Treatment plan for Nathalie (12 years 9 months old) after banding & bracketing (Visit 1 (Fig.1-3, 7 and 8): use 14 niti)

  1. Will the upper anterior teeth erupt more following wire sequence (as wires become straightened, thicker and stiffer, Fig.1)?
  2. On bracketing, u1,2s are not level (upper central and lateral incisors, Fig.2).  On Visit 2, 3 or later, they are expected to be at the same level
  3. Pre-operatively, the upper and lower anterior teeth edge to edge (Fig.3: u1 vs. l1).  Do we need to add composite on posterior occlusal surfaces for the upper anteriors to move labially?  To be decided on Visit 2
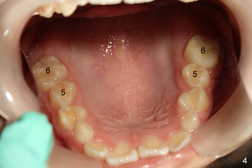
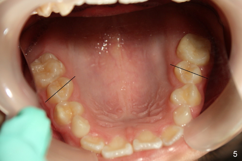
  4. Upper 2nd bicuspids (u5s) rotate (Fig.4, 5). Use power chains (Fig.6 different case) to correct rotation quickly to use E space to facilitate u3s eruption (Visit 2)
  5. Use rotation wedge for u1s or lower one(s) if necessary (Fig.7, 8; Visit 2)
  6. 4,4,5,4.5,4 mm bracketing will lead to open bite?
  7. Expand spaces for u3s using 18 ss wire until they erupt (Fig.1-3, 7; Visit 3)
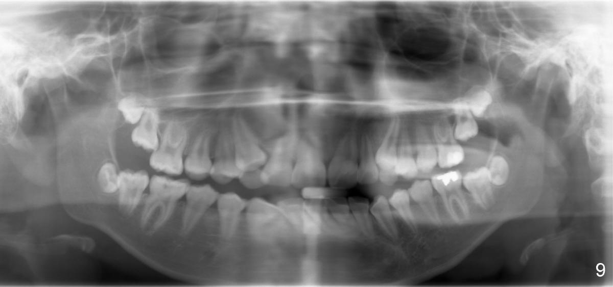
  8. Every visit change lower wires until rectangular wires for lower, later as an anchorage to retract u3s downward (Fig.9 preop pan)

Return to Ortho Cases

Xin Wei, DDS, PhD, MS 1st edition 08/16/2013, last revision 12/07/2013