![]() |
![]() |
![]() |
![]() |
![]() |
![]() |
![]() |
![]() |
![]() |
Differential Closure of Spaces after 4 of 2nd Bicuspid Extraction
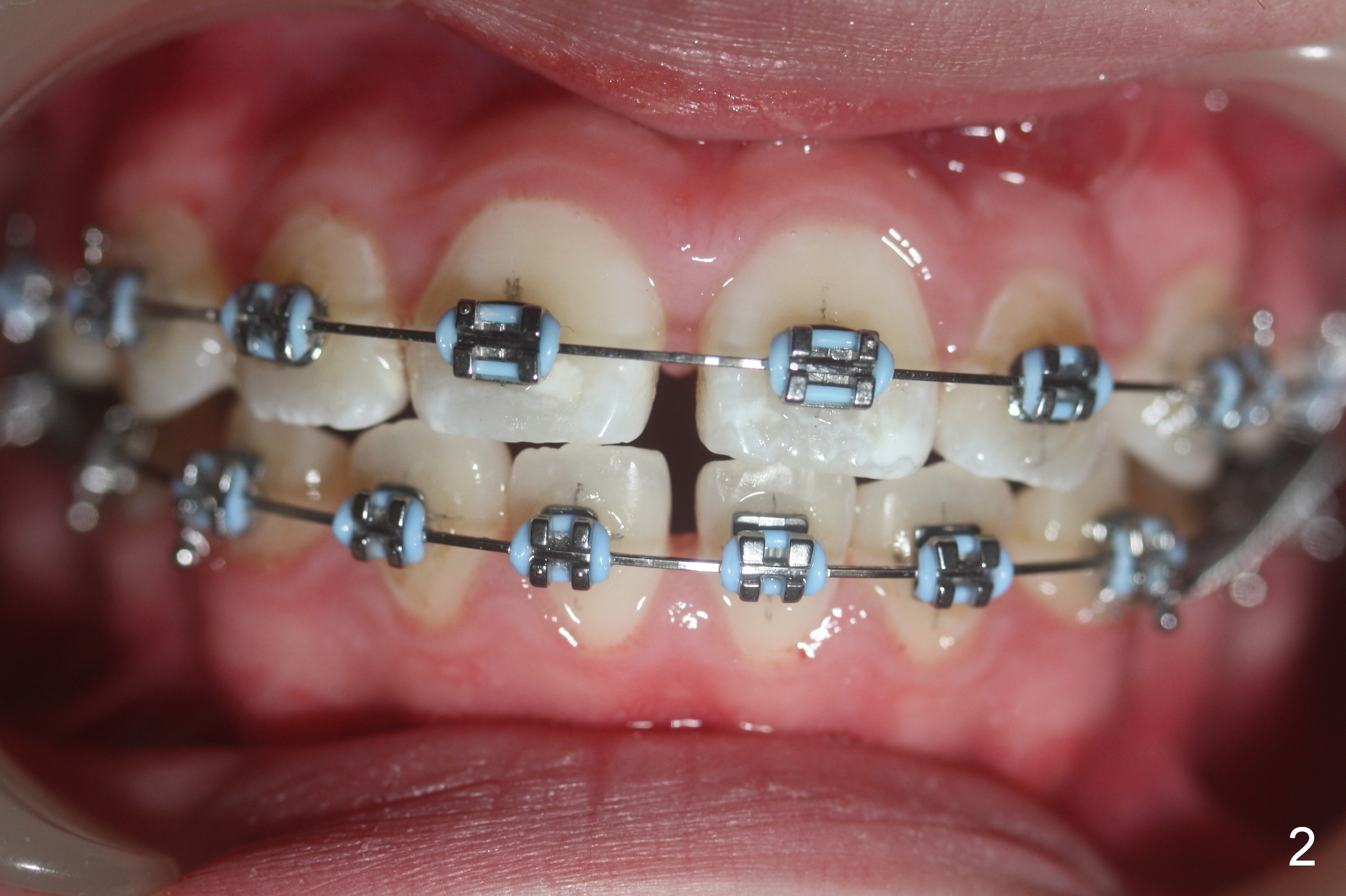
Six months after extraction of 4 of the 2nd bicuspids (3 weeks post last visit), over bite is within normal limit (Fig.1-3). LL4 contact LL6 without rotation; a 12 mm closed coil spring is placed between LL3 and 6 (Fig.3). The distal end of the spring should have been placed lower; it would favor root movement (Fig.3 ^). There is 1 mm space between LR4 and 6 (Fig.4); power chain is continuously used. U4s have contacted U6s with rotation. Two (instead of 1) of power chain are placed lingually.
Eleven months post extraction and 1.5 months post posted wires, the anterior diastemata are closing (Fig.5-7). Distalized teeth (canines (3) and 1st bi (4)) have rotation issue.
Thirteen months post extraction and 3 months post posted wires, the anterior spaces are closed (Fig.8), but LL3,4 rotate (Fig.9), which is corrected with rotation wedges after removal of closed coil springs.
Later the anterior spaces relapse, probably due to the large tongue. The latter is corrected with power chains. The retraction should continue until brackets are removed.
Return to Ortho Cases
Xin Wei, DDS, PhD, MS 1st edition 05/28/2016, last revision 11/23/2017