矫正前后

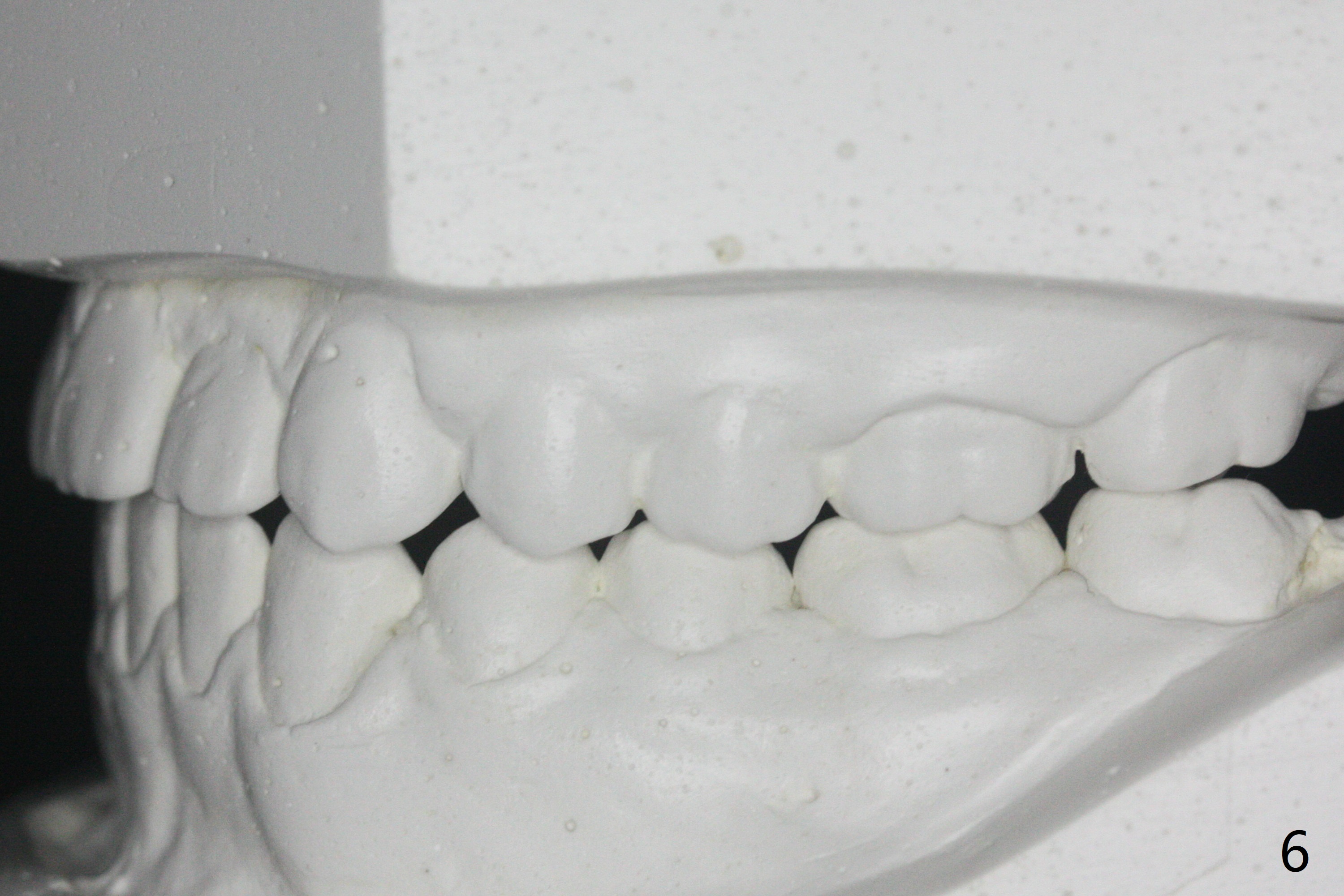
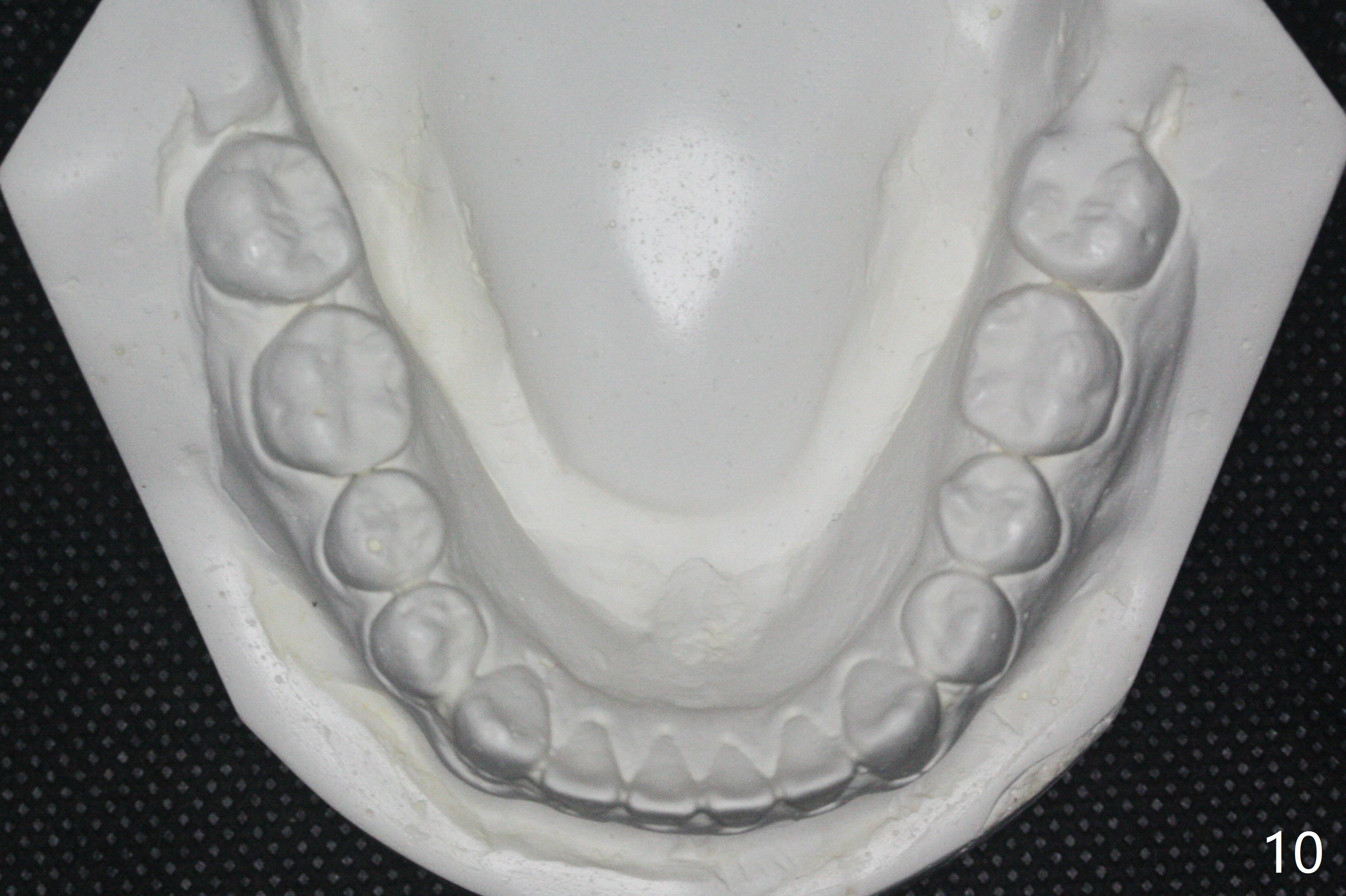
15岁男完成矫正1年9月,右侧后牙咬合理想(图二),上中切牙长轴改善,侧切牙torque不够完善(图四),左侧后牙咬合二类𬌗(图六,需要牵引),磨牙缝隙大(图八,十),造成食物堵塞,以后尽量避免使用磨牙bands,尤其是成人。

Return to Ortho Cases
Xin Wei, DDS, PhD, MS 1st edition 12/20/2020, last revision 12/20/2020