![]() |
![]() |
![]() |
![]() |
![]() |
![]() |
![]() |
![]() |
||
![]() |
![]() |
![]() |
||
![]() |
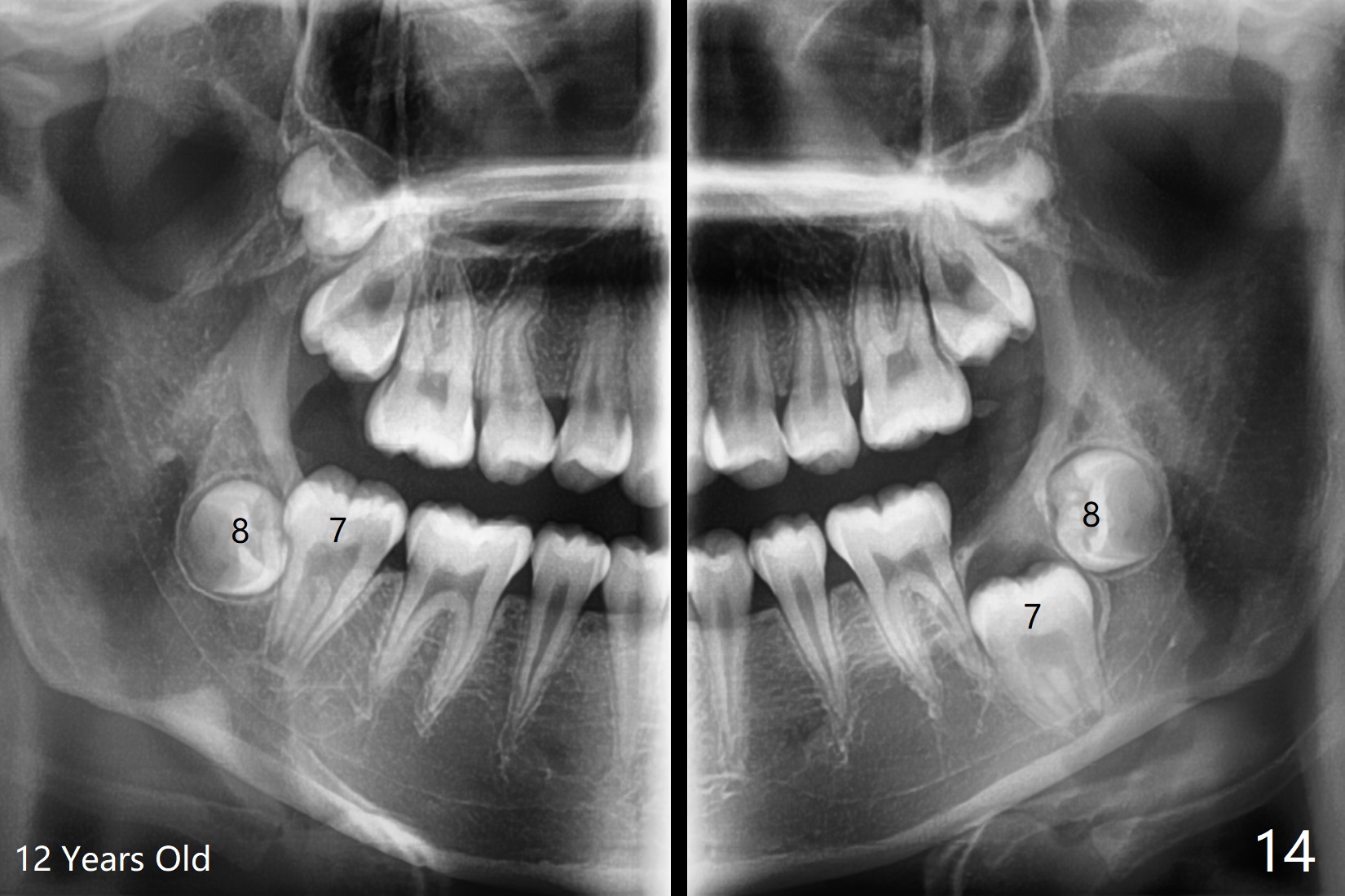
![]() |
![]() |
||
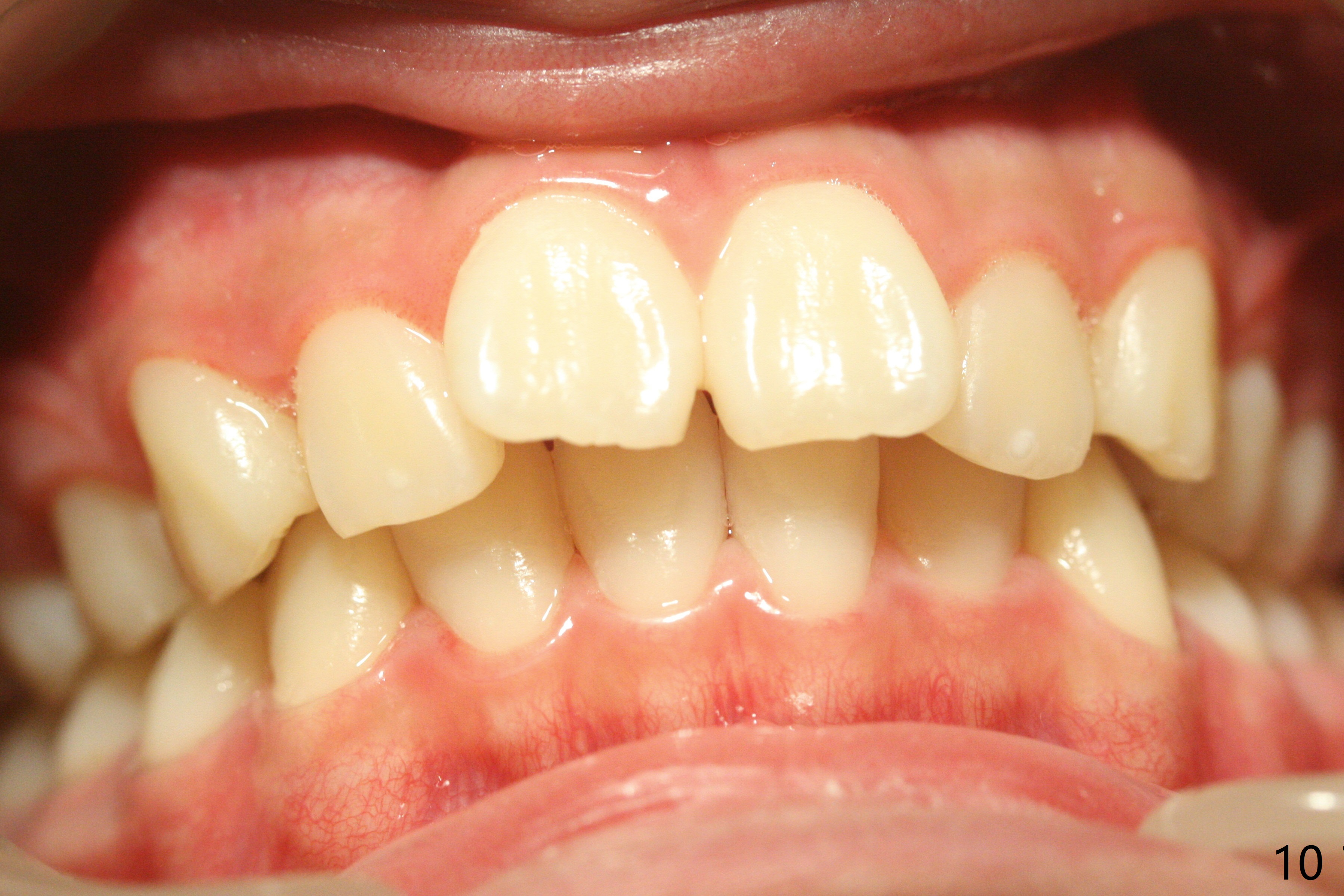
