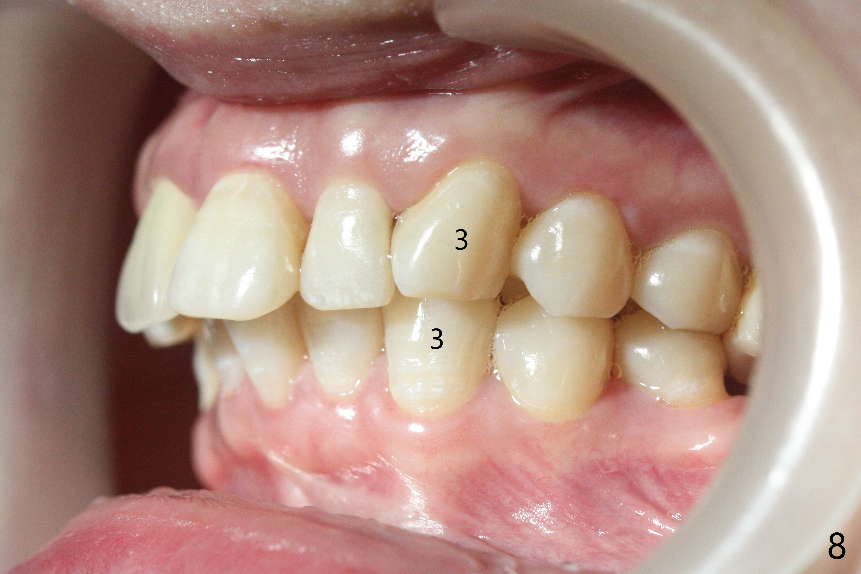
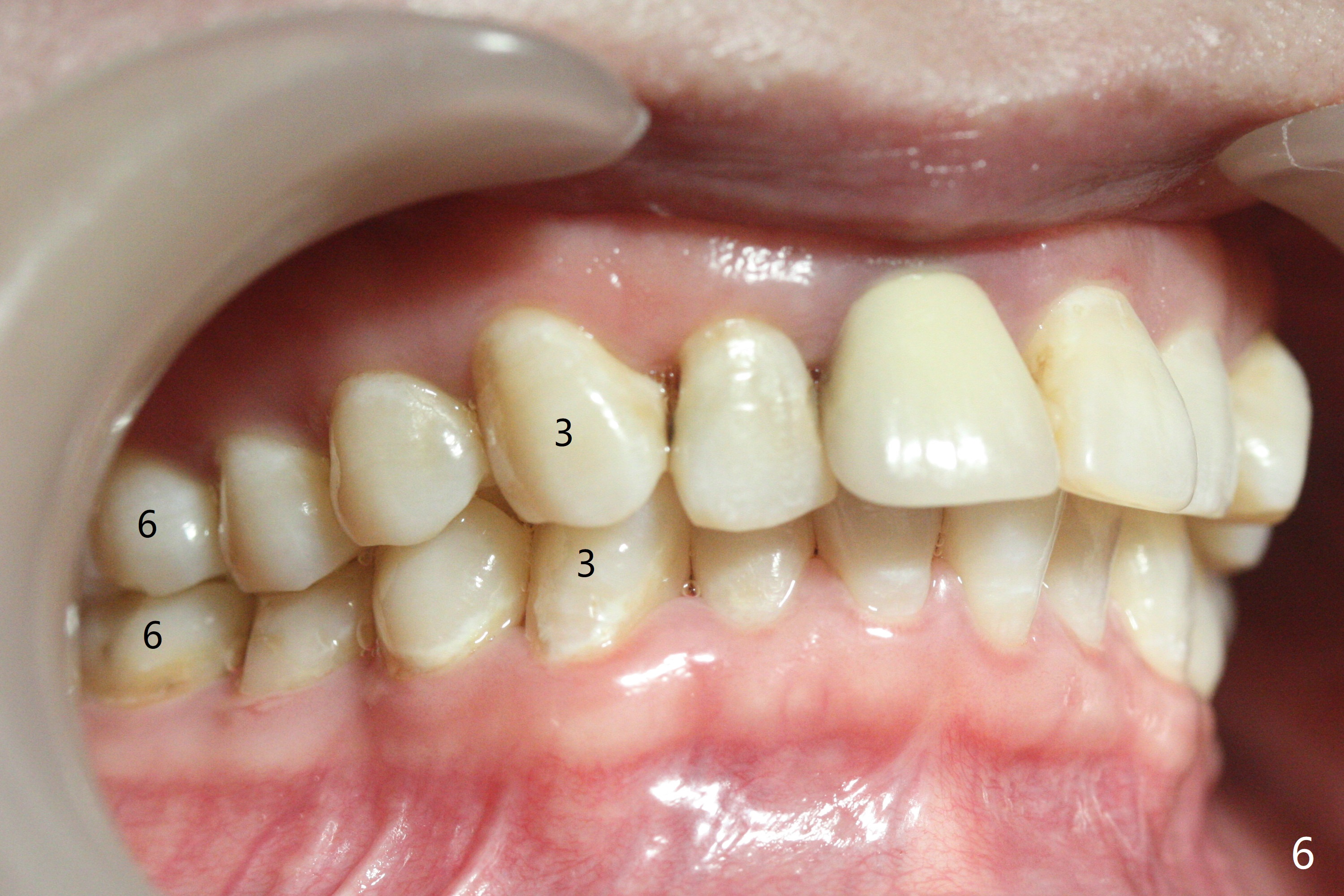
二类错𬌗
31岁女面部还匀称(图一,二,四,五),但是二类错𬌗严重(图三,六至十),应尽早做二类牵引。压低左上6是 头等大事。磨牙间隙不容易产生,为了避免矫正后磨牙间隙问题,不放置磨牙bands,在右上,右下6,左上6,7放置矫正器,再次使用12niti弓丝。
Return to Ortho Cases 刚完成病例(有磨牙间隙)植牙,导板与正畸 Xin Wei, DDS, PhD, MS 1st edition 12/08/2020, last revision 01/08/2021