![]() |
![]() |
![]() |
![]() |
![]() |
![]() |
![]() |
![]() |
![]() |
![]() |
![]() |
![]() |
Remove Block to 2nd Molar Eruption
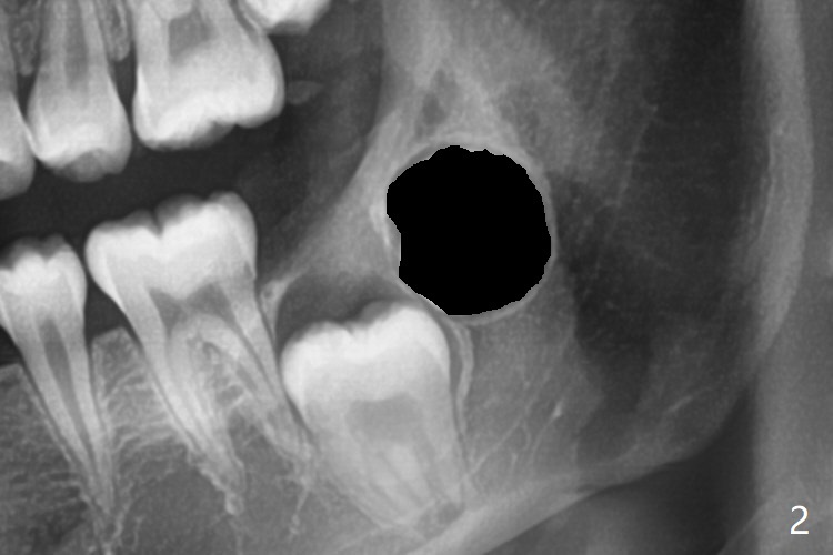
Treatment planning of surgical access to the impacted 7 (Fig.1) before CT analysis (to be canceled due to finance) include extraction of 8 (Fig.2) and removal of the bone coronal to 8 (Fig.3 red) so that there will be no bony block to 7 eruption (Fig.4). Place PRF or collagen plug in 8 socket to facilitate healing (Fig.3). Attach a retraction chain to the occlusal or buccal surface of 7 (Fig.6 pink) whenever it is convenient in term of hemorrhage and access (as mesial as possible). Remove 16 niti wires for brushing when the patient arrives. Cut 18 ss wire longer in the LL end (Fig.6 green to be bent to hook power chain (yellow)). Incision is shown as red in Fig.5. After 3 month delay, the thick buccal plate is removed from LL8 (1st) and 7 (2nd in sequence, as compared to Fig.2) to expose these unerupted teeth. In fact CT is not taken to decrease budget on the divorcing parents. A retraction chain is placed before extraction of LL8 with an intention to reduce hemorrhage (Fig.7). Although extraction requires several sectioning of the tooth, hemorrhage is mild to moderate. Instead of PRF and sticky bone (as compared to Fig.3), Osteogen plug is placed in the socket (Fig.8 OP). The bony septum between the 2 sockets is intentionally kept in place (*). 事实的确这样发生(图九:*)。埋伏牙不仅上移(^),而且远中移动(>),因为牵引方向(红虚线(橡皮筋),挂在上牙弓丝(图九:20ss:图十:18ss(之前))远端勾,积极牵引三个星期)。下次左上7放置舌侧纽扣,让病人更换橡皮筋。其实纽扣粘不住,上牙弓丝远中勾也不现实,只能使用橡皮筋挂在左上6,经常断。术后6个月,左下7继续上移(图十一)。这种低效率牵引仍然有效,牙齿继续上移,牙根长长(图十二:空箭头),但是受到左下6远中阻挡(*),所以下次在左上7咬合面装置舌侧纽扣和closed spring,改善牵拉方向(红箭头)。
Return to
Ortho Cases
Necrosis
植牙,导板与正畸
Xin Wei,
DDS, PhD, MS 1st edition 06/30/2020, last revision
06/26/2021