![]() |
![]() |
![]() |
![]() |
![]() |
![]() |
![]() |
![]() |
![]() |
Cross Bite Laterals
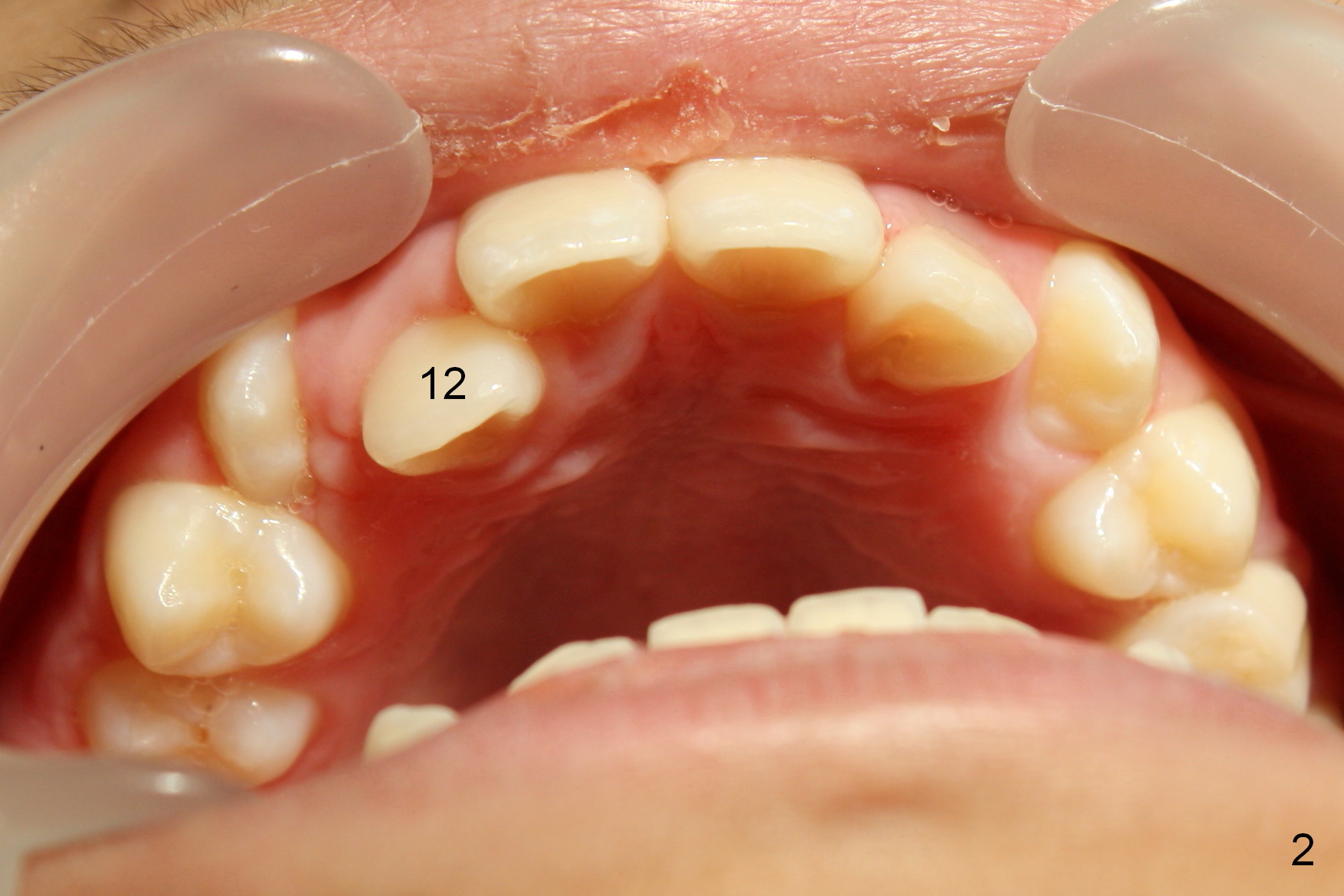
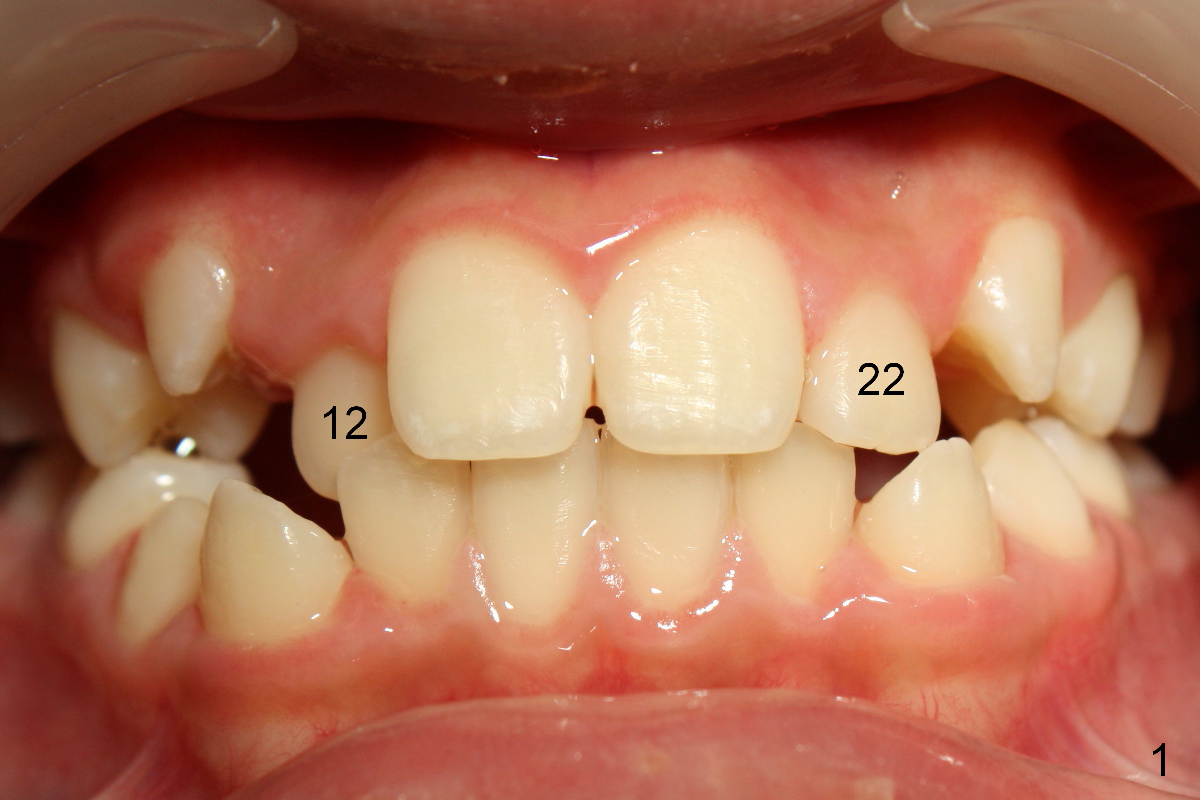
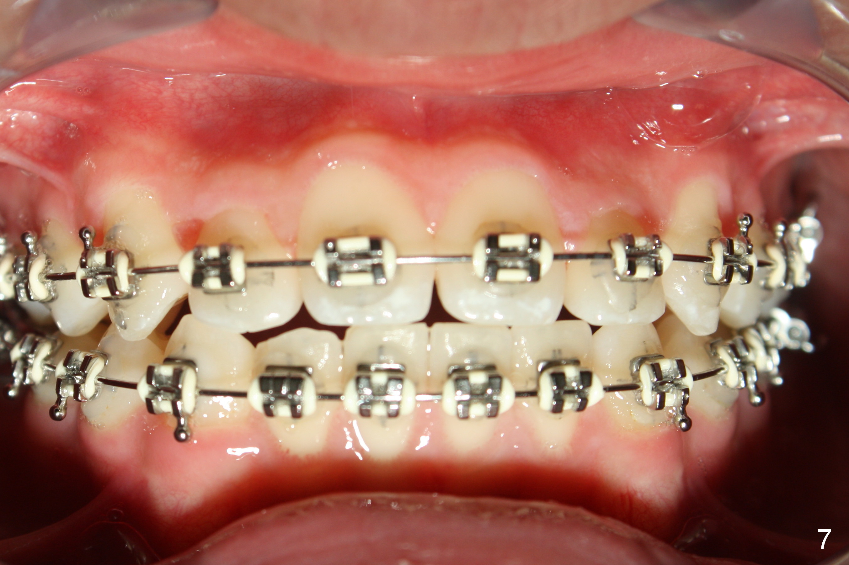
Two years after phase I treatment, cross bite relapses (Fig.1,2): the right lateral (12, pronounced as one two (not twelve)) in cross bite, while the left one (22, two two (not twenty two)) in edge to edge. One year and a half later (13 year old male), phase II treatment starts without a bracket on 12 (Fig.3). Two months and a half later (with open coil spring in action for a month (space increases, but not enough), a lingual button is placed on 12 with power chain x5 (sling shot, Fig.4 (lower banding starts)). In 2 months, the cross bite is corrected (Fig.5,6). A bracket is then placed on 12. In fact the bracket should have been placed upside down to avoid torque later on; so is for 22. A second problem is minimal over bite for incisors (Fig.7 (22 months post banding)). When the upper canines are more cervical than the incisors (Fig.1,3), bracket placement differential should be .5 mm, in stead of 1 mm.
