![]() |
![]() |
![]() |
![]() |
|
![]() |
![]() |
![]() |
||
![]() |
![]() |
|||
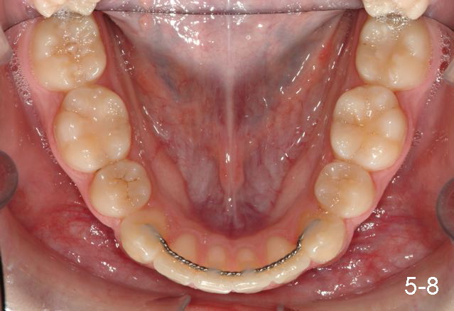
Final: Lingual Retainer
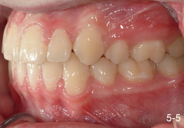
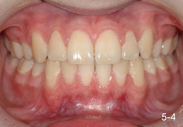
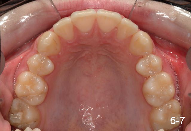
December 22, 2014. Click each photo for before and after comparison.
Note the feature of hygienic lingual retainer (Fig.5-8).
Return to Dr. Shaughnessy
Prevent Relapse
Xin Wei, DDS, PhD, MS 1st edition 12/26/2014, last revision 03/25/2018