![]() |
![]() |
![]() |
![]() |
![]() |
![]() |
![]() |
![]() |
![]() |
|
![]() |
![]() |
![]() |
![]() |
Apical Repositioning Flaps for Ortho
Three months post bracketing, spaces have been gained for U3s, which have erupted initially (Fig.1,2; arrowheads in Fig.2 denote the attached gingiva). UL C has exfoliated. The patient is 13 years old.
Two oblique incisions were made mesial and distal to UR3 (Fig.3). The mucoperiosteal flap (Fig.3 arrow; Fig.4 F) was raised and pushed apically for bracket placement. Following extraction of UR C, one-fourth inch elastics were placed between U3 and L3,4 (Fig.5,6). The patient was instructed to wear the elastics 24 hours per day. The upper wire is .018 ss with open coil springs, while lower .020.
Eight days postop, the apical repositioning flaps have healed (Fig.7,8 *). The patient feels that U3s have been erupting more.
Two months postop, the canines have erupted substantially (Fig. 9 (downward arrow), 10, as compared to Fig.7,8). Since the long axis of the canines is oblique, the patient is instructed to wear elastic downward and backward (Fig.10 oblique arrow).
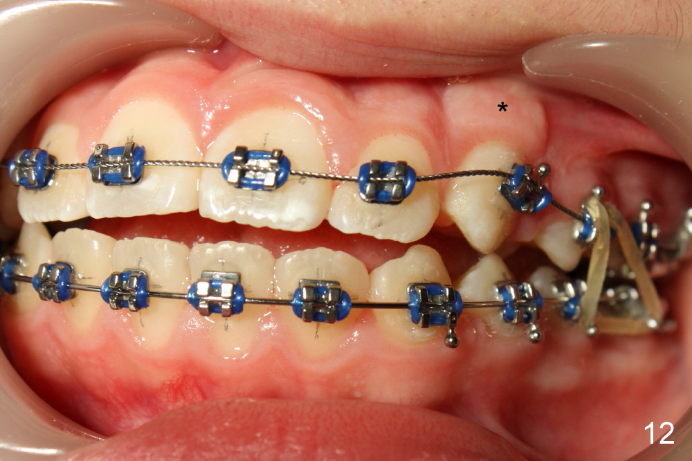
The canines are continually erupting 3 months of elastics (Fig.11,12). A flexible wire (.0175' twisted wire) is installed for the upper arch for further orthodontically-assisted eruption (Fig.12).
One month later, the canines has erupted completely at the expense of aggravation of anterior open bite (Fig.13,14, compare to Fig.11,12). Elastics are placed between the upper and lower incisors (Fig.14) following placement of .016' stainless steel wire for the upper arch (Fig.13).
Return to Ortho Cases
Xin Wei, DDS, PhD, MS 1st edition 12/06/2013, last revision 03/23/2014