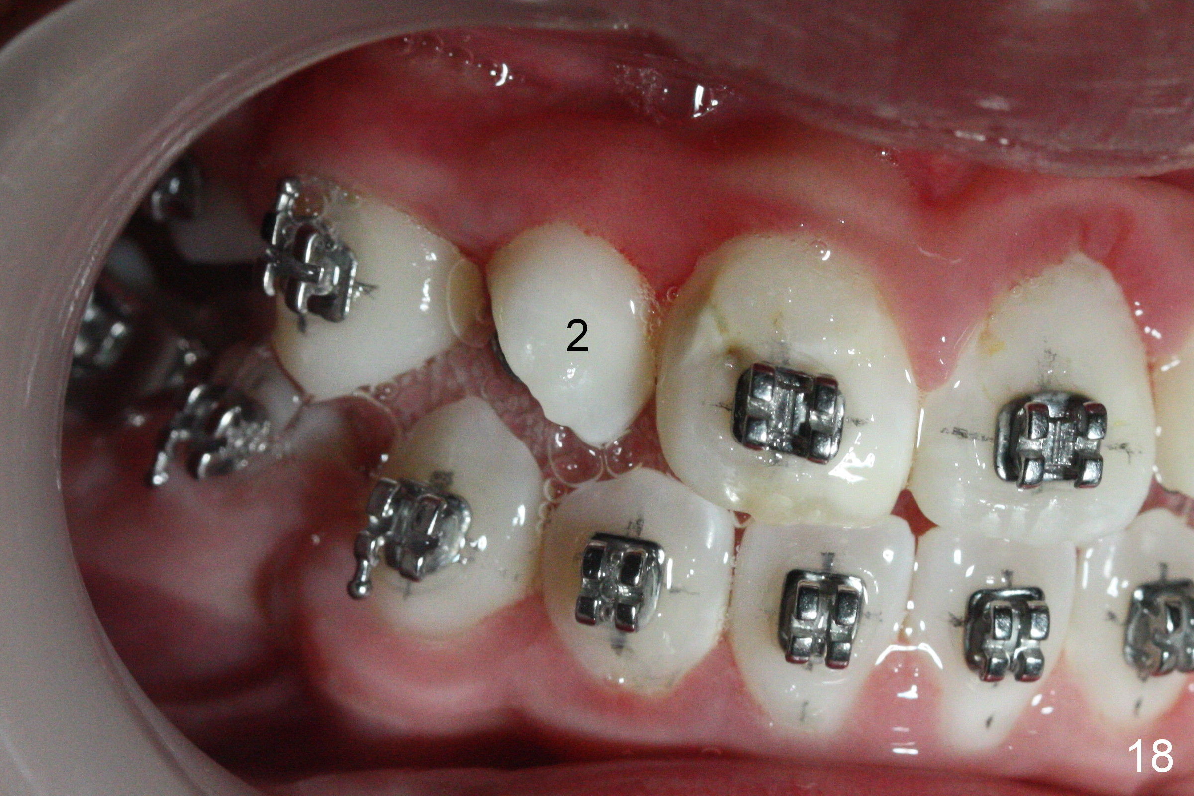
Three visits after open coil spring and 1 visit after sling shot, U2 cross bite is corrected (Fig.18,19). Due to UR2 rotation (Fig.19), bracket cannot be placed (Fig.20, 16 niti). Power chain x 3 is placed between UR2 and 3 to gain space for bracketing, which turns out not working. UL2 bracket is placed upside down for torque.
One month of open coil spring between UR1 and 3 (18 ss), power chain is placed with 3 loops between UR2 and 3 and 5 loops between UR 1 and 2 (Fig.21, sling shot). One month later, bracket is placed at UR2 (upside down) and 16 niti wire is engaged (Fig.22). While L3-3 is laced, power chain is placed between LR 3 and 5 with intention to mesialize the latter (Fig.23 arrow) so that there will be enough space to de-rotate LR7 (Fig.24). Can we at the same time place a separator between LR 6 and 7 to mesialize LR6 and distalize LR7?
Next visit check upper and lower dental midlines. Please expand the next upper wire because of the posterior cross bite (Fig.11).
Ten months post banding, Nitanium palatal expander is placed. In a month, posterior cross bite is corrected (Fig.25,26).
Return to
Ortho Cases
Xin Wei, DDS, PhD, MS 1st edition 07/09/2016, last revision 07/07/2017