![]() |
![]() |
![]() |
![]() |
![]() |
![]() |
![]() |
![]() |
![]() |
![]() |
![]() |
![]() ![]() |
Extraction Simplifies Treatment
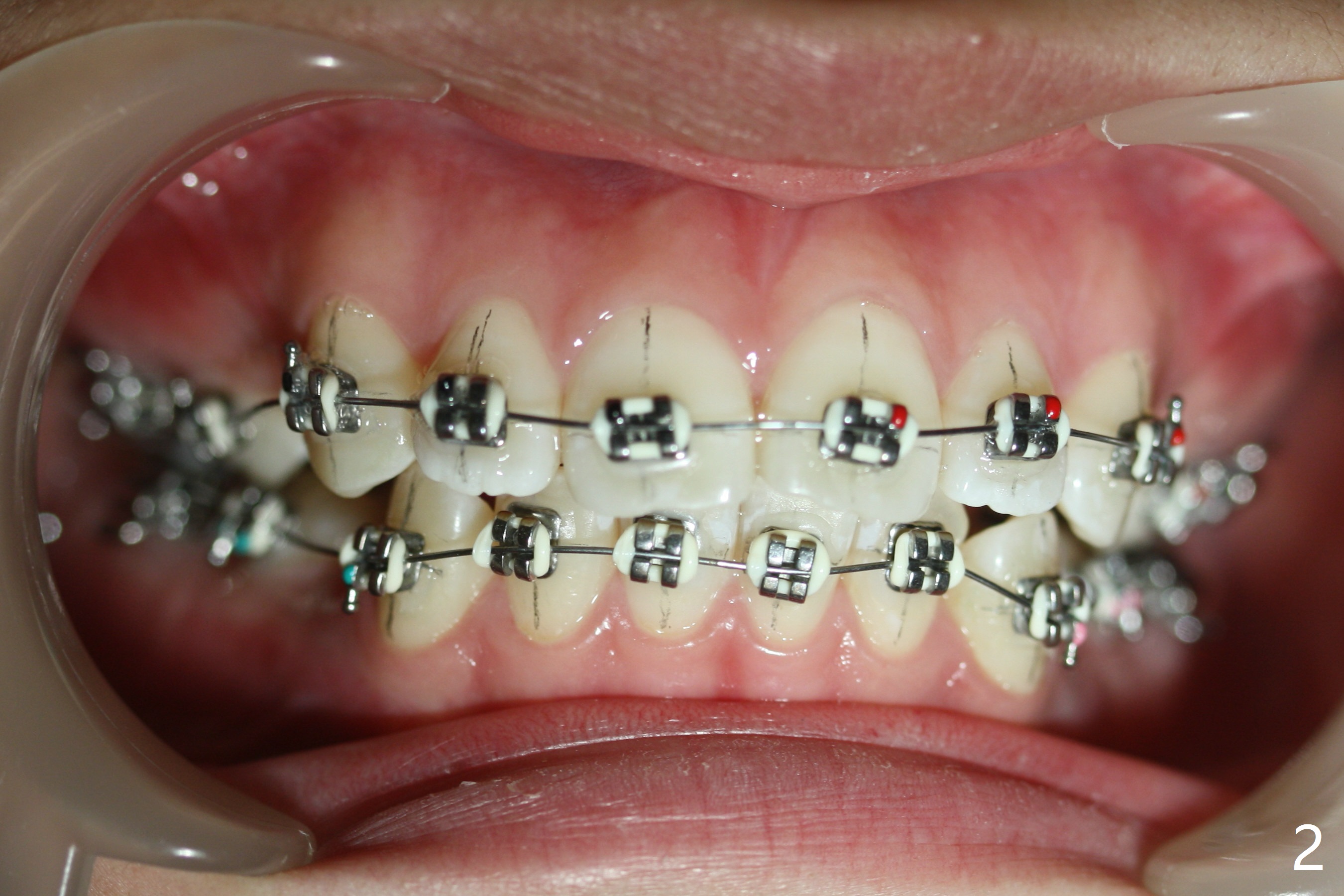
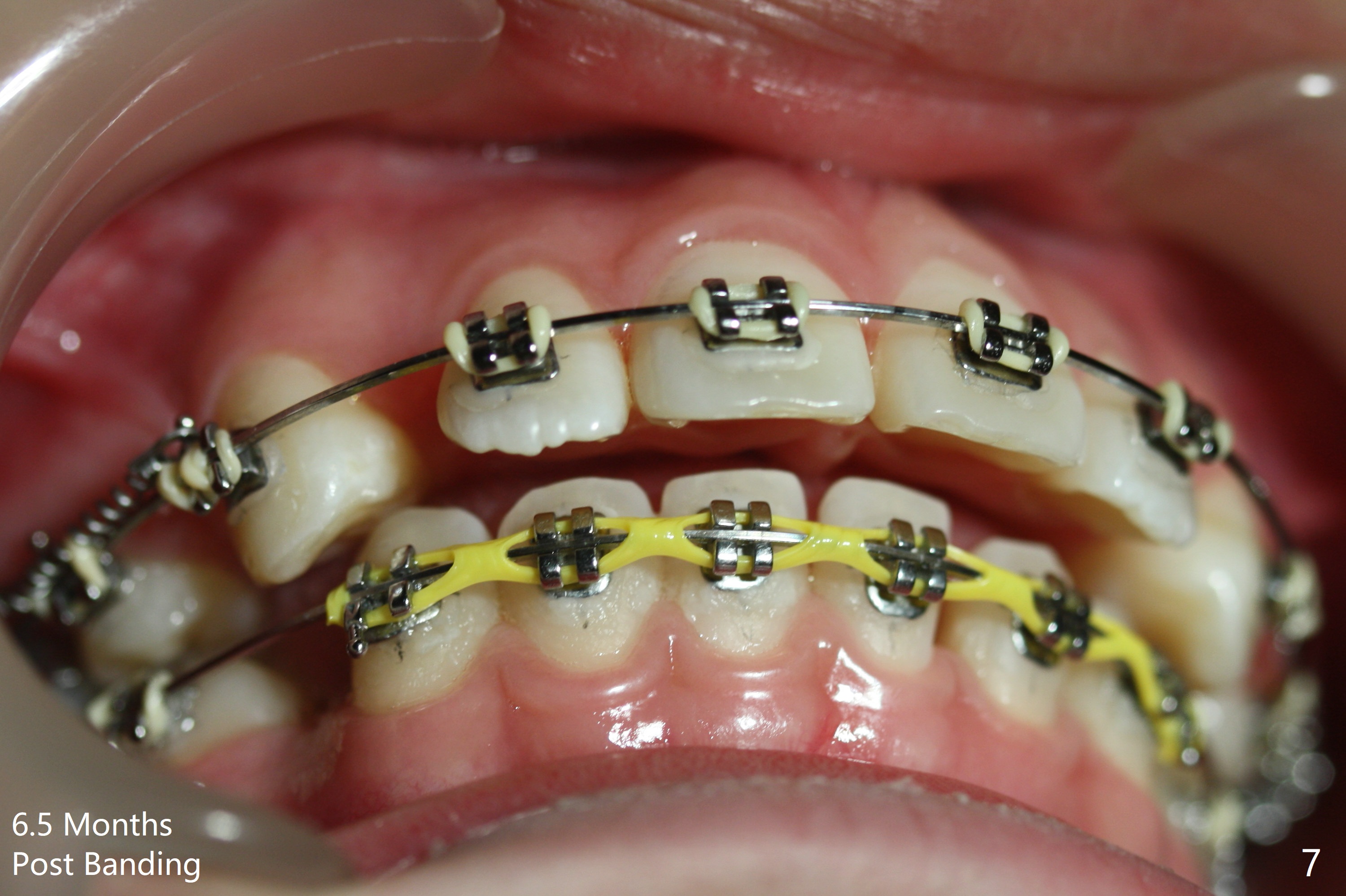
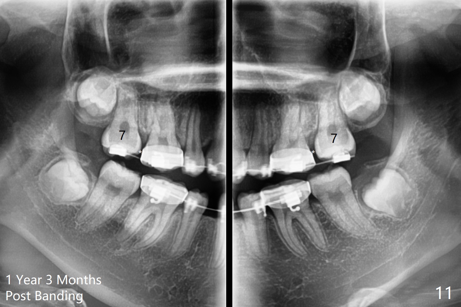
Two weeks post extraction of 4 bicuspids, brackets and bands are placed in 20 teeth (Fig.1-3, 14 niti). No bands are placed at 7s because of short crowns and tight contacts. When 16x16 wires are used, start Class II retraction. The latter is initiated with elastics when 18 ss wires are placed (Fig.4,5). U3s have been distalized with closed springs for 3 months (Fig.6,7). U2s are close to distalization 13 months post banding, 3.5 months post posted wire (Fig,8,9) with overjet (Fig.10). Class II retraction is re-initiated. When the upper incisors are retracted, the anterior overjet remains large. It appears that U6s have been retracted anterior, as indicated by the space between U6/7 (Fig.11), because of no use of U7s as anchors. Brackets are just placed with 18 niti arch wire. They will be retracted distal using the rest of the upper teeth and lower teeth (using Class II retraction) as anchor. There is root resorption of the upper anteriors 2 years 1 month post banding (Fig.12,13).
Ortho Cases Xin Wei, DDS, PhD, MS 1st edition 08/01/2018, last revision 09/05/2020