![]() |
![]() |
![]() |
![]() |
![]() |
![]() |
Does Upper Arch Expansion Cause Buccal
Plate Loss?
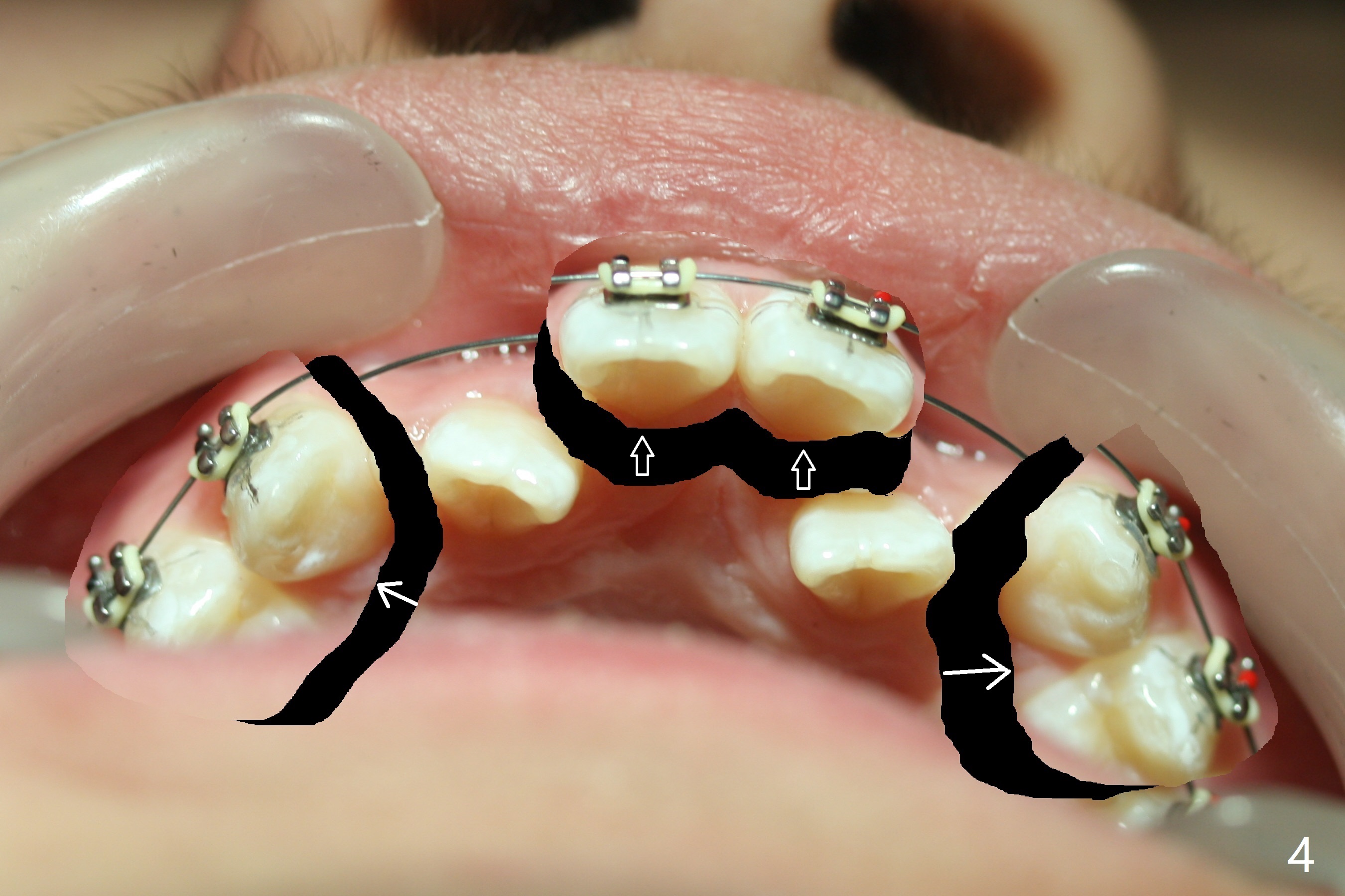
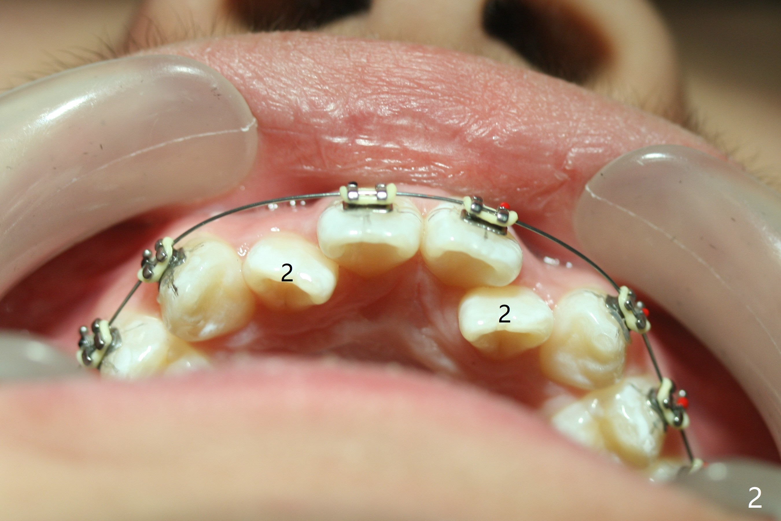
Cephalometric analysis shows Class III skeletal relationship. The roots of the upper anterior teeth (Fig.1,3 *) are prominent before treatment. In order to correct the cross bite of U2s (Fig.2,5), the upper arch needs expansion (Fig.4). Will the arch expansion cause buccal plate loss of the upper teeth? The upper dental midline matches the lower one by using the left open coil spring only (4 months 10 days post banding, Fig.6).
Return to Ortho Cases 2nd Molar Band Xin Wei, DDS, PhD, MS 1st edition 02/15/2019, last revision 08/22/2020