![]() |
![]() |
![]() |
![]() |
![]() |
![]() |
![]() |
![]() |
![]() |
|||
![]() |
![]() |
![]() |
|||
Extraction for Facial Profile
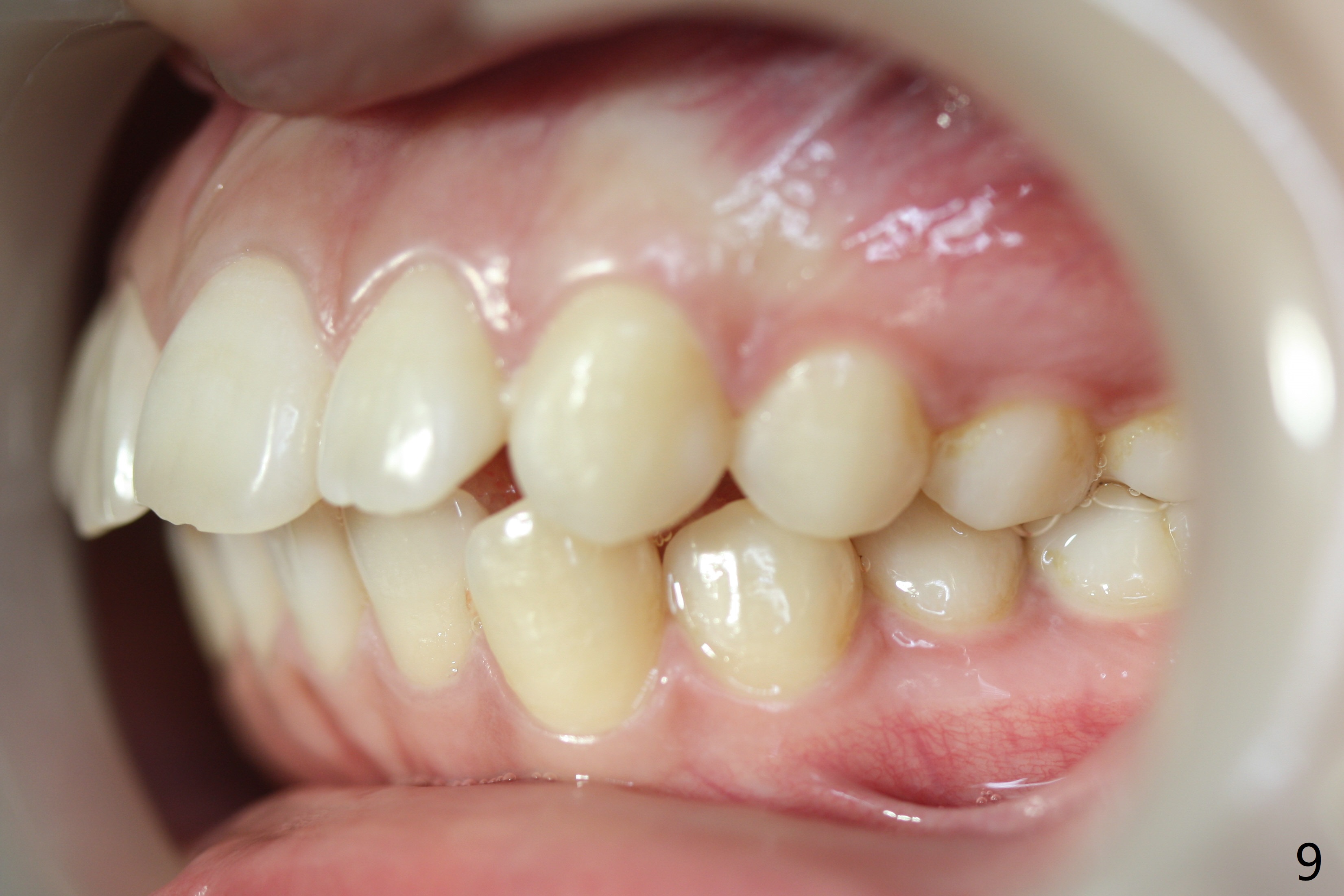
