![]() |
![]() |
||
![]() |
![]() |
||
![]() |
![]() |
![]() |
![]() |
![]() |
![]() |
![]() |
![]() |
![]() |
![]() |
![]() |
![]() |
Late Four Bicuspid Extraction
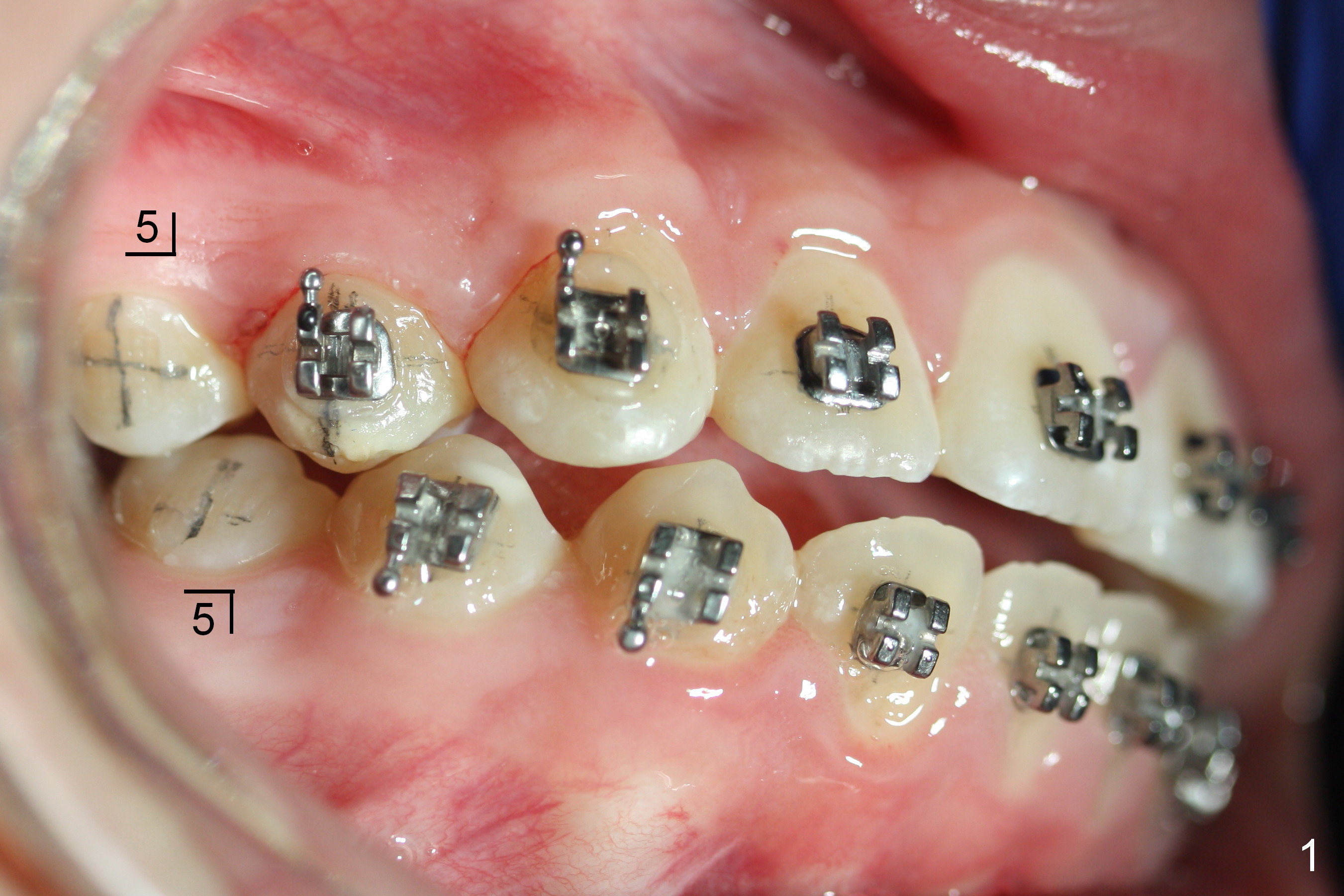
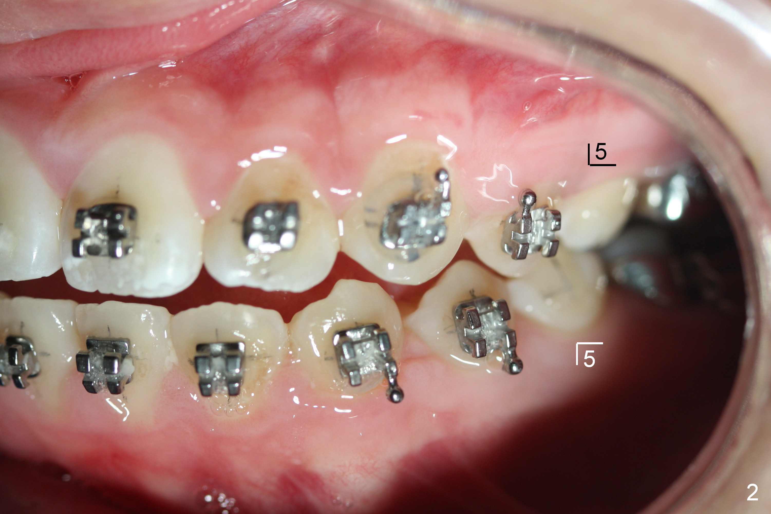
A 15-year-old Spanish female has been in orthodontic treatment for 2 years 3 months (1 2 3). Facial profile is convex (same as preop (Fig.5-8)) with anterior open bite (Fig.1,2). Four bicuspid extraction is considered. Since brackets of the 2nd bicuspids have been lost (Fig.1,2) and there are pathologies associated with the lower ones (Fig.3,4), all of the 2nd bicuspids have been extracted. Plan is to retract the 1st bicuspids, canines and incisors sequentially. How to close the anterior open bite?
Dear Dr. Shaughnessy:
Why does 4 extraction not cause the facial profile concave? I have a case similar to yours. I did not resort to extraction first. When alignment is finished by retracting U3s, facial profile is too convex with anterior open bite. Then 4 bi have to be extracted (in fact 2nd bi have been extracted due to pathology and debracketing). But I am wondering how to close the anterior open bite. Can you look at the case and give me advice?
I went to your web site and looked at all 4 points in time. If you simply close the space, the anterior teeth will be retracted some. As they are retracted, the incisal edges change vertically in a way that the bite deepens. In #3 (out of 4), I thought that the bite was improving enough that you may not extract. You fooled me!Fig.9-12 are taken 4 weeks post extraction (2 years 4 months after Fig.5-8).
Approximately 4.5 months of power chains between 4s and 6s buccally, U4s contact U6s with rotation (Fig.13,14), while L4s have 1-2 mm to be distalized (Fig.15,16). With placement of lingual buttons on U4s and power chains lingually, the rotation should be corrected. The rotation wedges were placed with ligature wire on the left in the last visit. The patient returns 3 weeks later.
Return to Professionals,
Assistants' ortho Cases
Xin Wei, DDS, PhD, MS 1st edition 12/13/2015, last revision 05/28/2016