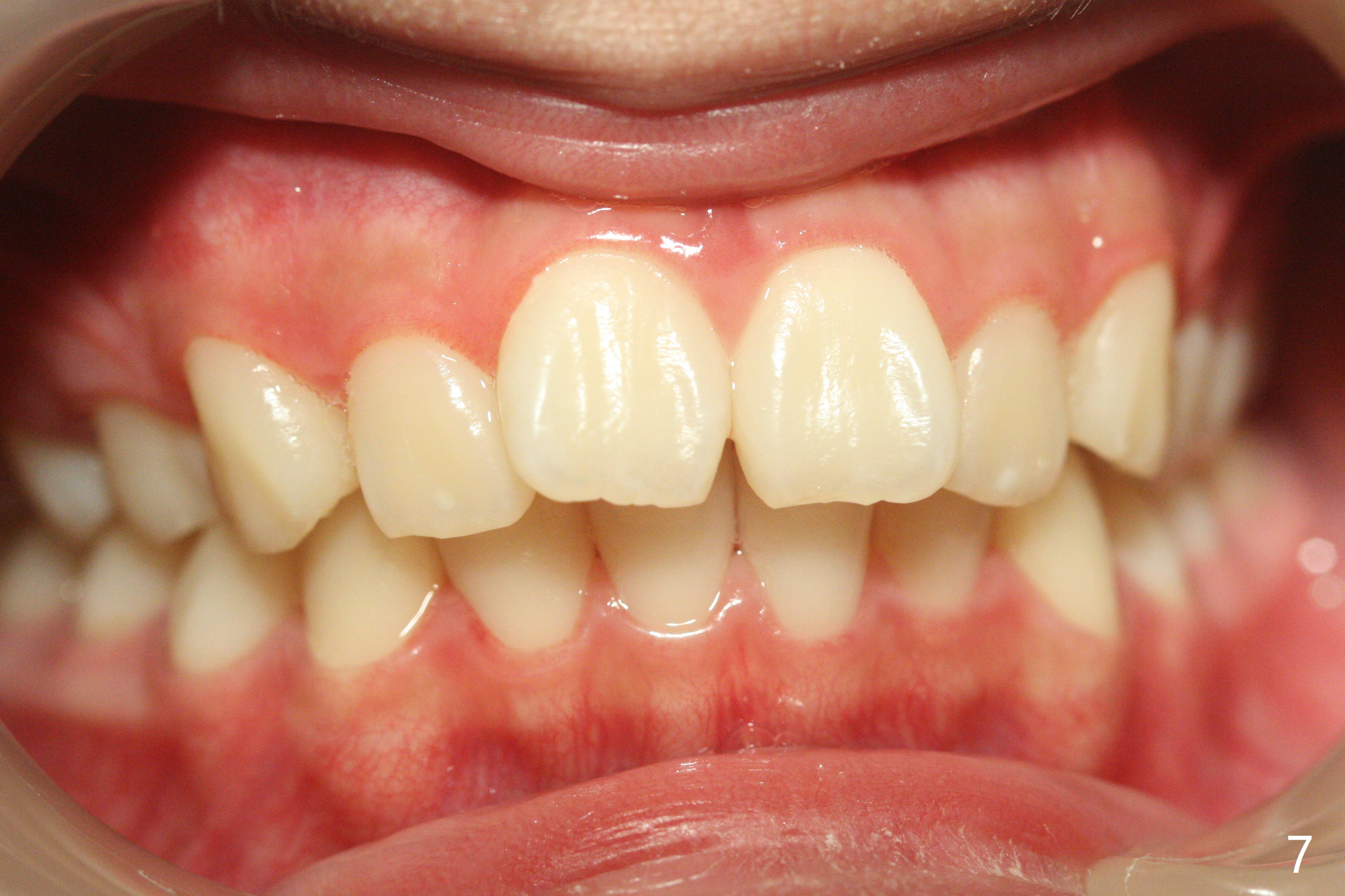
Facial Class I Occlusal Class II
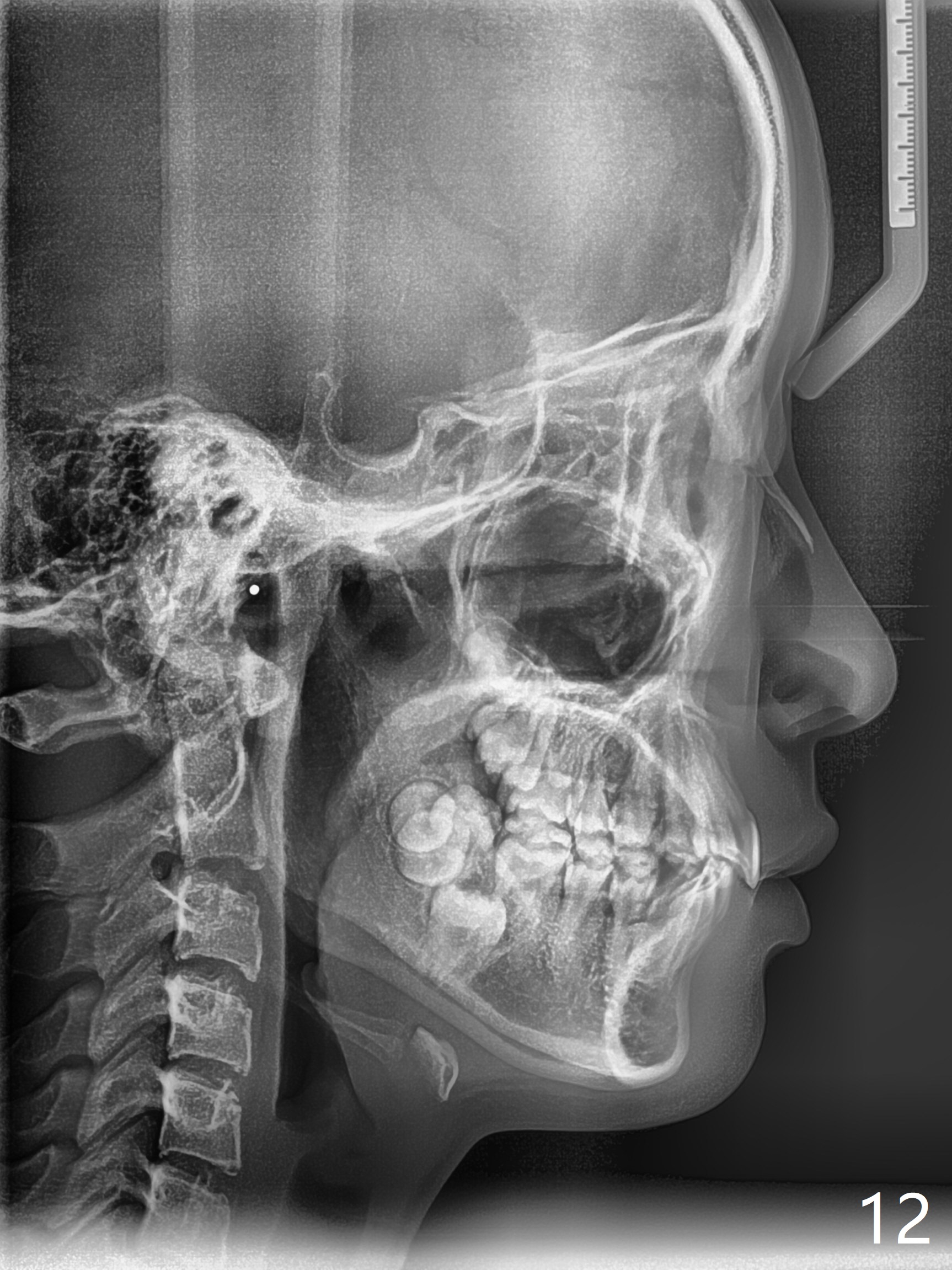
A 12-year-old woman has Class I facial profile (Fig.1-4,12,13) and apparently Class II Division I malocclusion (Fig.6-11). Start Class II retraction as early as possible to take advantage of the upper and lower posterior diastemata (Fig.9,11 (in fact there is no diastema)). LL7 impaction is noted immediately prebanding (Fig.14). Surgical access is pending.
Return to Ortho Cases Xin Wei, DDS, PhD, MS 1st edition 06/17/2020, last revision 06/30/2020