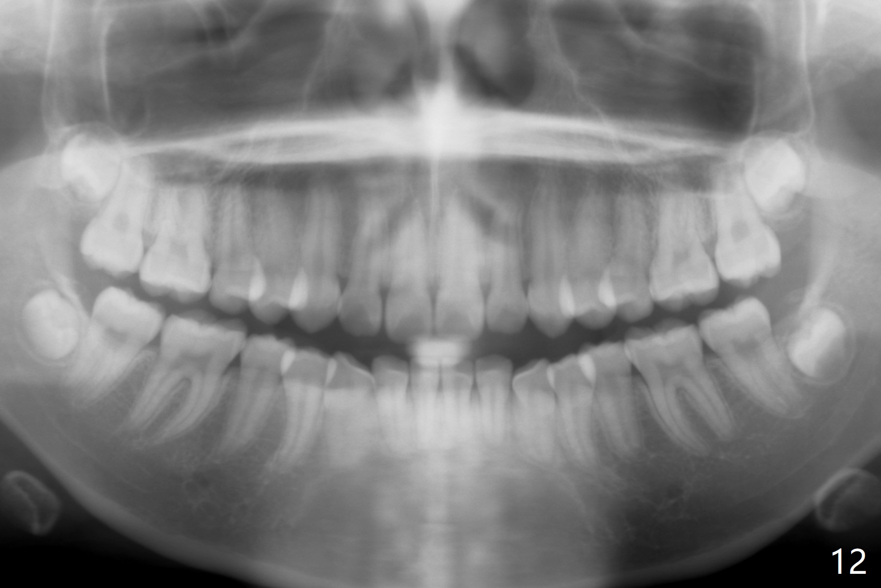
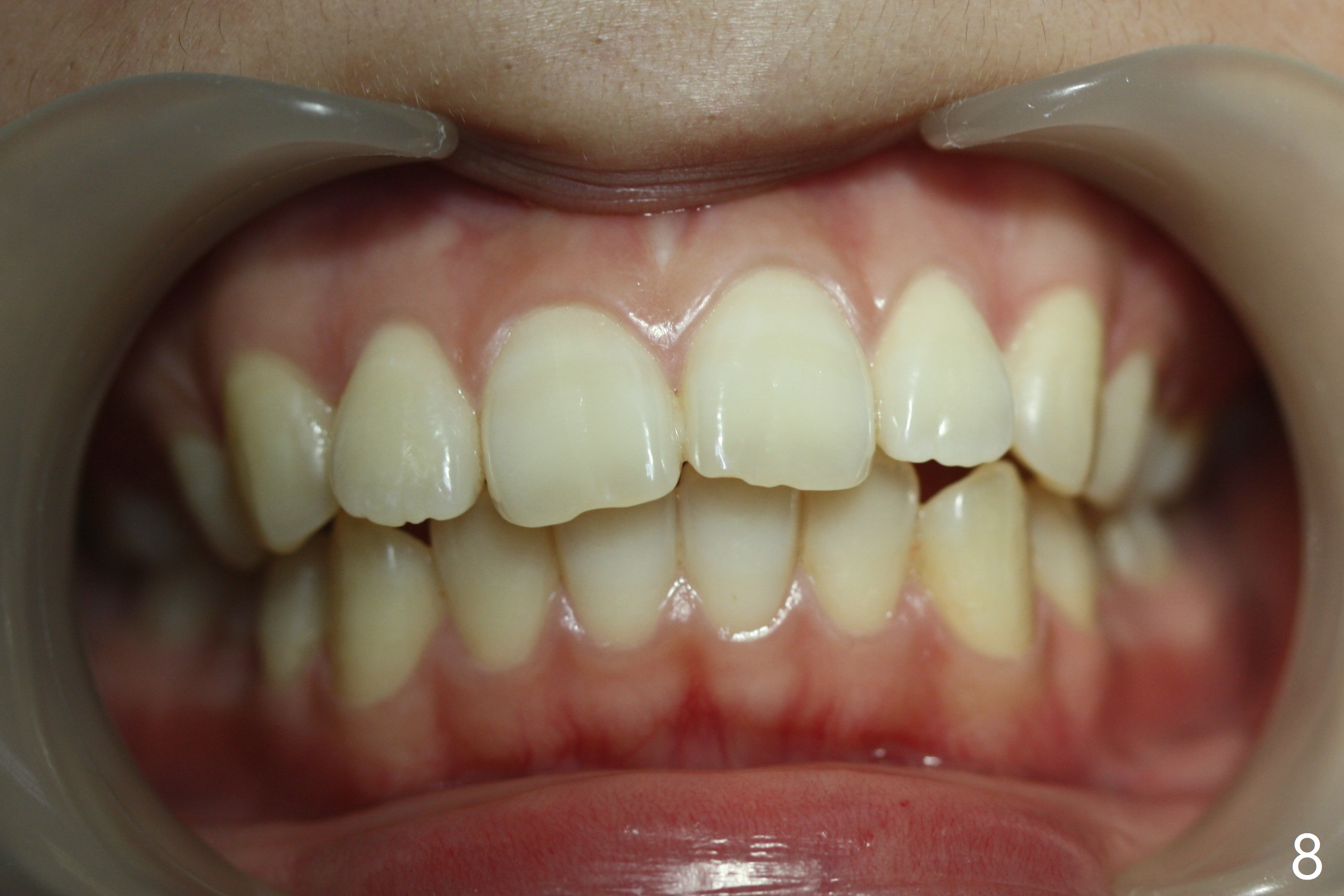
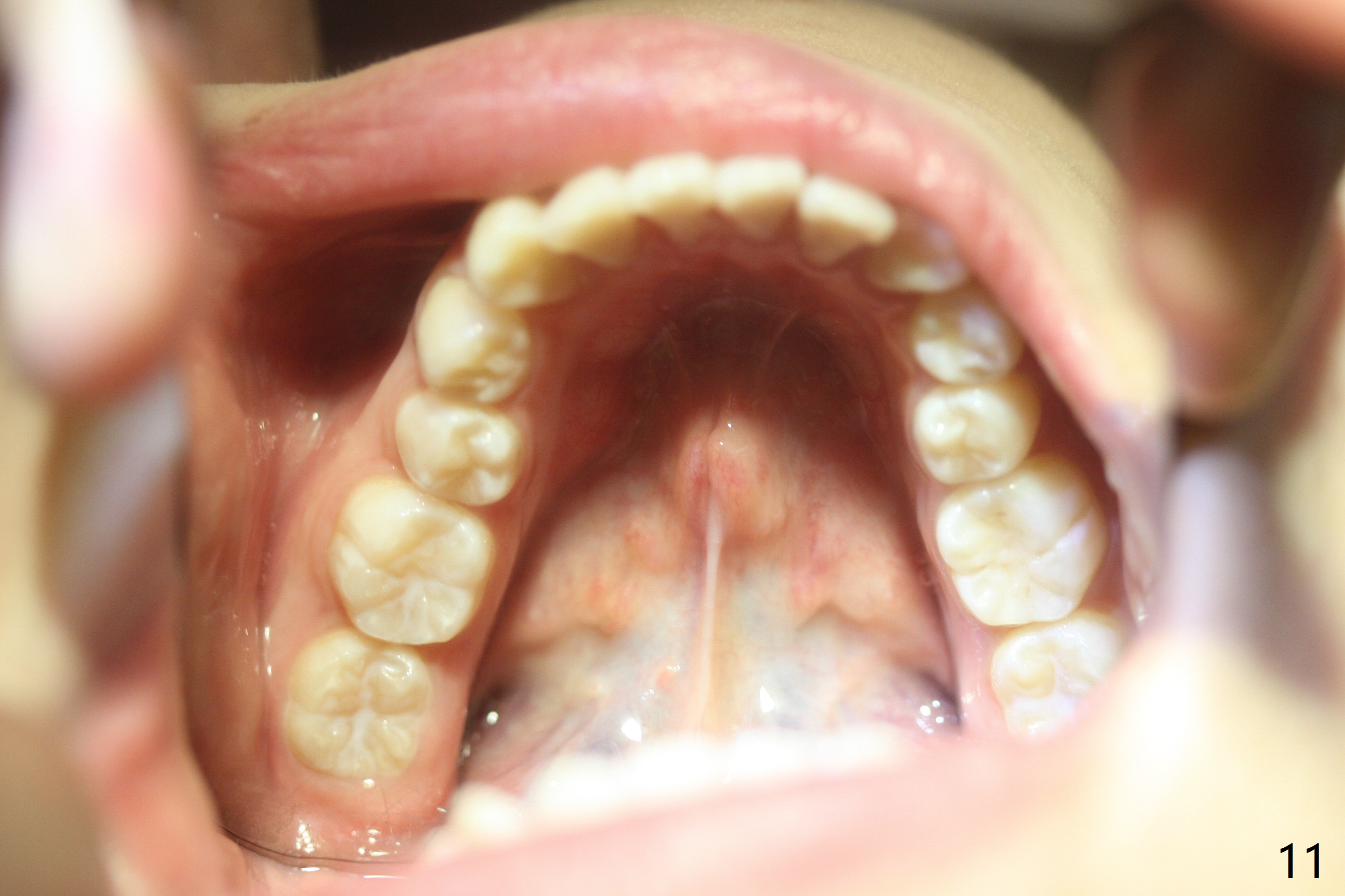
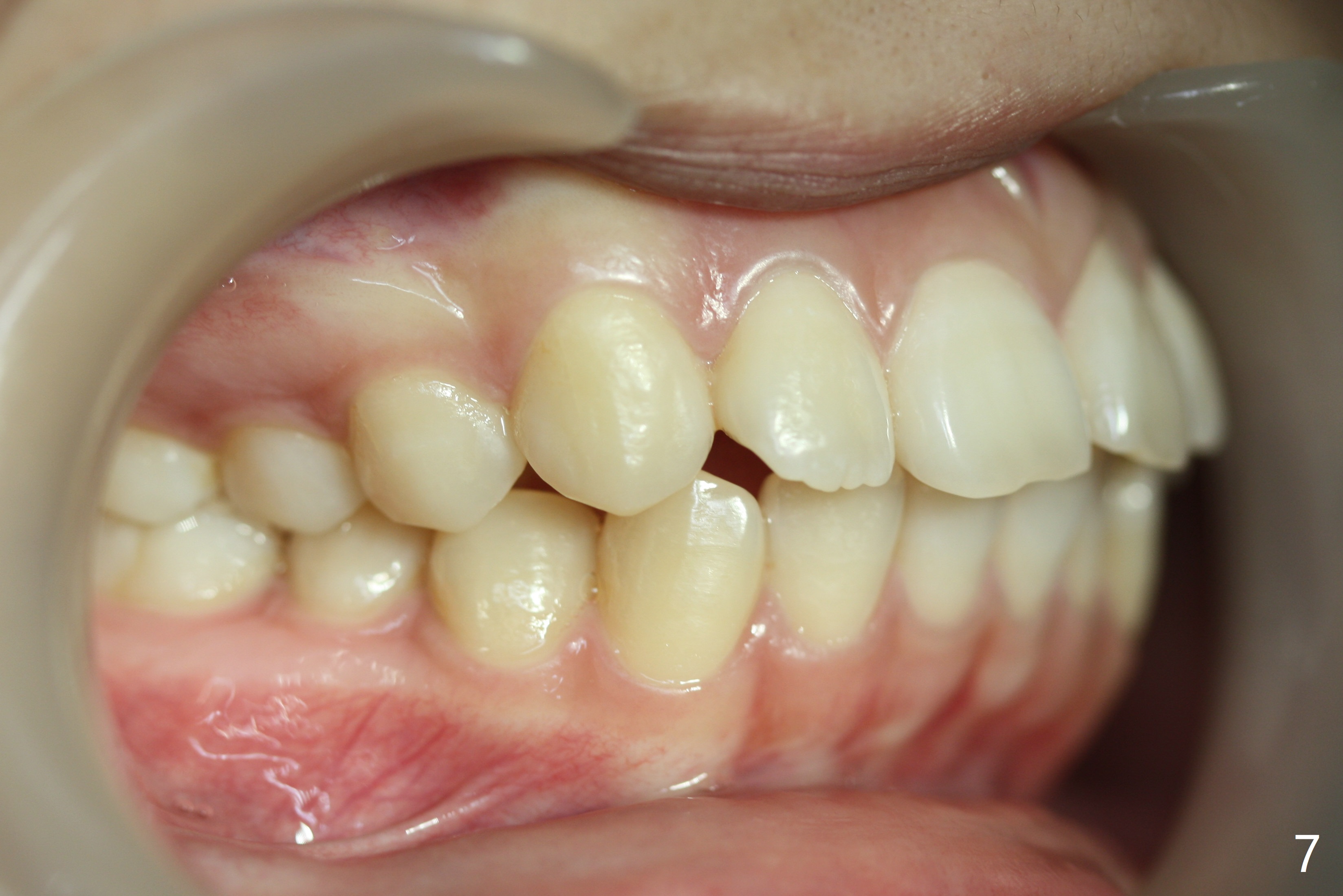
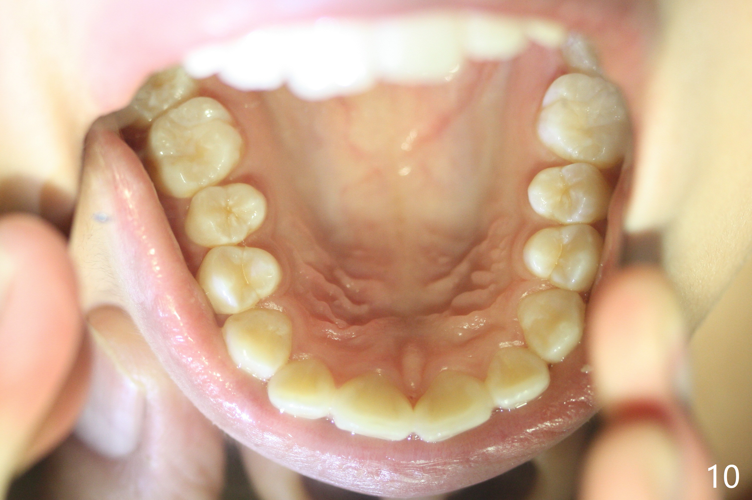
A 15-year-old woman has protrusive lips and retrusive chin (Fig.1-6). Canines and molars have Class I occlusion (Fig.7-9). With 4 bi extraction and 5-7 anchorage (Fig.10-12), 3s will be distalized after 16x16 wires, followed by posted wire retraction of 4 incisors.
Return to
Ortho Cases,
Elder Sister
Xin Wei, DDS, PhD, MS 1st edition 07/19/2018, last revision 08/11/2018