![]() |
![]() |
![]() |
Necrosis of Lateral Incisor after Ortho
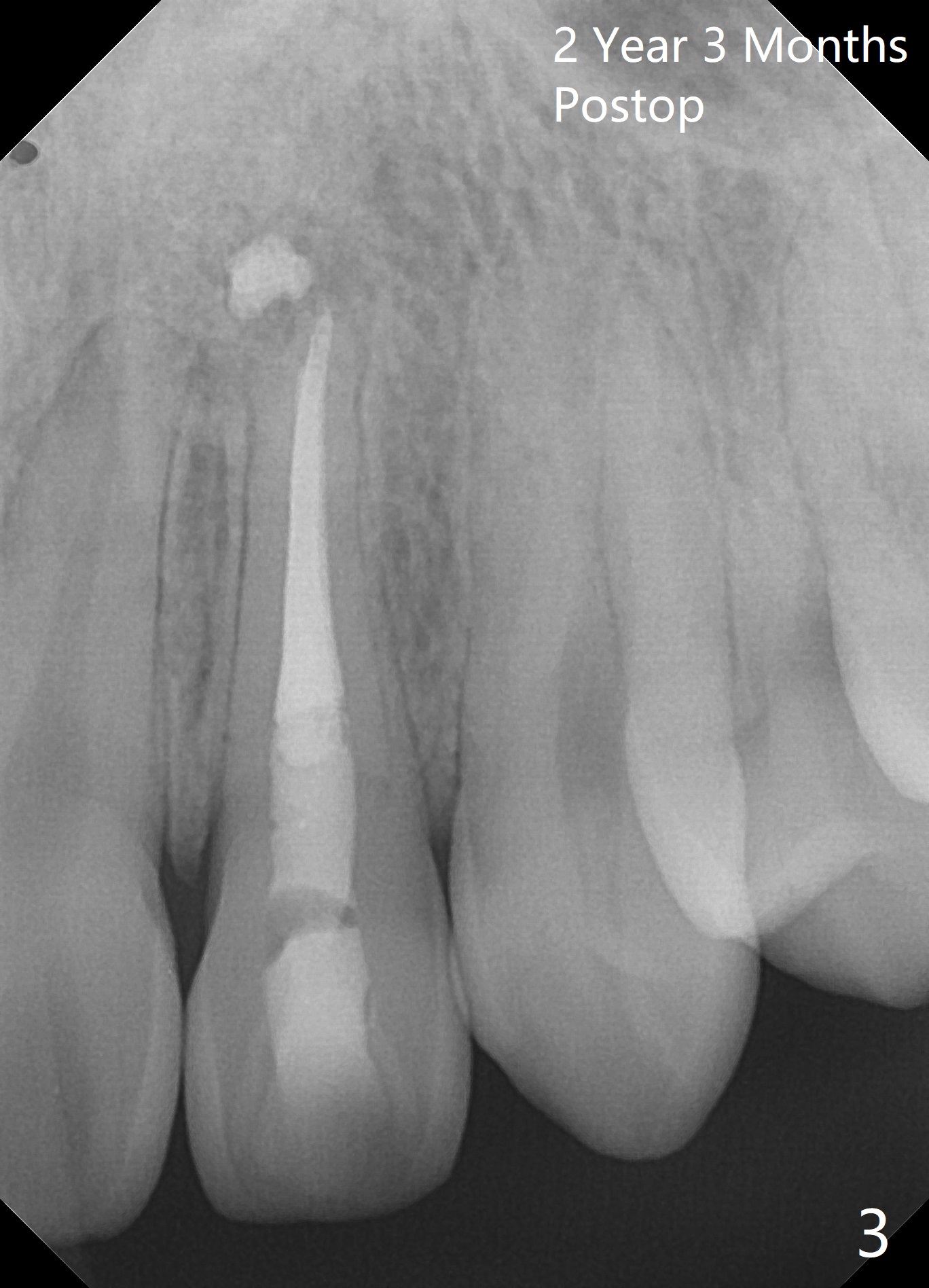
A 18-year-old man develops acute apical periodontitis at #10 several years after phase I and II orthodontic treatment. Fig.1 is taken immediately post RCT with #70 master gutta percha (GP) and 2 medium and 1 fine fine accessory GP. Periapical radiolucency reduces 1 year 9 months postop (Fig.2). The patient reports occasional tingling 2 years 3 months postop (Fig.3).
Return to
Ortho Cases
Xin Wei, DDS, PhD, MS 1st edition 09/02/2017, last revision 11/27/2019