| Preop | Postop |
![]() |
![]() |
![]() |
![]() |
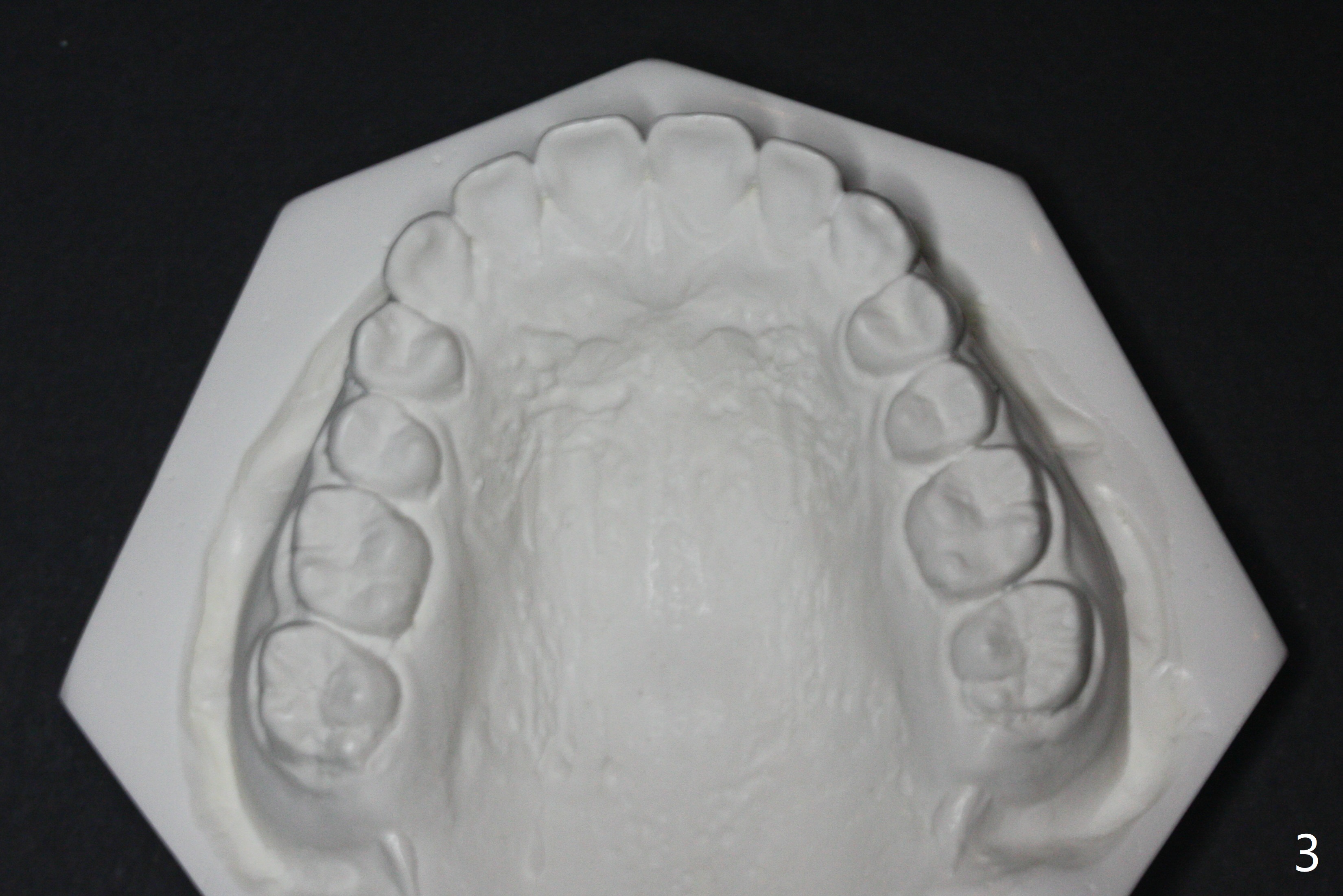
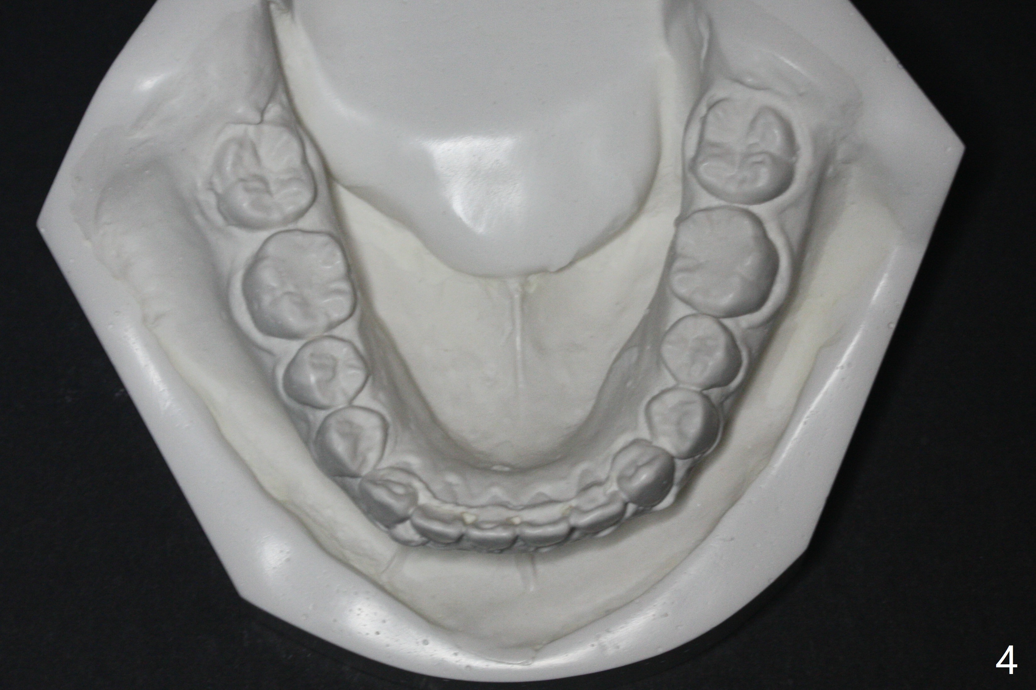
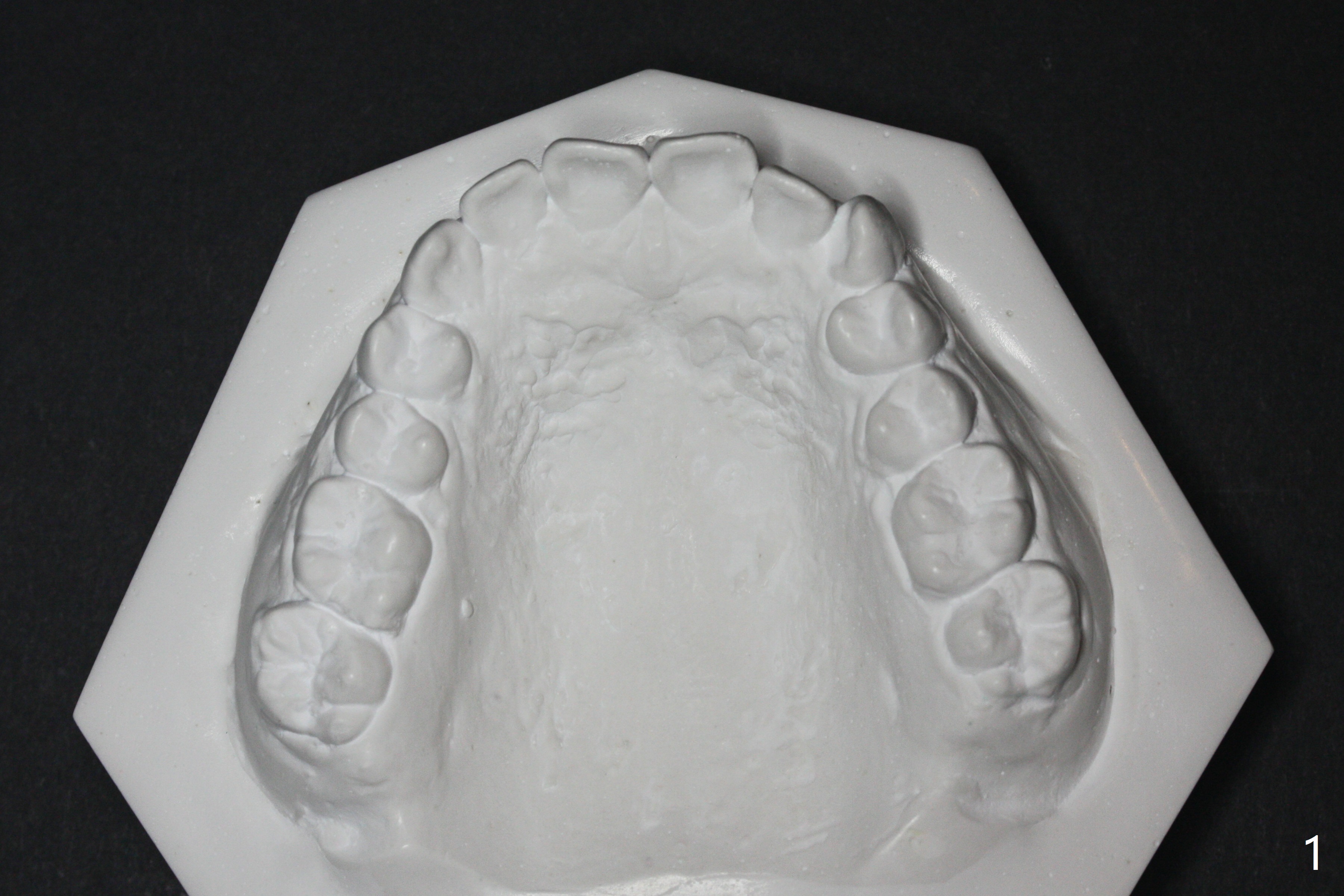
Prevent Relapse
Since the lower anterior crowding is severe for a 15-year-old girl (Fig.2), lingual retainer is chosen for the lower arch (Fig.4), while a suck down one for the upper (Fig.1,3). No composite is applied to LR2 because the retainer wire adapts to the tooth nicely (Fig.4). In fact Dr. Shaughnessy does not apply composite to LL2 as well.
Return to Ortho Cases
Xin Wei, DDS, PhD, MS 1st edition 10/09/2017, last revision 03/25/2018