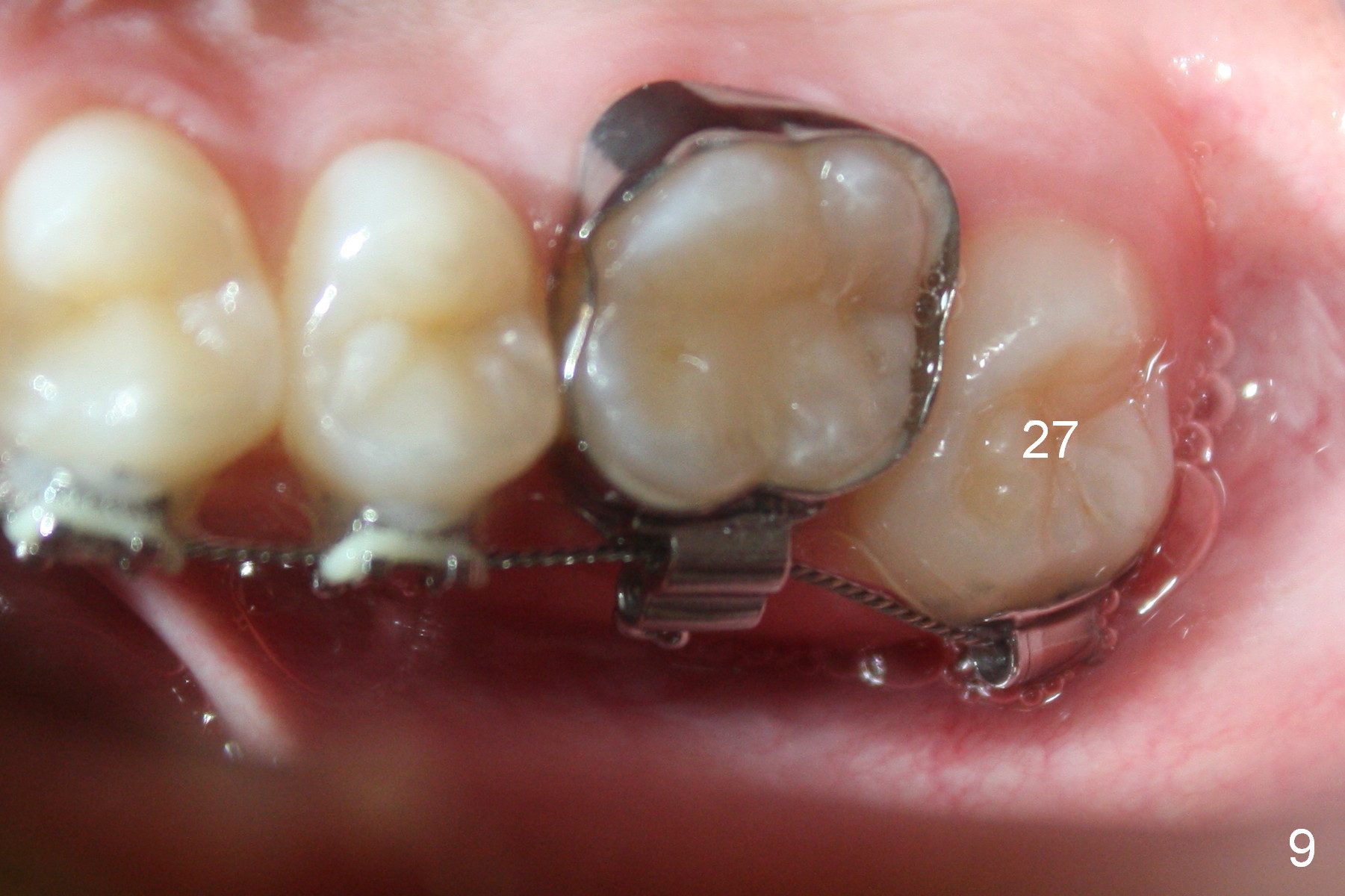
Another issue is late eruption of 2nd molars (Fig.8,9 (17 (one seven),27 (two seven)), 16 months post bracketing). The patient is not compliant with wearing elastics. The final result is not ideal.
Return to Ortho Cases #10 RCT Xin Wei, DDS, PhD, MS 1st edition 05/28/2016, last revision 02/09/2019