![]() |
![]() |
![]() |
![]() |
![]() |
![]() |
![]() |
![]() |
![]() |
|||
![]() |
![]() |
![]() |
|||
Left Open
Coil Spring First
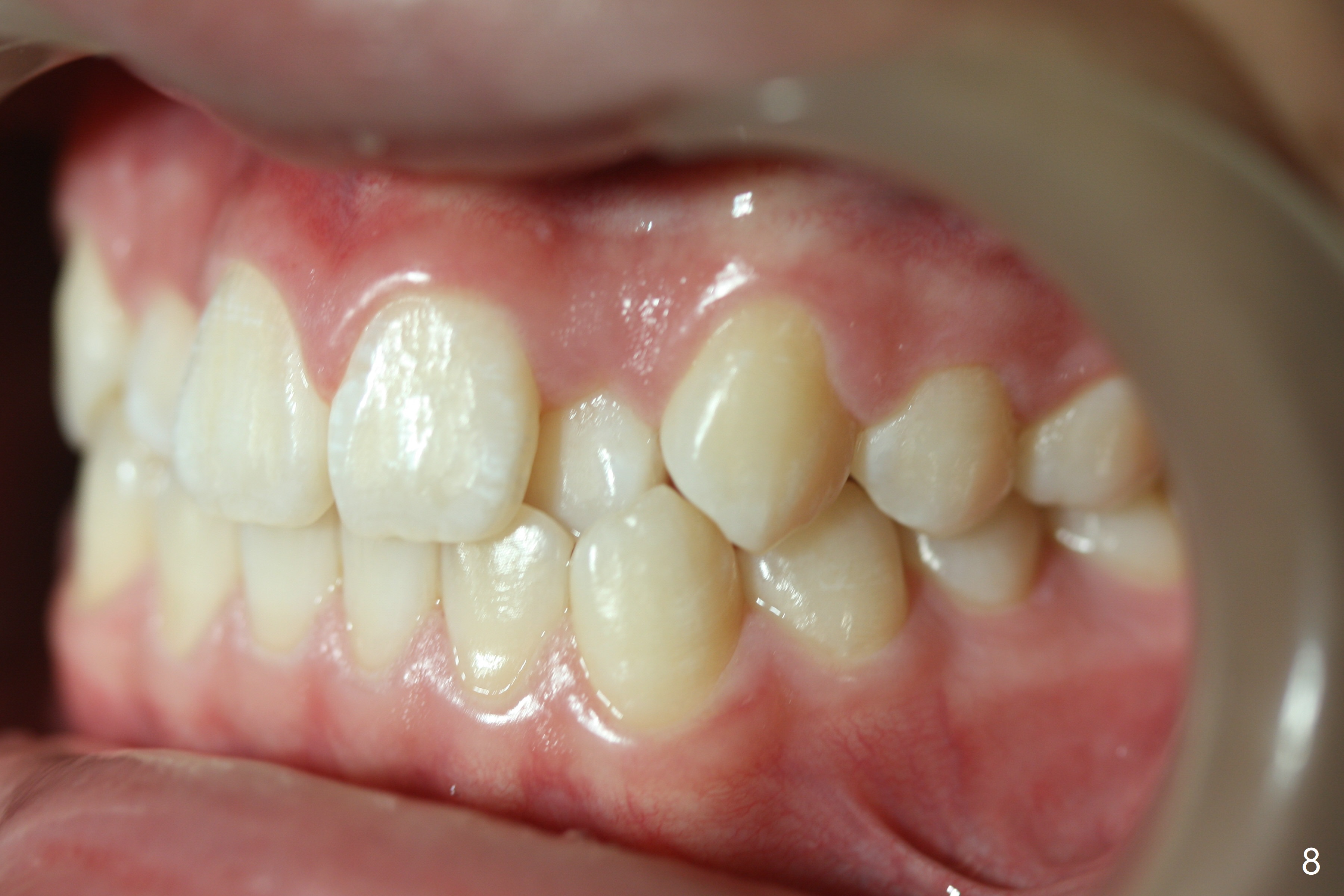
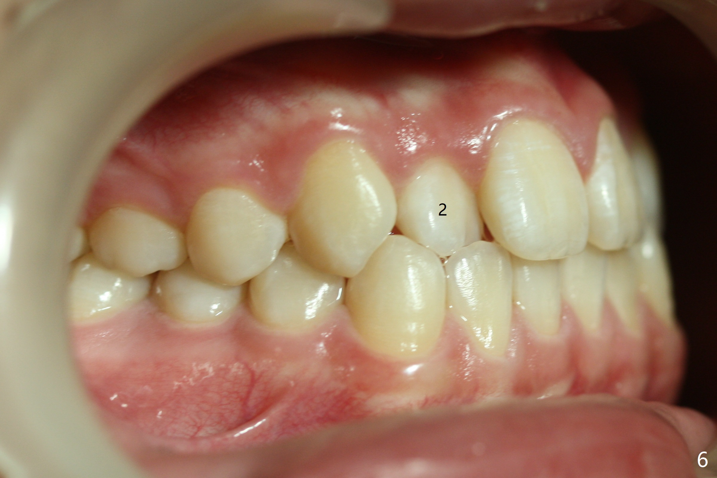
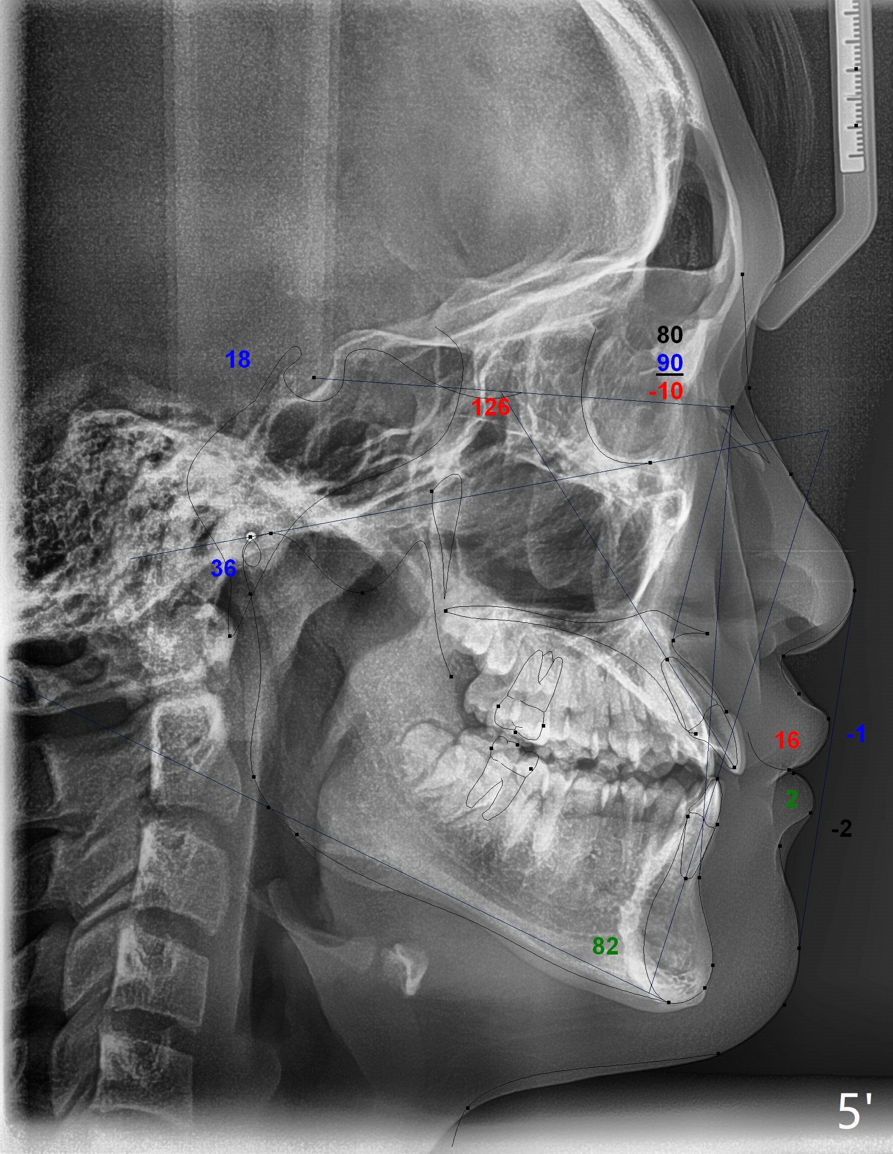
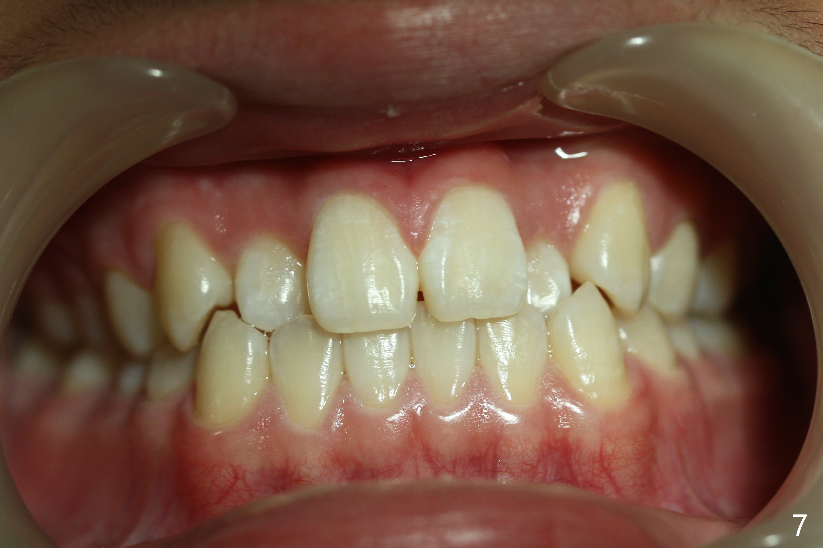
The upper dental midline of a 14-year-old man deviates the left (Fig.1,2,8) with midfacial concavity (Fig.3,4). The upper lateral incisors have cross bite, more severe on the left (Fig.6-8). Can we use open coil spring on the left first, a few months before the right, more or less to help correct the upper midline deviation? Cephalometric analysis shows Class III skeletal relationship (Fig.5,5',11).
Return to
Ortho Cases
2nd Molar Band Elder Brother:
Sling Shot
Model
Necrosis
Xin Wei, DDS, PhD, MS 1st edition
02/09/2019, last revision
08/22/2020